Amyloid cardiomyopathy in the elderly: clinical options, difficulties in diagnosis and treatment
- Authors: Ettinger O.A.1, Gendlin G.E.1, Stepanova E.A.2,3, Ganieva I.I.2, Borisovskaya S.V.1,2, Fedorov I.G.1,2, Nikitin I.G.1,4
-
Affiliations:
- N.I.Pirogov Russian National Research Medical University
- V.M. Buyanov Moscow City Clinical Hospital
- Russian Medical Academy of Continuing Professional Education
- Medical and Rehabilitation Center
- Issue: Vol 26, No 1 (2020)
- Pages: 45-66
- Section: Reviews
- Submitted: 28.03.2020
- Published: 25.06.2020
- URL: https://medjrf.com/0869-2106/article/view/25850
- DOI: https://doi.org/10.18821/0869-2106-2020-26-1-45-66
- ID: 25850
Cite item
Abstract
This article analyzes the frequency and features of cardiac amyloidosis in the elderly. The morphology and pathogenesis of amyloid cardiomyopathy are presented. The features of the clinical picture of the heart and aortic lesions in systemic and local variants of amyloidosis are analyzed. Polymorbidity in older people, which complicates the diagnosis of cardiac amyloidosis and leads to a delay in treatment, is reviewed. The diagnostic methods of various types of cardiac amyloidosis are evaluated. Modern trends in the treatment of amyloidosis are presented.
Keywords
Full Text
Амилоидная кардиомиопатия (АКМП) представляет собой рестриктивный тип поражения сердца, связанный с внеклеточным и периваскулярным накоплением нерастворимого, особым образом свернутого в β-складчатую структуру фибриллярного гликопротеина амилоида.
Современная классификация амилоидоза учитывает существование системных и локальных форм амилоидоза. К настоящему моменту известно о существовании 36 типов белков-предшественников амилоида (табл. 1) [1]. Амилоидоз может быть наследственным и приобретенным. Сердце могут поражать с разной частотой все типы системного амилоидоза, а также часть локальных форм.
Таблица 1 | |||
Классификация амилоидоза (согласно номенклатуре Международного общества по изучению амилоидоза (2018) [1] | |||
Тип амилоидоза | Белок-предшественник | Форма амилоидоза | Поражение органов |
АL | Легкие цепи иммуноглобулинов | С, Л | Все органы, обычно за исключением ЦНС |
ATTR | Транстиретин | С | Дикий тип (wt): сердце легкие, связочный аппарат. Вариантные (mt): ПНС, АНС, сердце, глаза, лептоменингит |
АА | SAA-белок | С | Все органы, за исключением ЦНС |
АН | Тяжелые цепи | С, Л | Все органы, за исключением ЦНС |
Аβ2M | β2-микроглобулин | С | Дикий тип: мышцы, суставы. Вариантные: АНС |
АApoA | Аполипропротеины АI, AII, AIV, CI, CIII | С | Сердце, печень, почки, ПНС, гонады, гортань (аполипопротеины А, вариантные). Остальные поражают, в основном, почки |
AFib | Фибриноген α, вариантный | С | Первично – почки |
Agel | Гельсолин | С | ПНС, роговица |
Alys | Лизоцим | С | Почки |
Aβ | β-белок | Л | ЦНС |
APrPScr | Прионовые белки | С, Л | Болезнь Альцгеймера, синдром Дауна, наследственные кровоизлияния в мозг с амилоидозом (Голландия) Болезнь Крейтцфельдта–Якоба, болезнь Герстманна–Штраусслера–Шейнкера |
AANF | Натрийуретический пептид | Л | Изолированный амилоидоз предсердий |
AIAPP | Амилин | Л | Изолированный амилоидоз в островках Лангерганса при СД2, инсулиноме |
ACal | (Про)кальцитонин | Л | При медуллярном раке щитовидной железы |
Acys | Цистатин С, вариантный | С | ПНС, кожа |
ALECT2 | Лейкоцитарный хемотаксический фактор 2 | С | Первично – почки |
Apro | Пролактин | Л | Пролактинома, старение гипофиза |
Amed | Лактадгерин (медин) | Л | Медиальный слой аорты (сенильный) |
ABri | ABriPP, вариантные | С | ЦНС |
ADan* | ADanPP, вариантные | Л | ЦНС |
AαSyn | α-синуклеин | Л | ЦНС |
ATau | Тау | Л | ЦНС |
ASPC** | Сурфактантный белок | Л | Легкие |
AGal7 | Галектин 7 | Л | Кожа |
ACor | Корнеодесмозин | Л | Эпителий роговицы, волосяные фолликулы |
AKer | Керато-эпителин | Л | Роговица |
ALac | Лактоферрин | Л | Роговица |
AOAAP | Одонтогенный амилоидобластассоциированный протеин | Л | Одонтогенные опухоли |
ASem1 | Семеногелин 1 | Л | Семенные пузырьки |
AEnf | Энфувиртид (ингибитор слияния, препарат для лечения ВИЧ-инфекции) | Л | Амилоидоз в местах инъекций |
ACatK*** | Катепсин К | Л | Опухолевый амилоидоз |
Примечание. С – системный, Л – локальный, *ADan является продуктом того же гена, что и ABri, **не доказано анализом аминокислотной последовательности, ***полная аминокислотная последовательность будет установлена. | |||
Наиболее частыми вариантами системного амилоидоза с поражением сердца являются AL-амилоидоз (белок-предшественник – легкие цепи иммуноглобулинов) и ATTR-амилоидоз (белок-предшественник – транстиретин (ТТР)). При некоторых типах частота развития АКМП низкая, например, при АА-амилоидозе [2]. Локальные формы амилоидоза сердечно-сосудистой системы (ССС) – это, прежде всего, изолированный амилоидоз предсердий при AANF-амилоидозе, а также поражение медиального слоя аорты при Amed-амилоидозе, которые чаще всего асимптомны.
Локальные формы трудно заподозрить, прежде всего, в связи с отсутствием клинической настороженности. При системном поражении, напротив, в процесс вовлечены многие органы и системы, и клинические проявления вариабельны. В пожилом и старческом возрасте имеющиеся клинические проявления АКМП могут трактоваться как последствия «возрастных» болезней: ишемической болезни сердца, артериальной гипертензии или сенильного кальциноза аортального клапана с формированием порока (которые, на самом деле, могут иметь место). Вместе с тем, с появлением эффективных методов лечения приоритетом будет срочная и грамотная диагностика, поскольку запоздалая постановка диагноза означает порой фатальную задержку в лечении.
Целью данной работы является формирование клинической настороженности в отношении амилоидоза в пожилом и старческом возрасте, и определение наиболее эффективной тактики обследования пациентов.
Патофизиология
Фибриллярный белок амилоида синтезирует клон клеток амилоидобластов, которыми способны стать клетки, выполняющие в норме репродуктивные функции: фибробласты, эндотелиоциты красной пульпы селезенки, звездчатые макрофаги печени, мезангиальные клетки почек и т.п. Основную массу амилоида (90%) составляют специфичные фибриллы толщиной от 5 до 10 нм, а остальные 10% – нефибриллярные компоненты, в том числе, сывороточный P-компонент амилоида (SAP), аполипопротеин E, компоненты соединительной ткани (гликозаминогликаны, коллаген) и компоненты базальной мембраны (фибронектин, ламинин). Амилоид откладывается в интерстиции вокруг коллагеновых, ретикулиновых волокон и на базальных мембранах, в предсердиях и желудочках сердца, между кардиомиоцитами и периваскулярно, депозиты могут быть локальными, мультифокальными и диффузными [3–5]. Амилоид оказывает на окружающие ткани механический эффект. Помимо этого, легкие цепи индуцируют оксидативный стресс и апоптоз путем активации Р-38 митогенактивированной протеинкиназы (МАРК). Префибриллярные олигомеры из ТТР и прионных белков также токсичны in vitro и/или in vivo [6–8]. Только в одном исследовании была продемонстрирована токсичность олигомеров медина на культуру гладкомышечных клеток. Также данный белок индуцирует синтез матриксной металлопротеиназы 2, что приводит к разрушению эластической пластинки аорты [9].
Тяжесть симптоматики определяется локализацией и объемом амилоидных отложений. Амилоидные отложения в сердце могут быть очаговыми и диффузными. Локальные формы амилоидоза сердца часто бессимптомны, но могут (при определенной локализации депозитов) приводить к нарушениям ритма/проводимости или поражению клапанного аппарата сердца. Амилоид откладывается в миокарде предсердий и желудочков, в проводящей системе сердца, на клапанах, интрамуральных коронарных артериях, а также в эндокарде, перикарде, редко – в эпикардиальных артериях. Множественные отложения приводят к образованию ишемических очагов, субэндокардиальных инфарктов и фиброзным изменениям. При преимущественной инфильтрации межжелудочковой перегородки (МЖП) амилоидоз сердца по данным визуализации может напоминать гипертрофическую кардиомиопатию (ГКМП) [10–12]. Что касается клапанного аппарата, при системном амилоидозе более крупные депозиты амилоида обычно откладываются на митральном и трехстворчатом клапанах (без значимой регургитации); значимое поражение полулунных клапанов встречается реже [3].
Первоначально при диффузной форме амилоид откладывается в базальных отделах миокарда, и, в дальнейшем, эти отделы страдают больше. По-видимому, это связано с большим механическим смещением кардиомиоцитов в более широких базальных отделах, где также проходят мощные турбулентные потоки в выносящий тракт левого желудочка (ЛЖ) [13]. В итоге, эти сегменты становятся менее подвижными, а полноценное вращение сердца в систолу – скручивание верхушкой против часовой стрелки – невозможным [14, 15]. Снижается энергия эластической отдачи скручивания – снижается и скорость раскручивания (по часовой стрелке) в диастолу. Максимум скорости раннего диастолического наполнения перемещается на середину или конец диастолы, вследствие чего страдает наполнение ЛЖ, затем, и выброс из него [16, 17]. Именно нарушения нормальной биомеханики сокращений базальных отделов являются наиболее ранними в развитии диастолической дисфункции еще до того, как массивные отложения амилоида значимо повысят жесткость миокарда. В этой стадии развивается характерный рестриктивный тип диастолической дисфункции (ДД) с высоким давлением наполнения желудочков, дилатированными предсердиями и сохраненной фракцией выброса (ФВ) (которая остается таковой вплоть до поздней стадии заболевания). Ремоделирование и фиброз предсердий приводит к нарушениям сердечного ритма. При далеко зашедшей рестрикции при АКМП резко падает сократимость левого предсердия (ЛП) и выраженно (вплоть до нуля, даже при синусовом ритме) снижается скорость трансмитрального потока в фазу А, вследствие чего может развиться тромбоз ушка левого предсердия и тромбоэмболические осложнения, даже при синусовом ритме.
Несомненно, что тяжелое рестриктивное поражение миокарда в исходе АКМП влияет на продолжительность жизни пациентов, а, в случае AL-амилоидоза, является главной детерминантой смертельного исхода [18].
Локальные формы амилоидоза сердца
Предшественником амилоида при изолированном старческом амилоидозе предсердий (AANF) является натрийуретический пептид (НУП). По ряду опубликованных данных, среди лиц в возрасте 80-90 лет частота данного типа амилоидоза может достигать 95% [19]. Заболевание чаще встречается у женщин. ЛП поражается чаще, чем правое предсердие (ПП). Депозиты располагаются субэндокардиально в виде неравномерно расположенных полосовидных отложений вокруг кардиомиоцитов или в виде мелких узелков, а также в стенках мелких сосудов, в эндокарде. Амилоидные фибриллы реагируют и с α-предсердным НУП, и с мозговым НУП при проведении иммуногистохимического исследования [20]. Клинические проявления включают нарушения проводимости и фибрилляцию предсердий (ФП) [21–23]. У пациентов с клапанными пороками депозиты AANF были обнаружены во время биопсии предсердий, проведенной в ходе кардиохирургических операций, и наличие таких депозитов повышало риск развития ФП. Поскольку НУП повышается при хронической ФП, повышенном давлении в ЛП и его дилатации, амилоидоз может быть следствием, а не причиной нарушений ритма сердца. Локальные депозиты встречаются в удаленном клапанном материале от 15,5 до 67% случаев [24–26].
Сенильный амилоидоз аорты – AMed – амилоидоз – связан с отложением амилоидного белка медина в медии. Предшественником медина является белок лактадгерин (компонент молочных жировых шариков). Он экспрессируется множеством клеток, в том числе, гладкомышечными клетками. Частота отложений данного типа амилоида может, по данным ряда исследований, достигать у лиц старше 50 лет 97%. Отложения данного вида амилоида мелкие и множественные, не связаны с атеросклерозом [27]. Амилоид при AMed обнаруживают в медии верхних отделов аорты и в других артериях, в том числе, височных, основных, поэтому обсуждается его роль в развитии таких заболеваний, как височный артериит и аневризма аорты [28, 29]. В одном из патоморфологических исследований среди лиц с установленным АА-амилоидозом было показано, что амилоидоподобные фибриллы лактадгерина усиливают агрегацию в фибриллы белка SAA и служат каркасом для амилоидных депозитов [30].
Амилоид, предшественником которого является «дикий» тип аполипопротеина А1, обнаруживается в атеросклеротических бляшках [31], и не имеет клинического значения.
Системный амилоидоз с поражением сердца
Из системных типов сердце чаще всего поражает AL-амилоидоз. Это также самая частая форма системного амилоидоза в развитых странах [32]. AL-амилоидоз развивается, главным образом, после 70 лет, но может начинаться и раньше, у лиц старше 50 лет. Таким образом, подавляющее большинство пациентов – это лица пожилого возраста. Сердце является самым часто пораженным органом при AL-амилоидозе – от 60 до 90% случаев [10, 18, 33–36].
Патогенез заболевания – плазмаклеточная дискразия с секрецией небольшим по объему индолентным клоном В-клеток нестабильных циркулирующих легких цепей иммуноглобулинов – каппа (κ) и ламбда (λ), специфичных для пациента [37]. Чаще всего эта секреция носит моноклональный характер, но, реже, может быть поликлональной. Чаще всего в структуре амилоида встречаются вариабельные регионы легких цепей Vλ1, Vλ2, Vλ3, Vλ6, Vκ1, которые, вероятно, в наибольшей степени способны формировать амилоидные фибриллы [38]. AL-амилоидоз развивается примерно у 7-11% пациентов с множественной миеломой (ММ), около 4/5 из них имеют симптомы поражения амилоидом различных органов [39]. В большинстве случаев при ММ поражаются ССС, нервная система (синдром карпального канала и другие) и почки; среди конституциональных симптомов преобладают слабость, потеря массы тела и макроглоссия. Считается, что преобладание пожилых лиц среди заболевших AL-амилоидозом связано со снижением у них протеостазиза (гомеостаза протеинов) [40]. Скорее всего, это можно отнести к любым «старческим» типам амилоидоза.
Вторая распространенная форма системного амилоидоза с поражением сердца – «дикий», старческий (wt) ATTR-амилоидоз. При wtATTR депозиты состоят из нормального ТТР, который откладывается, главным образом, в связочном аппарате и сердце, но также в печени, селезенке и эндокринных органах у пациентов старше 65 лет, преимущественно у мужчин (соотношение мужчины/женщины 25-50/1) [41]. Депозиты wtATTR находят на секции примерно у трети умерших старше 80 лет [37]. Несомненно, даже в отсутствие тяжелого поражения сердца данные отложения могут модифицировать исход заболевания (хотя могут быть и «случайной» находкой).
Мутантный ATTR-амилоидоз – наследственное заболевание с аутосомно-доминантным с вариабельной пенетрантностью типом наследования, выявляется во всех возрастных группах, чаще с дебютом после 40 лет. Впервые данный вид амилоидоза был описан Corino Andrade в 1952 г. у выходцев из Северной Португалии [42]. По данным клиники им. Е.М. Тареева, частота выявления мутантного (mt) ATTR-амилоидоза составила 5% среди больных, и еще 3% были бессимптомными носителями мутации [43]. Всего к настоящему времени известно более 120 мутаций гена ТТР, большинство из них приводит к формированию патологических вариантов транстиретина, обладающих амилоидогенным потенциалом. Корреляция между генотипом и фенотипом для определенных мутаций очень строгая, тогда как для других может варьировать, даже внутри одной семьи. В большинстве случаев при mtATTR обнаруживают варианты Val30Met, Thr60Ala, Ser77Tyr и Val122Ile. Поражаются, главным образом, нервная система и сердце. При некоторых формах амилоид в сердце откладывается очагово или только в проводящей системе. Мутация Thr60Ala, превалирующая в Англии и США, может характеризоваться преимущественным поражением сердца и нейропатией в комбинации с другими признаками. При мутации Val30Met, являющейся самой распространенной причиной семейной амилоидной ATTR-полинейропатии с очагами в Португалии, Японии и Швеции (но встречающейся и в нашей стране), сердце поражается примерно у 1/4 пациентов [43, 44]. В пожилом возрасте у афроамериканцев и жителей карибского бассейна встречается мутация Val122Ile, и клинически этот амилоидоз не отличим от wtATTR, что затрудняет постановку правильного диагноза [45].
К наследственным формам системных амилоидозов с поражением сердца, помимо мутантного ATTR-амилоидоза, относят финский наследственный амилоидоз – AGel (поражается, в основном, проводящая система сердца), мутантный mtAApoAI-амилоидоз (с преимущественным вовлечением почек и печени, в части случаев может поражать сердце и гортань) и mtAFib-амилоидоз (поражает почки, но депозиты находят в сердце, артериях, сосудах печени) [46, 47]. Данные формы не имеют существенного клинического значения в развитии поражения сердца при амилоидозе.
При длительном программном гемодиализе повышается риск развития Аβ2М-амилоидоза. Обычно депозиты в сосудах и висцеральных органах появляются после 10 лет проведения диализа, им предшествуют остеоартропатия и туннельные синдромы, от которых большинство пациентов и страдает при данной форме амилоидоза. Что касается сердца, то в процесс вовлекаются, в основном, мелкие и средние интрамиокардиальные сосуды, но также могут быть поражены эндокард, субэндокардиальные слои, интерстиций, фиброзные периваскулярные волокна, атриовентрикулярный узел, митральный и аортальный клапаны. Чаще всего вовлечение сердца умеренное, но, в некоторых случаях, развиваются массивные отложения. Депозиты могут быть более выражены в предсердиях по сравнению с желудочками. Кроме того, в некоторых случаях отложения амилоида связаны с кальцификацией. Второй серьезной проблемой может быть поражением кишечника с развитием ишемии, инфаркта и перфорации кишечника. Вместе с тем, с совершенствованием диализных технологий (широким внедрением высокопоточных диализных мембран) частота развития данной формы амилоидоза прогрессивно снижается: так, в недавних крупных многоцентровых исследованиях свыше 1000 биопсий висцеральных органов в Европе и США отложений Aβ2M-амилоида выявлено не было [48–53]. Напротив, в недавнем японском исследовании было показано, что амилоид по-прежнему обнаруживают в миокарде, кальцинированных клапанах (хотя это может быть и не связано с диализом) и суставах [54]. Считается, что диализный амилоидоз сердца развивается у пациентов, которые длительно получали диализ с использованием низкопоточных мембран. При этом новые диализные технологии снижают, но не нормализуют уровень β2-микроглобулина в сыворотке крови пациентов, что сохраняет риск развития амилоидоза, хотя, возможно, он будет преимущественно ограничен суставными тканями и связочным аппаратом [55].
При АА-амилоидозе белком-предшественником является острофазовый белок SAA – сывороточный амилоид А. К развитию АА-амилоидоза предрасполагают мутации гена SAA, приводящие к аномальному свертыванию белка и образованию амилоида [56]. Данный тип амилоидоза считается наиболее распространенным в мире ввиду высокой встречаемости причинных факторов – заболеваний и синдромов, повышающих его уровень вследствие системного воспалительного процесса. Вместе с тем, в развитых странах частота встречаемости данного типа амилоидоза падает, поскольку прогрессивно улучшается лечение причинных заболеваний. В настоящее время с развитием АА-амилоидоза строго ассоциированы 48 заболеваний, среди которых: хронические инфекции (туберкулез, лепра, остеомиелит, бронхоэктазы, гепатиты В/С, кистозный фиброз, внутривенная наркомания и др.), хронические воспалительные заболевания (ревматические – артриты, системная красная волчанка, смешанное заболевание соединительной ткани, васкулиты, воспалительные заболевания кишечника, саркоидоз, ожирение), наследственные воспалительные синдромы, иммунодефициты и болезни накопления гликогена, лимфопролиферативные заболевания, рак почки, легких, мезотелиома и другие опухоли, болезнь Кастельмана, гепатоцеллюлярная аденома, а также без установленной этиологии [56, 57] .
Необходимо отметить, что при АА-амилоидозе вовлечение сердца с клинически явной дисфукцией – исключительно редкая ситуация (встречается примерно у 2% пациентов). Вместе с тем, частота обнаружения депозитов амилоида в сердце, по некоторым данным, достигает 54% [18, 58]. При АА-амилоидозе в патологический процесс могут быть вовлечены почки, селезенка, надпочечники, органы ЖКТ, щитовидная железа и другие органы. В одном из исследований возраст установления диагноза АА-амилоидоза достигал 87 лет, что заставляет включать его в круг дифференциального диагноза у пациентов старших возрастных групп [59].
Была также продемонстрирована роль белка (открыт в 2008 году) под названием лейкоцитарный хемотаксический фактор 2 (ALECT2) в развитии АА-амилоидоза с поражением почек [60]. ALect2-амилоидоз нужно исключать при доминирующем поражения почек или печени, особенно у испанцев и египтян. В одном из исследований среди 72 пациентов с этим типом амилоидоза половина больных была пожилыми, и максимальный возраст составил 88 лет [61].
Клинические проявления
Поражение сердца проявляется симптомами сердечной недостаточности (одышкой при нагрузке, слабостью, отеками, набуханием шейных вен, гепатомегалией, выпотом в плевральных полостях, выпотом в полости перикарда), нарушениями сердечного ритма, синкопальными состояниями, прекордиальными болями в связи с поражением микроциркуляторного русла, легочной гипертензией, реже развитием инфаркта миокарда из-за аккумуляции амилоида в артериолах. При аускультации можно определить шум регургитации через атриовентрикулярные клапаны.
Нарушения ритма и проводимости являются значимым проявлением АКМП. Причем это относится как к диффузному поражению сердца, так и к локальным формам амилоидоза. Так, по данным ретроспективного исследования аутопсийного материала 1083 пациентов из Minneapolis Veterans Affairs Health Care System, среди пациентов с выявленным локальным амилоидозом сердца (3% в данной популяции) 48,5% имели фибрилляцию предсердий (ФП) в сравнении с 14,3% без амилоидоза [62]. Наличие амилоидных депозитов, по-видимому, может частично объяснить тот факт, что у пожилых пациентов хуже удается поддерживать синусовый ритм после кардиоверсии или катетерной аблации, а также более высокую летальность данных процедур [63–66]. При изучении операционного материала пациентов, оперированных по поводу сенильного кальциноза аортального клапана с формированием тяжелого клапанного стеноза, у 6 из 146 пациентов был выявлен wtATTR-амилоидоз, не заподозренный до операции. В унивариантном анализе эти пациенты имели наивысший риск смерти (ОР 9,5 [95% ДИ, 2,5–35,8]; p=0,001). Предполагают, что в этом случае накопление амилоида может привести к переоценке степени гипертрофии и нарушения функции ЛЖ, что принимают за тяжелый аортальный стеноз (с низким потоком и низким градиентом). Последствиями гиподиагностики являются неправильная интерпретация тяжести порока и модификация исхода заболевания (поскольку для амилоидоза характерен более тяжелый фенотип с сердечной недостаточностью и аритмиями, и возможным вовлечением в процесс других органов и систем) [67]. По-видимому, такой же вывод можно сделать в отношении сочетания амилоидоза с другими часто встречающимися, особенно у пожилых пациентов, заболеваниями сердца (артериальной гипертензией, ишемической болезнью сердца).
При тяжелой рестрикции ситуацию усугубляет образование тромбов в дилатированных предсердиях. Закономерным представляется и достаточно высокая частота внезапной сердечной смерти при АКМП – от 15 до 23%, причинами которой служат далеко зашедшая атриовентрикулярная блокада и рецидивирующие желудочковые аритмии, не поддающиеся электрической кардиоверсии и заканчивающиеся развитием фибрилляции желудочков. Возникновение синкопальных состояний при физической нагрузке связано с невозможностью увеличения сердечного выброса из ригидного левого желудочка [68–70]. Еще одним значимым проявлением системного амилоидоза являются ортостатические коллапсы в рамках автономной амилоидной нейропатии.
Классификация амилоидоза сердца (ВОЗ) включает 4 стадии (табл. 2) [71].
Таблица 2 | |
Классификация амилоидной кардиомиопатии (ВОЗ) [71] | |
Стадия АКМП | Характеристика стадии |
I | Отсутствие жалоб и признаков амилоидоза при биопсии или неинвазивном обследовании |
II | Отсутствие жалоб при наличии АКМП, подтвержденной с помощью биопсии или неинвазивных методов обследования |
III | Наличие симптомов, компенсированное поражение сердца |
IV | Декомпенсированное поражение сердца |
Поставить раннюю стадию кардиального амилоидоза трудно. Классические симптомы правожелудочковой СН появляются только в продвинутой стадии заболевания и могут быть замаскированы приемом диуретиков [71]. Причиной летального исхода при АКМП является полиорганная дисфункция и устойчивые жизнеугрожающие аритмии [72]. При AL-амилоидозе на эффективность терапии и прогноз влияет иммунодефицит вследствие нарушения синтеза нормальных иммуноглобулинов (иммунопарез) [73, 74].
Клиническая картина системных форм амилоидоза, несомненно, отличается от локального поражения сердца. Поражение других органов и систем является определенным подспорьем в диагностике. Вместе с тем, вследствие значимого поражения амилоидозом какого-либо другого органа, сопутствующих заболеваний, часто сопровождающих старение, диагноз амилоидоза может быть поставлен не сразу. Кроме того, при окончательной верификации диагноза следует принимать во внимание тот факт, что в пожилом возрасте растет вероятность сочетания двух типов амилоидоза, а также плазмаклеточной дискразии без развития AL-амилоидоза с другим его типом (например, ATTR).
AL-амилоидоз не только самая распространенная, но и самая тяжелая из системных форм амилоидоза. Помимо значимого и распространенного прогрессирующего поражения сердца, большинство пациентов имеют клинически значимое поражение почек с развитием почечной дисфункции (50-74%), подавляющее большинство – протеинурию (около 90%) [75]. Потеря с мочой натуральных антикоагулянтов, например, протеина С, имеющего короткое время полужизни, приводит к развитию венозных тромбозов, а следовательно, тромбоэмболических осложнений.
Еще одной значимой находкой, позволяющей заподозрить системный амилоидоз, является периорбитальная пурпура («глаза енота»), а также геморрагические буллы и экхимозы. Эти феномены связаны с отложением амилоида в коже и приобретенной коагулопатии вследствие нарушенного синтеза факторов свертывания (поражение печени) и адсорбции белков, чаще всего X фактора, V или фактора фон Виллебранда [76]. Отложение амилоида в мышечной ткани приводит к развитию псевдогипертрофии и миопатии, имитирующей другие заболевания [77].
Неврологические проявления развиваются примерно у ¼ части больных. Характерно развитие туннельных синдромов и автономной нейропатии (чаще всего, в виде ортостатической гипотензии, но также нейрогенного мочевого пузыря, сексуальной дисфункции, диареи и/или запоров) [3]. Падения и переломы предрасполагают к появлению пролежней и повышают риск венозных тромбозов.
Поражение ЖКТ также распространено при AL-амилоидозе. В ретроспективном анализе 583 пациентов с системным амилоидозом примерно у 16% были выявлены желудочно-кишечные симптомы: 50% пациентов имели тошноту, рвоту, боли в животе, у большинства (82%) был AL – амилоидоз. Классический признак – макроглоссия – был выявлен у 15% пациентов. Еще одним симптомом является мальабсорбция вследствие диареи, дискомфорт в животе и потеря веса. Часто встречается поражение печени (27%) с ее увеличением, характерным является повышение уровня щелочной фосфатазы (ЩФ) [78]. Поражение селезенки может быть причиной цитопений.
Амилоид может инфильтрировать практически любую эндокринную железу, хотя прямая эндокринная дисфункция, связанная с амилоидозом, относительно редка [79].
Существует также локальная форма AL-амилоидоза, при которой депозиты обнаруживают в коже, гортани, кишечнике, мочевом пузыре, орбите. Она протекает доброкачественно и не переходит в системную, в связи с чем не оказывает особого влияния на продолжительность жизни пациентов, хотя поражение конкретного органа может быть достаточно тяжелым. У большей части пациентов наблюдается поликлональная секреция легких цепей, с чем и связывают более доброкачественное течение заболевания [80].
При wtATTR-амилоидозе, кроме сердца, типичного сайта отложения амилоида, поражаются артериолы, и депозиты могут откладываться во многих органах [3]. Возможно развитие амилоидоза легких (мелкие узлы в альвеолярных сосудах), амилоидного поражения мозгового слоя почек. Тем не менее, в клинической картине wtATTR наиболее значимым является поражение сердца и/или синдром карпального канала [81–83].
При mtATTR-амилоидозе поражаются длинные нервные волокна (патогномоничный признак), сердце и оболочки мозга (лептоменингит). В начальной фазе нейропатия тонких нервных волокон приводит к появлению боли, парестезий, аллодинии, гипералгезии, дизестезии и нарушенной температурной чувствительности. В поздних стадиях нейропатия толстых нервных волокон приводит к потере вибрационной чувствительности и проприоцепции, в конечном случае, приводящих к затруднениям при ходьбе из-за прогрессирующей моторной слабости [84]. Поскольку ТТР синтезируется ворсинчатым сплетением, он откладывается в церебральных и субарахноидальных сосудах, паутинной и мягкой мозговых оболочках головного мозга (лептоменингит), обычно при наличии мутаций Asp18Gly, Ala25Thrи Tyr114Cys[85]. Симптомы включают транзиторные ишемические атаки, инсульты, субарахноидальное кровоизлияние, гидроцефалию, атаксию, спастический паралич, судороги и деменцию. При mtATTR также возможно вовлечение глаз, почек и изолированное поражение желудочно-кишечного тракта [86].
Диагностика амилоидной кардиомиопатии
Диагностика АКМП основана, прежде всего, на клинической настороженности врача. Следует учитывать, что существенная часть АКМП развивается именно в пожилом возрасте, и это касается как системных, так и локальных форм амилоидоза.
Печально, что почти у 40% пациентов диагноз устанавливают через 1 год и более после начала болезни, что связано как с недостаточной осведомленностью, так и с недостаточной доступностью части методов обследования [87]. Даже при наличии моноклональной гаммапатии неясного генеза (МГНГ) – состояния, которое предшествует как симптомному AL-амилоидозу, так и множественной миеломе (ММ), диагноз может быть установлен далеко не сразу [88]. Поэтому у пациентов с МГНГ следует периодически оценивать соотношение κ/λ цепей, NT-proBNP и альбуминурию [89].
«Золотым стандартом» диагностики амилоидоза по-прежнему остается морфологическая верификация. Она же определяет лечебную тактику и прогноз заболевания.
Клиническая картина АКМП является определенным подспорьем в диагностике системных форм амилоидоза, также как и системность позволяет предположить наличие поражения сердца.
Заподозрить системный амилоидоз можно в случае:
- утолщения стенки левого желудочка (ЛЖ) при исследовании с помощью визуализационных методов в сочетании с нормальным или низким вольтажем на ЭКГ в отведениях от конечностей;
- сочетания сердечной недостаточности (СН) и нефротического синдрома;
- периферической и автономной нейропатии у пациентов без сахарного диабета и других факторов риска развития полинейропатии;
- нормализации ранее повышенного артериального давления и/или коллапса неясного генеза;
- увеличения печени при ее нормальной структуре, возможно, с изолированным повышением уровня щелочной фосфатазы (ЩФ);
- альбуминурии или СН у пациентов с МГНГ или ММ;
- наличии признаков отложения амилоида в других органах и тканях (макроглоссия, пурпура, синдром карпального канала, перемежающаяся хромота при жевании, мягкотканные депозиты).
Оценить миокардиальное повреждение можно по содержанию специфических маркеров – мозгового натрийуретического пептида (BNP), его N-концевого фрагмента (NT-proBNP) и сердечных тропонинов I и Т (особенно, высоко чувствительного тропонина Т), со 100% диагностической чувствительностью при АКМП [71, 90, 91]. Измерение уровня данных маркеров лежит в основе системы стадирования AL-амилоидоза, предложенной в 2004 г. группой Мейо, которая используется для оценки эффективности лечения и стратификации риска в клинических исследованиях. Ревизированная система (2012 г.) включает измерение разницы между количеством «вовлеченных» (то есть, секретируемых патологическим клоном) и «невовлеченных» (то есть, другого типа легкой цепи) свободных легкими цепями (dFLC> 180 мг/л), NT-proBNP (>1800 нг/л) и тропонина T (>0,025 нг/мл). Выделяют 4 стадии: с нормальными уровнями маркеров, а также с одним, двумя или тремя маркерами свыше диагностического порога, с медианой выживаемости 94, 40, 14 и 6 месяцев, соответственно [92]. Необходимо, однако, учитывать тот факт, что NT-proBNP может быть повышен и при других ситуациях, часто встречающихся у пожилых, например, ФП, хронической болезни почек. В последнем можно использовать уровень BNP (несмотря на его меньшую чувствительность) [93].
Электрокардиографические признаки неспецифичны: это нарушения ритма и проводимости, свидетельствующие о поражении проводящей системы, «псевдоинфарктные» изменения, такие как зубцы Q, недостаточное нарастание зубца R в грудных отведениях, связанные с массивным отложением амилоида (рис. 1). Истинный инфаркт миокарда развивается до 6% среди пациентов с AL-амилоидозом [94]. Частота регистрации низковольтажной ЭКГ при АКМП варьирует в широких пределах, составляя 30-85% [95–97].
Рис. 1. Псевдоинфарктные изменения на ЭКГ у пациента 71 лет с АКМП.
При эхокардиографическом исследовании (ЭхоКГ) признаками амилоидоза будет концентрическое утолщение миокарда ЛЖ (редко – асимметричное утолщение МЖП) с развитием ДД при небольшом размере полости. Связано это с тем, что депозиты амилоида больше всего откладываются в стенке ЛЖ и МЖП, но также и в правом желудочке. Соотношение пиков в раннюю и позднюю фазы диастолического наполнения значительно повышено (рестриктивный тип): E/A>1,5, укорачивается время замедления кровотока в период раннего наполнения ЛЖ(DT)<120 мс, а также время изоволюметрического расслабления ЛЖ (рис. 2). Значимо снижается соотношение систолического и диастолического венозных потоков в устьях легочных вен и растет скорость реверсивного потока в ЛП.
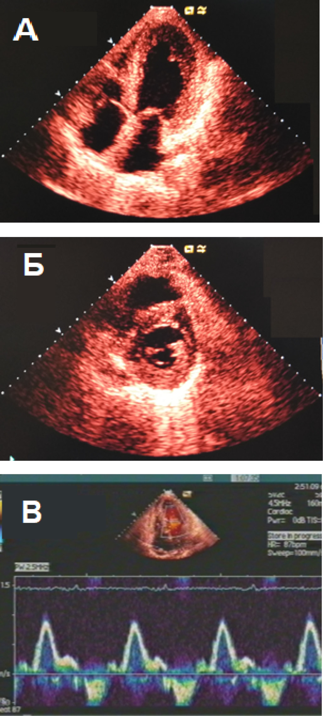
Рис 2. Эхокардиограмма больного AL-амилоидозом, выраженная псевдогипертрофия ЛЖ.
А – четырехкамерная позиция от верхушки, Б – короткая ось сердца на уровне папиллярных мышц в парастернальной позиции, В – импульсный трансмитральный допплер с рестриктивным типом диастолической дисфункции.
Рис. 3. Электрокардиограмма пациентки 80 лет с АКМП. Низкий вольтаж QRS в отведениях от конечностей и грудных отведениях, толщина стенки ЛЖ – 1,6 см.
Более точно позволяет оценить ДД исследование движения боковой части фиброзного кольца митрального клапана (ФК МК) через апикальный доступ при проведении тканевого допплеровского исследования: для рестриктивного типа характерно снижение скорости движения ФК МК в раннюю диастолу и во время систолы предсердий, при этом соотношение Е/е`>15 за счет снижения независящей от преднагрузки скорости раннего диастолического движения ФК МК e`. Вплоть до полного отсутствия уменьшаются трансмитральная предсердная волна А и скорость движения ФК МК в систолу предсердий а` [98, 99]. Нарушение сократимости предсердия подтверждает феномен спонтанного эхоконтрастирования и снижение скорости кровотока в ушке левого предсердия <40 см/сек. В этом случае резко возрастает риск эмболических осложнений [100].
Ни один из отдельно взятых ЭКГ- или ЭхоКГ-признаков не является патогномоничным для амилоидоза, однако, аномальное соотношение вольтаж/масса [комбинация ЭКГ-признаков (вольтаж QRS в отведениях от конечностей <0,5 мВ, в грудных отведениях <1,0 мВ) с утолщением стенок ЛЖ≥12 мм при ЭхоКГ] имеет, по некоторым данным, чувствительность – 75% и специфичность – 67% в диагностике амилоидоза [101] (рис. 3). Поэтому раньше, при невозможности выполнения биопсии миокарда, но наличии подтверждённого амилоидоза другого органа, было рекомендовано диагностировать АКМП при наличии: утолщения стенки миокарда (МЖП+ЗСЛЖ/2 (где МЖП – толщина межжелудочковой перегородки, ЗСЛЖ – задняя стенка левого желудочка) более 12 мм в диастолу в отсутствие других причин для гипертрофии и/или повышения уровня NT-proBNP выше 332 нг/л (согласно Международным согласительным критериям органных повреждений при системном амилоидозе (2010 г.) [102]. Вместе с тем у части пациентов утолщения стенки сердца нет, поэтому эти критерии можно считать только ориентировочными.
Хорошей диагностической точностью в диагностике АКМП уже на ранних стадиях обладает снижение глобальной продольной деформации ЛЖ. Характерным является относительная сохранность движения верхушки сердца в сравнении с базальными отделами (базально-апикальный градиент повреждения), со снижением скорости деформации базальных сегментов миокарда ЛЖ во всех плоскостях [103, 104]. (Данные изменения сократимости хорошо видны на полярных диаграммах ЛЖ, где апикальные участки расположены в центре, а базальные – по периферии: при амилоидозе апикальные участки с нормальными показателями систолической деформации, окрашенные в красный цвет, формируют признак, названный «cherry-on-top» (то есть «вишенка на торте») [105]). Для более точной оценки базально-апикального градиента используется показатель RELAPS – «relative apical sparing» или «относительная продольная деформация (ПД) верхушки сердца», отражающий лучшую сократимость верхушки сердца по отношению к остальным сегментам ЛЖ [103]. RELAPS = среднее значение ПД верхушки сердца / (среднее значение ПД базальных отделов + среднее значение ПД медиальных отделов). Было показано, что при амилоидозе сердца RELAPS>1 сек (с чувствительностью 93% и специфичностью 82%) [106].
Отношение ФВ ЛЖ к глобальной ПД является наиболее значимым параметром для дифференцировки АКМП от ГКМП и гипертонического сердца. В одном из недавних исследований данный критерий для пациентов с АКМП составил 5,5±1,5 против 3,7±0,5 при ГКМП и 3,2±0,4 при гипертоническом сердце, p<0,00005. Также значимым для проведения дифференциального диагноза был и показатель RELAPS (0,97±0,3 при АКМП, 0,77±0,19 при ГКМП и 0,66±0,09 при гипертоническом сердце, p<0,0005)[107]. Тем не менее, данный метод не позволяет дифференцировать типы амилоидоза сердца.
Высокой чувствительностью в диагностике амилоидоза, особенно AL, имеет отсроченное (через 5-7 минут) субэндокардиальное (в увеличенном в объеме за счет амилоида межклеточном пространстве), реже – трансмуральное, накопление гадолиния (0,1-0,2 ммоль/кг массы тела) на МРТ сердца [105, 109, 110]. При AL-амилоидозе была продемонстрирована высокая чувствительность(80–100%) метода с отрицательной прогностической значимостью 85-100%, специфичностью 80-94% и положительной прогностической значимостью 81-92% [111]. МРТ сердца позволяет выявить ранние стадии поражения сердца и поражение сердца в отсутствие утолщения стенок. Вместе с тем, МРТ не позволяет надежно провести дифференциальный диагноз как между вариантами амилоидоза, так и с другими инфильтративными болезнями миокарда. Применение МРТ ограничено наличием имплантируемых внутрисердечных устройств и продвинутых стадий хронической болезни почек. При ГКМП гадолиний накапливается в участках фиброза, что приводит к очаговому или диффузно-очаговому распределению контраста. Новые методики МРТ без контрастирования: Т1, Т2-картирование (c более значимым накоплением при AL-амилоидозе в сравнении с ATTR-амилоидозом), определение фракции внеклеточного объема (ECV-картирование) потенциально позволяют оценить диффузный интрамиокардиальный отек, фиброз, наличие амилоида, а также перегрузку железом за счет количественной оценки диффузных изменений структуры миокарда [112–114]. Для оценки жесткости миокарда при АКМП перспективным методом является МРТ-эластография [115].
В качестве метода, позволяющего проводить дифференциальный диагноз между некоторыми типами АКМП, используется сцинтиграфия миокарда с изотопами технеция 99mTc: пирофосфатом (99mTc-PYP), дикарбоксипропандифосфонатом (99mTc-DPD) и гидроксиметлиендифосфонатом (99mTc-HMDP). Вначале накопление технеция в миокарде сравнивали с накоплением в костях [116], позднее были внедрены полуколичественные и количественная оценки с использованием коэффициентов «сердце/контралатеральное легкое» и «сердце/все тело». Полуколичественная визуальная оценка проводится следующим образом: 0 баллов означает отсутствие накопления, 1 балл – меньше, 2 балла – равное и 3 балла – выше, чем в ребрах. При коэффициенте 2 и выше в отсутствие моноклональной секреции специфичность и положительная прогностическая ценность метода для диагностики ATTR-амилоидоза составляют 100% при чувствительности всего 70% [118, 119]. Количественная оценка – это отношение накопления в сердце к фоновым значениям накопления в идентичной по размерам области в контралатеральной зоне грудной клетки (включая мягкие ткани, ребра и кровь). Было показано, при ATTR-амилоидозе накопление радиофармпрепарата существенно выше, чем при AL-амилоидозе. При величине относительного накопления >1,5 через 1 час после введения препарата положительная прогностическая ценность составляла 97%, отрицательная – 78%, чувствительность – 87% и специфичность 95% [120]. Также значимым было соотношение >1,3 через 3 часа после введения технеция. Вместе с тем, радиофармпрепарат накапливается у некоторых пациентов с продвинутыми стадиями AL- и ApoA1-амилоидоза и в зонах фиброза при недавнем инфаркте миокарда [110, 121].
В преодолении недостатков сцинтиграфии миокарда может помочь оценка абсолютного поглощения изотопа миокардом с помощью однофотонной эмиссионной компьютерной томографии (ОФЭКТ). Тем не менее, необходимо проверить воспроизводимость данного метода в крупных многоцентровых исследованиях [122].
Прямая детекция амилоида возможна с помощью позитронной эмиссионной томографии (ПЭТ), в ходе проведения которой контрастное вещество связывается с амилоидными фибриллами, что позволяет оценить как нагрузку амилоидом, так и уменьшение его количества в ответ на лечение. В настоящее время используются 11C-PiB (11С-Pittsburgh compound-B – радиоактивно-меченый аналог флуоресцентного красителя тиофлавина T), 18F-флорбетапир (дериват стильбена) и 18F-флорбетабен, которые используют для диагностики амилоидных бляшек при болезни Альцгеймера. Короткое время полужизни 11C-PiB (20 минут) диктует необходимость наличия циклотрона в месте проведения ПЭТ, что ограничивает использование этого изотопа. 18F-флорбетапир – это более долгоживущий радиофармпрепат (Т ½ 109 минут). ПЭТ не позволяет дифференцировать различные типы АКМП, но при AL-амилоидозе с ее помощью можно оценить накопление радиофармпрепарата как в сердце, так и в других органах [119].
Позитронная эмиссионная томография с магнитно-резонансной томографией сердца (ПЭТ/МРТ) представляет гибридную методику, при которой активность 18F-фторида натрия оценивается в участках отсроченного накопления гадолиния. Данная методика в небольшом исследовании позволила дифференцировать AL и ATTR амилоидоз сердца. Обсуждается также лучшая корреляция ПЭТ с Т1-картированием [123].
Несмотря на совершенствование неинвазивных методов диагностики «золотым стандартом», по-прежнему, остается биопсия миокарда. Морфологическое исследование с типированием амилоида в случае системного амилоидоза провести тактически легче. В качестве скрининга можно использовать биопсию подкожно-жировой клетчатки, а также исследование биоптатов ПЖК (информативны в 60–80% случаев), прямой кишки (50–70%), костного мозга (50–55%), кожи (50%), почки, печени, слюнных желез (90%). Морфологическое исследование препаратов костного мозга (полученных при трепанобиопсии) в совокупности с аспиратом подкожного абдоминального жира позволяет идентифицировать депозиты амилоида у 85% пациентов с AL-амилоидозом. Кроме того, исследование костного мозга дает возможность оценить размер плазмаклеточного клона и исключить ММ. Флуоресцентная гибридизация in situ (FISH) позволяет выявить мутации и, таким образом, оценить чувствительность клона к различным схемам противоопухолевой терапии [124–128]. Если подозрение АКМП обосновано, но скрининг не выявил амилоид, выполняется эндомиокардиальная биопсия. После обнаружения амилоида, окрашенного конго красным, с демонстрацией двойного лучепреломления в поляризующем свете и проведения окраски щелочным гуанидином по методу В.А. Варшавского или перманганатом калия для исключения АА-типа амилоидоза (при АА типе амилоида конгофилия и способность к анизотропии и дихроизму депозитов после инкубации в растворе перманганата калия исчезают)амилоид типируют. Для этого самым точным методом является лазерная микродиссекция в сочетании с масс-спектрометрией, которая позволяет идентифицировать все известные типы амилоида (протеомный анализ имеет специфичность 100% и чувствительность 90% [129]), но доступна она только в некоторых специализированных центрах. Поэтому в современных реалиях оптимально использовать иммуноэлектронную микроскопию с меченными золотом антителами (специфичность 100%) или иммуногистохимическое исследование с валидированными антителами, поскольку использование коммерческих антител может привести к неправильному диагнозу [130, 131].
Диагностические критерии AL-амилоидоза, разработанные Международной рабочей группы миеломы (IMWG) [132], включают три (!) морфологических критерия и один, доказывающий наличие моноклональной пролиферации:
- наличие амилоидного поражения органов;
- положительное окрашивание конго красным любой ткани;
- доказательство наличия легких цепей амилоида с помощью масс-спектрометрии или иммуноэлектронной микроскопии;
- доказательство наличия моноклонального пролиферативного плазмоклеточного нарушения (моноклональный протеин в сыворотке или моче, аномальное соотношение свободных патологических и нормальных легких цепей, или клональная пролиферация плазмацитов в костном мозге).
Таким образом, диагноз данного вида амилоидоза основывается на морфологическом исследовании. Для максимально эффективной диагностики моноклональной гаммапатии идентификация парапротеина должна включать комбинацию электрофореза и иммунофиксации в сыворотке и моче и измерение свободных легких цепей в сыворотке крови [133]. Если амилоид у пациента с моноклональной гаммапатией не выявлен, но есть поражение внутренних органов – сочетание МГНГ с другим заболеванием. Напротив, если амилоид выявлен, наличие моноклональных легких цепей не является абсолютным доказательством именно AL-амилоидоза, поскольку пациент может иметь какую-либо другую форму заболевания в сочетании с МГНГ. У пожилых европеоидов, особенно мужчин с поражением сердца, наиболее частым потенциальным другим типом амилоидоза будет, как и в общей популяции, wtATTR. МГНГ может сочетаться и с другими наследственными формами системного амилоидоза, например, с mtATTR (25%) [134–136].
К сожалению, в отличие от AL-амилоидоза, чувствительность исследования подкожного жира в случае ATTR-амилоидоза составляет всего 45% (mt) и 15% (wt) 130]. В этом случае нужно выполнять биопсию пораженного органа (при АКМП – эндомиокардиальную биопсию). При подозрении на mtATTR (отсутствие плазмаклеточной дискразии, семейный анамнез, полинейропатия) необходимо проводить генетическое тестирование для выявления мутаций гена ТТР.
Дифференциальный диагноз
Если единственным клиническим проявлением АКМП у пожилого пациента будут нарушения ритма и проводимости, можно подозревать локальный амилоидоз сердца. Диагноз в данном случае может подтвердить биопсия миокарда. Демонстрацией сочетанного поражения сердца у долгожительницы может послужить следующее клиническое наблюдение.
Пациентка К., 95 лет, страдавшая длительное время артериальной гипертензией 3 степени, пароксизмальной формой ФП, перенесшая инфаркт головного мозга в бассейне левой СМА, была госпитализирована экстренно с направительным диагнозом «Перелом шейки правого бедра. Внебольничная двусторонняя пневмония». При осмотре увеличение в объеме правого бедра, выраженная боль и ограничение объема движений в правом тазобедренном суставе. В легких жесткое дыхание, разнокалиберные влажные хрипы над всей поверхностью легких. ЧДД 25 в минуту, SpO2 88%. Тоны сердца приглушены, ритм неправильный. ЧСС 104 в минуту, АД 80/40 мм рт. ст. ЦВД 250 мм вод.ст. Печень не увеличена. Заторможена. Речь односложная, дизартрия, элементы афазии. Менингеальных знаков, парезов нет.
ЭКГ: фибрилляция предсердий, ЧСС 144 в минуту, вертикальное направление ЭОС.
По данным лабораторного обследования у пациентки выявлен нейтрофильный лейкоцитоз, лейкоцитурия, гипоальбумиемия 20-24 г/л, нормальные показатели маркеров цитолиза, холестаза, тропонин Т<0,01 мкг/л, креатинин 115 мкмоль/л со снижением в дальнейшем до 86 мкмоль/л, повышение уровня D-димера до 16600 мкг/л исходно со снижением в дальнейшем до 9504 мкг/л, NT-proBNP 19870 нг/л.
При КТ органов грудной клетки – признаки выраженного легочного фиброза, панлобулярной эмфиземы легких, участки «матового стекла» с утолщенными междольковыми перегородками, преимущественно в верхних долях. Плевральный выпот 200-300 мл с обеих сторон. Кальциноз аорты и коронарных артерий. Изменения в легких расценены как признаки хронического бронхо-легочного заболевания – хронической обструктивной болезни легких с формированием диффузного пневмосклероза и буллезной эмфиземы легких. Дефектов контрастирования легочных артерий не выявлено.
ЭхоКГ: ЛП 30 мл, ФВ левого желудочка сохранена. Толщина стенок левого желудочка 10-11 мм. Полость левого желудочка уменьшена до 20 мл. СрДЛА 90 мм рт. ст.
При КТ правого тазобедренного сустава подтвержден перелом шейки бедренной кости со смещением отломков кверху и кнаружи. Ввиду высокого операционного риска оперативное лечение перелома не проводили.
Состояние пациентки вначале удалось стабилизировать; проводилась кислородная поддержка, антибактериальная терапия, вазопрессорная поддержка норэпинефрином, вводился фуросемид. В дальнейшем развилась антибиотик-ассоциированная диарея, рецидивировали пароксизмы ФП, купировавшиеся самостоятельно. Несмотря на проводимую терапию состояние пациентки продолжало ухудшаться и она погибла при явлениях полиорганной недостаточности.
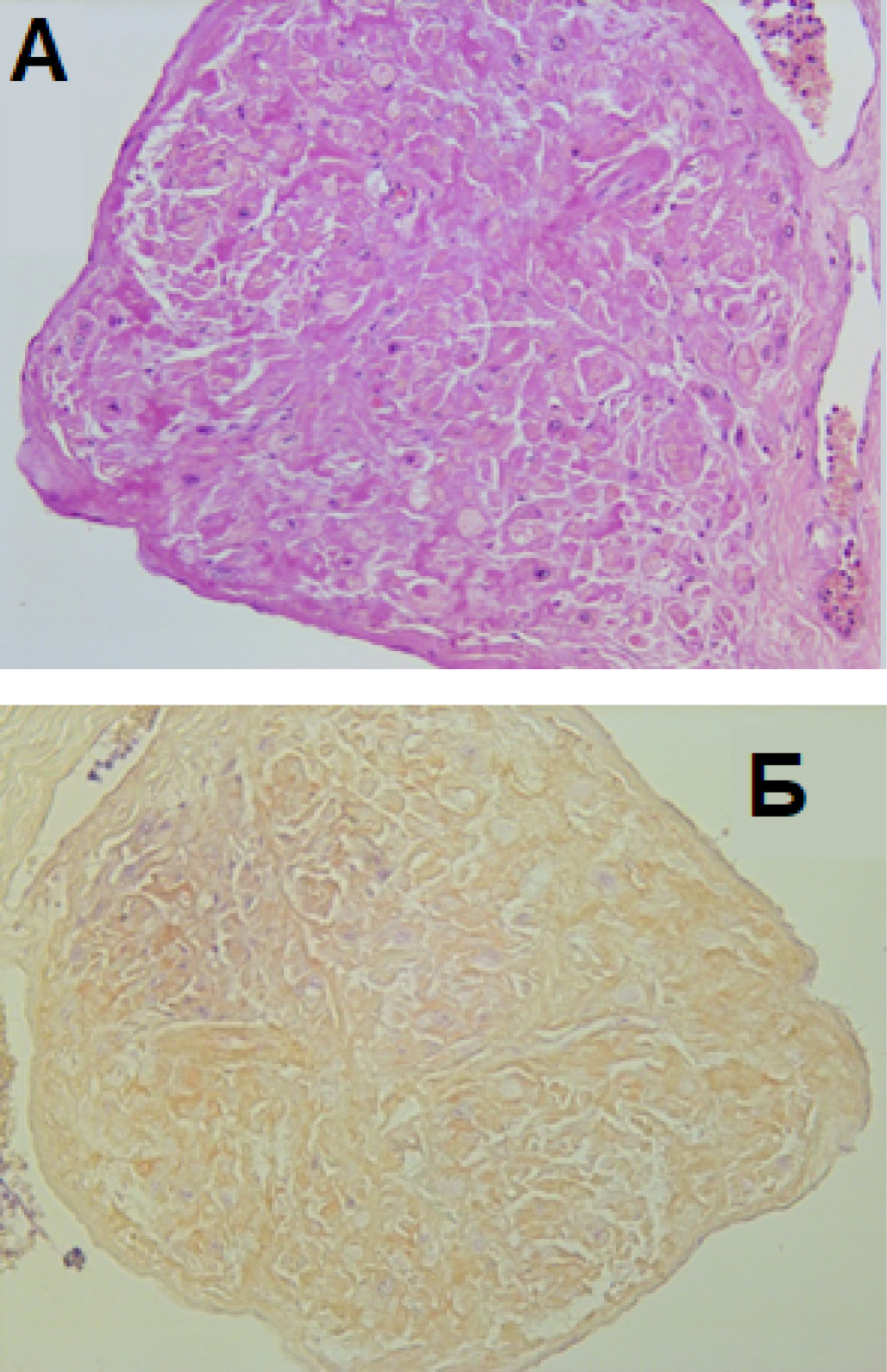
На секции диагнозы хронической обструктивной болезни легких в стадии обострения и цереброваскулярной болезни были подтверждены. Выявлена гипертрофия левого желудочка с толщиной МЖП 1,5 см, свободной стенки ЛЖ 2,0 см. В препарате из правого предсердия (ПП) умеренный интерстициальный фиброз, очаговое утолщение и склеротические изменения в эндокарде. С учетом старческого возраста пациентки и наличия рецидивирующей формы ФП дополнительно были окрашены конго красным и исследованы в поляризованном свете препараты ПП, ЛЖ, толстой кишки, печени, селезенки и почки. В препарате с тканью ПП выявлены множественные мелкие диффузно-рассеянные депозиты амилоида в интерстиции, единичные очаговые микродепозиты в эндокарде и стенках артериол; в соотношении интерстициального фиброза и депозитов амилоида преобладал амилоид (рис. 4, 5). В препарате с тканью левого желудочка выявлен единичный мелкий депозит в интерстиции в субэндокардиальном отделе. В препаратах с другими образцами (толстая кишка, печень, селезенка и почка) депозитов амилоида не выявлено.
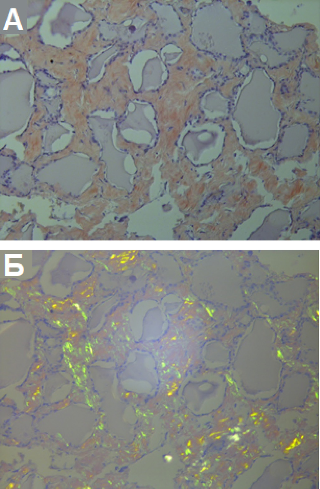
Рис. 4. Депозиты амилоида в предсердии. Окраска гематоксилином и эозином (А) и конго красный в светлом поле (Б). Ув. × 20.
Рис. 5. Депозиты амилоида в предсердии. Окраска конго красный, поляризационная микроскопия. Ув. × 20.
Типирование амилоида не было проведено по техническим причинам, но, с учетом возраста, пола и локального отложения патологического белка, пациентка, наиболее вероятно, страдала AANF формой амилоидоза.
В данном случае амилоидоз, вероятно, послужил дополнительной причиной развития пароксизмальной формы ФП, но, по нашему мнению, не повлиял на развитие смертельного исхода.
Дифференциальный диагноз системного амилоидоза с поражением сердца проводят с различными формами рестриктивных кардиомиопатий (РКМП), а также с гипертрофией и/или ДД вследствие возрастных причин (артериальной гипертензии, ишемической болезни сердца, стеноза аортального клапана) либо, у молодых – с ГКМП. К правожелудочковой СН может приводить констриктивный перикардит. Причинами РКМП, к которой относится и АКМП, у лиц в возрасте старше 65 лет являются, помимо амилоидоза, идиопатическая РКМП, среди болезней накопления – перегрузка железом, гиперэозинофильные синдромы, метастатические опухоли, радиационное поражение, карциноид, гликогенозы, а также лекарственные препараты – антрациклины, эрготамин, хлорохин [137]. Кроме того, всегда возникает вопрос о дифференциальном диагнозе между наиболее распространенными типами системного амилоидоза в пожилом возрасте (табл. 3).
Таблица 3 | ||
Дифференциальный диагноз AL-амилоидоза и wtATTR-амилоидоза [22, 37, 118, 137–140] | ||
AL-амилоидоз | Дифференциальный признак | wtATTR-амилоидоз |
62-63 | Средний возраст к моменту постановки диагноза, лет | 73-75 |
55-58 | Мужчины, % заболевших | 89-91 |
82 | Вовлечение сердца, % | 100 |
Утолщение всех стенок сердца, гранулы | ЭхоКГ | Утолщение всех стенок сердца более выражено, гранулы |
60% | Низкий QRS вольтаж | 20% |
Присутствует | Повышение биомаркеров повреждения миокарда | Более выраженное |
0-1 | Коэффициент дифференциального накопления 19Тс-пирофосфата | 2-3 |
58-68% | Вовлечение почек | Нет |
14-16% | Вовлечение печени | Нет |
12% | Сенсомоторная полинейропатия – поражение периферической нервной системы | Может иметь место Исключить другие полинейропатии |
У 10% ортостатическая гипотензия, или исчезновение предшествующей артериальной гипертензии, эректильная дисфункция, диарея, запоры | Поражение автономной нервной системы | Исключить сопутствующие заболевания |
У 10-17% отеки, мягкотканные депозиты, макроглоссия, «надплечники», синдром карпального канала (часто двусторонний) | Мягкотканные депозиты | 48% Синдром карпального канала |
Слабость, анорексия, дисгезия, потеря массы тела | Конституциональные симптомы | Могут быть у пациентов с сердечной недостаточностью и тяжелой коморбидностью |
Иногда диагностика амилоидоза бывает затруднена не только наличием сопутствующей патологии, но и нетипичным дебютом заболевания, что может продемонстрировать приведенный ниже клинический случай.
Пациент А., 65 лет, длительное время страдавший гипертонической болезнью 3 ст., осложнившейся развитием ранее инфаркта миокарда, а также хроническим пиелонефритом, похудел на 30 кг в течение 3 месяцев, стали беспокоить тошнота и рвота. Затем появилась устойчивая гипотензия до 90/60 мм.рт.ст., наросли одышка, слабость, появилось сердцебиение, умеренные отеки нижних конечностей. На ЭКГ была выявлена блокада передней ветви левой ножки пучка Гиса, синусовая тахикардия. При суточном мониторировании ЭКГ по Холтеру эпизодов нарушений ритма не зарегистрировано. По результатам ЭхоКГ выявлена концентрическая гипертрофия миокарда ЛЖ до 1,6 см, E/A=0,5, КДО 78 мл, ФВ 57%. Также диагностирован окклюзионный тромбоз правой подколенной вены, назначен ривороксабан. Через 5 дней пациент был экстренно госпитализирован с направительным диагнозом «Кишечное кровотечение». При тотальной колоноскопии: множественные эрозии в толстом кишечнике, контактная кровоточивость, взята биопсия (рабочим диагнозом на тот момент был язвенный колит). Через 2 дня у пациента развился пароксизм ФП с ЧСС 181 в минуту, критической гипотензией до 58/15 мм рт. ст.; ритм восстановлен электрической кардиоверсией. Затем, через 2 суток, повторный пароксизм ФП, с гипотонией 82/52 мм рт. ст. Заподозрена легочная эмболия, не подтвержденная при компьютерной ангиографии. Через сутки пациент скончался вследствие электромеханической диссоциации. Одновременно было завершено морфологическое исследование кишечного биоптата, где были обнаружены массивные скопления аморфных мелких эозинофильных масс, с атрофией крипт, «замурованных» в гомогенных эозинофильных включениях, наличием поверхностных дефектов слизистой оболочки в зонах «растрескивания» данных включений. Мелкие узлоподобные конгломераты были также выявлены в стенках артериол слизистой оболочки и подслизистого слоя. При окрашивании конго красным – отчетливая конгофилия выявленных аморфных эозинофильных масс; при исследовании в поляризованном свете конгофильные включения демонстрируют способность к двойному лучепреломлению со свечением яблочно-зеленого и желтоватого цветов. По результатам пробы с перманганатом калия АА-тип амилоида отвергнут.
Необходимо отметить, что, помимо симптомов поражения кишечника, у пациента имели место признаки острого почечного повреждения (с нарастанием креатинина до 331 мкмоль/л), протеинурия 3 г/сут, умеренное повышение тропонина Т как маркер миокардиального повреждения (до 0,750 мкг/к). Системный амилоидоз был заподозрен только после рецидива тяжелых нарушений ритма и верифицирован в данном случае по результату морфологического исследования толстого кишечника. Изначально все внимание было сконцентрировано на имевшем место кишечном кровотечении, а изменения сердца расценивали как гипертонические.
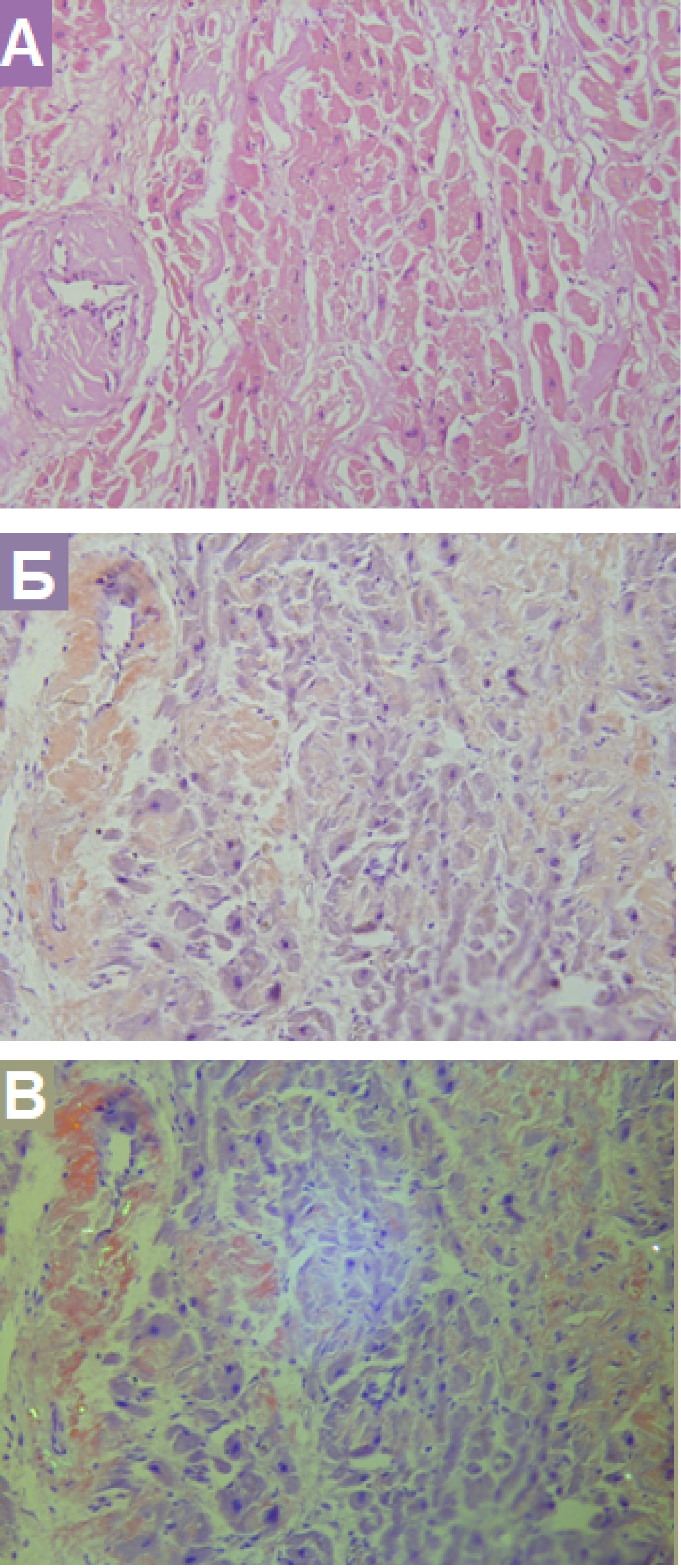
На секции диагноз системного амилоидоза был подтверждён. Макроскопически сердце было увеличено в размерах, утолщены оба желудочка (правый до 0,7 см, левый до 2 см). На ощупь миокард был плотноэластическим, с множественными диффузно-рассеянными дряблыми желтоватыми очагами, расположенными как субэндокардиально, так и интрамурально и субэпикардиально, диаметром до 0,8 см. При морфологическом исследовании во всех препаратах из желудочков и предсердий были выявлены множественные, массивные, занимающие до 50% площади, гомогенные эозинофильные депозиты в интерстиции (на протяжении всей толщи стенки), стенках артериальных сосудов, эндокарде; в интерстиции депозиты были большей частью расположены в виде грубой мелкоячеистой сети «замуровывающей» кардиомиоциты, частью в виде замещающих кардиомиоциты узлоподобных конгломератов разного размера, местами сливающихся между собой. Кроме того, имел место слабый отек интерстиции, неравномерное кровенаполнение сосудов, истончение большого числа кардиомиоцитов наряду с очаговой гипертрофией, очаговые биполярные скопления зерен липофусцина в цитоплазме многих кардиомиоцитов, фокусы гидропической дистрофии кардиомиоцитов (рис. 6).
Рис. 6. Депозиты амилоида в миокарде левого желудочка. Окраска гематоксилином и эозином (А), конго красный – световая (Б) и поляризационная (В) микроскопия. Ув. × 20.
Костный мозг был гиперклеточным, с большим числом плазматических клеток без атипии. При реакции с CD 138 выявлена выраженная экспрессия в цитоплазме плазматических клеток, число которых увеличено.
При иммуногистохимическом исследовании срезов с блока с тканью сердца: реакция с Muramidase (lysozyme) (поликлональные, LeicaBiosystems) отрицательная. При реакции с Lambda light chain (clone SHL53) и Kappa light chain (clone CH15) была обнаружена экспрессия в депозитах амилоида, с четкой разницей в окрашивании в сторону выраженной реакции с Kappa light chain.
Таким образом, в данном случае у пациента был AL-каппа тип системного амилоидоза с массивным поражением практически всех внутренних органов: сердца, артериальных сосудов, гортани, трахеи, легких, языка, пищевода, желудка, кишечника, поджелудочной железы (за исключением эндокринной части), щитовидной железы (рис. 7), надпочечников, селезенки, лимфатических узлов, предстательной железы, мочевого пузыря, почек, периферических нервов, кожи, жировой клетчатки.
Рис. 7. Депозиты амилоида в щитовидной железе. Окраска конго красный – световая (А) и поляризационная (Б) микроскопия. Ув. × 20.
Несмотря на это, непосредственной причиной смерти в данном случае стала именно АКМП.
Интересно, что у пациента не было выявлено при жизни органомегалии, а поражение почек было минимальным. Кроме того, помимо АКМП, имели место морфологические признаки гипертонического сердца.
Лечение амилоидной кардиомиопатии
Лечение амилоидоза в пожилом возрасте представляют определенные трудности в связи с хрупкостью пациентов, сопутствующими заболеваниями и плохой переносимостью лечения. Тем не менее, их следует лечить, поскольку это существенно улучшает прогноз и, в конечном итоге, качество жизни пациентов. Лечение зависит от варианта амилоидоза. Симптоматическая терапия направлена на купирование проявлений СН, нарушений сердечного ритма и проводимости, других проявлений амилоидоза и улучшения качества жизни. Симптоматическое лечение локальных форм AL-амилоидоза состоит из радиотерапии, эксцизии локальных отложений хирургически или с помощью лазера.
Симптоматическая терапия
Ограничение поваренной соли и диуретическая терапия помогают контролировать задержку жидкости при развитии сердечной недостаточности. Диуретики (петлевые и антагонисты минералкортикоидных рецепторов) необходимо назначать под контролем массы тела, артериального давления, уровня креатинина и электролитов. В связи с гипотензией пациенты плохо переносят ингибиторы АПФ, бета-блокаторы, антагонисты рецепторов к ангиотензину и блокаторы кальциевых каналов. Дигоксин, предположительно, связывается амилоидными фибриллами, что делает пациентов более чувствительными к нему. Вместе с тем, он может быть назначен в низких дозах под контролем концентрации препарата в плазме, уровня электролитов и функции почек [141]. При рецидивирующих гемодинамически значимых аритмиях можно использовать амиодарон. Что касается имплантируемых кардиовертеров-дефибрилляторов, хотя смертность после их установки остается высокой, и основной причиной летальности является электромеханическая диссоциация [142, 143]. При развитии брадиаритмии показана установка кардиостимулятора [144]. Предпочтительным режимом является бивентрикулярная стимуляция с целью избежать диссинхронии и декомпенсации сердечной деятельности [145]. У пациентов с амилоидозом крайне высок риск тромбоэмболических осложнений, несмотря на антикоагулянтную терапию [143].
Необходимо уделять внимание коррекции сопутствующих нарушений. У пожилых чаще возникает мальнутриция, чаще возникает необходимость контролировать диарею с помощью октреотида, гастростаз–прокинетиков, плохо переносимую ортостатическую гипотензию с помощью компрессионного трикотажа, мидодрина 2,5 мг 3 раза в день с постепенным увеличение дозы до 30 мг/сутки и пиридостигмина, нейропатическую боль – назначением габапентина, прегабалина, амитриптилина,нортриптилина, дулоксетина. Нужно учитывать влияние лекарств на настроение и ментальный статус. Пациенты, несомненно, нуждаются в социальной поддержке и реабилитации [34, 146].
Лечение АL-амилоидоза
Лечение AL-амилоидоза проводится так же, как лечение ММ, с той разницей, что данные пациенты имеют более тяжелые поражения органов, и у них чаще развиваются токсические реакции. Лечению пожилых пациентов с AL-амилоидозом посвящено небольшое число клинических исследований. В одной из серий из 295 пожилых пациентов с AL-амилоидозом старше 75 лет (Национальный Центр Амилоидоза, Лондон, 2002-2015 гг.) 19% отказались от химиотерапии, из оставшихся только 1/3 завершили планируемые 6 циклов лечения. Из этих пациентов 63% достигли гематологического ответа, 1/3 очень хорошего частичного и полного ответа, что приводило к хорошей выживаемости [147]. Таким образом, у части пожилых пациентов был достигнут хороший ответ на лечение. Тем не менее пожилой и старческий возраст остается независимым негативным прогностическим фактором при проведении химиотерапии у пациентов с AL-амилоидозом [148]. При проведении химиотерапии у пожилых пациентов особое внимание необходимо уделять минимизации токсичности режимов, профилактике осложнений, таких как сахарный диабет, язвенные поражения ЖКТ, опоясывающий герпес, тромбозы, инфекции.
Целью лечения является подавление патологического клона плазматических клеток – гематологической ремиссии. Ремиссия определяется как частичная (уменьшение на 50% dFLC), очень хорошая частичная (dFLC<40 мг/л) и полная (СR) (отсутствие парапротеина в крови и моче при исследовании методом иммунофиксации, нормальная концентрация FLC и нормальное отношение κ/λ). Пациентов следует лечить в специализированных центрах, желательно, в рамках клинических исследований. Со стороны сердца ответом на терапию считается, по меньшей мере, 30% уменьшение NT-proBNP (если исходно он был ≥650 нг/л с абсолютным уровнем, по меньшей мере, 300 нг/л) или снижение функционального класса СН на 2 пункта. Почечным ответом считается снижение протеинурии, по меньшей мере, на 30% или ниже 0,5 г/сутки в отсутствие прогрессирования ХБП (>25% снижение расчетной СКФ) [34, 92, 149, 150].
Для выбора метода терапии используются критерии риска аутоТГСК, разработанные в 2002 г. в клинике Мейо [151, 152] (табл. 4).
Таблица 4 | |
Группа риска аутоТГСК | Критерии |
Низкий риск | Поражение 1-2 органов без поражения сердца Клиренс креатинина >50 мл/мин |
Промежуточный риск | Возраст ≤ 70 лет Клиренс креатинина >50 мл/мин 1-2 пораженных органа, поражение сердца (бессимптомное, компенсированное) или почек |
Высокий риск | Поражение 3 и более органов Симптомы поражения сердца |
Наиболее эффективным методом лечения AL-амилоидоза является химиотерапия (режимы на основе мелфалана (100-200 мг/м2, в зависимости от возраста и стадии заболевания), бортезомиба или режим CyBorD (циклофосфамид+бортезомиб+дексаметазон)) с последующей трансплантацией аутологичных стволовых клеток костного мозга (аутоТГСК), которая наиболее эффективна в группе низкого риска – гематологический ответ достигается у 71%, CRу 35-37% пациентов. Медиана выживаемости составляет 7,6 года, и 55% пациентов с CR живут более 14 лет [11, 12, 46, 149, 150, 153].
Критериями отбора на аутоТГСК при AL-амилоидозе в большинстве центров являются: возраст<65 лет, тропонин T<0,06 нг/мл, САД≥90 мм.рт.ст., клиренс креатинина≥50 мл/мин/1,73 м2 (кроме тех, кто находится на программном гемодиализе), оценка по шкале Eastern Cooperative Oncology Group (ECOG)≤2, I или II функциональный классы СН по NYHA, ФВ>45%, величина диффузионной способности легких >50% [69, 154]. Несмотря на эти ограничения, в последнее время доля пожилых пациентов, которым проводится аутоТГСК, растет [149]. По данным опубликованного в 2015 году анализа, проведенного Международным Центром по изучению пересадки крови и костного мозга, выживаемость пациентов с AL-амилоидозом после трансплантации улучшилась с 55% (1995-2000 гг.) до 77% (2007-2012 гг.). Возможно, это связано с более тщательным отбором пациентов [147]. Однако новых проспективных исследований в этом отношении не проводили.
Пациентам промежуточного риска проводится химиотерапия алкилирующими агентами (мелфалан, циклофосфамид), бортезомибом (в отсутствие периферической полинейропатии) и дексаметазоном. До недавнего времени стандартным режимом для пациентов, не подлежащих трансплантации, была комбинация пероральных мелфалана и дексаметазона с достижением у 78% гематологической ремиссии, при CR у 31% пациентов [155, 156]. К сожалению, при длительном использовании мелфалана может развиться миелодиспластический синдром. К настоящему времени показано, что режимы, включающие бортезомиб, в ряде исследований эффективнее режимов мелфалан/дексаметазон (гематологический ответ 81 против 57%, CR 23 против 20%) и циклофосфамид/талидомид/дексаметазон [157, 158]. В качестве терапии первой линии может использоваться CyBorD (общий гематологический ответ 60%, полный 23%) [159].CyBorD или бортезомиб/дексаметазон предподчителен для пациентов с потенциально обратимыми противопоказаниями к аутоТГСК, недостатком стволовых клеток или почечной недостаточностью [154]. Пациенты высокого риска также могут получать основанные на бортезомибе низкодозовые режимы с повышением доз каждую неделю под строгим контролем [150].
При гематологическом рецидиве применяются те же препараты, которые были использованы в первой линии. При рефрактерности к первой линии терапии – смена терапии на режимы с использованием иммуномодуляторов (леналидомида, помалидомида), ингибитора протеасом иксазомиба или бендамустина [155, 160]. Применение моноклональных антител против плазмацитов, например, анти-CD38 даратумумаба, дает хороший гематологический ответ (76-80%), их использовали у пациентов с рецидивами или рефрактерностью к терапии [161]. Кардиальный ответ был получен у 33%, почечный у 32% пациентов. Венетоклакс добавлялся к CyBorD для повышения эффективности терапии у пациентов с t (11;14) и частичным ответом на терапию [162]. Продолжаются также многообещающие исследования I/II фазы моноклональных антител к легким цепям [163, 164].
Трансплантация пораженных амилоидозом органов – хорошая опция у пациентов с гематологической ремиссией или ауто ТГСК, но это вряд ли реально для пожилых, хрупких пациентов, особенно при мультиорганном поражении [165].
Лечение ATTR-амилоидоза
Методом выбора у молодых больных с нейропатией и мутацией Val30Met остается трансплантация печени, ранее – единственная опция для лечения [166]. Как и в случае трансплантации сердца, у пожилых больных данный метод лечении не используют. Основной мишенью терапевтического воздействия в настоящее время является сам ТТР. Молекулы, подобные по структуре тироксину, через его сайты связывания объединяют амилоидогенные мономеры ТТР в стабильный тетрамер [167]. Тафамидис, дериват бензоксазола, зарегистрированный в РФ, применяется в дозе 20 мг в сутки для лечения ATTR-амилоидоза у взрослых с симптоматической полинейропатией I стадии и у пациентов с противопоказаниями к трансплантации печени [168, 169], в 2018 году получил одобрение FDA для лечения транстиретиновой кардиомиопатии[168]. Дифлунисал относится к нестероидным противовоспалительным препаратам, может ингибировать фибриллогенез обоих типов ATTR, в исследовании II/III фазы показал значимое улучшение нейропатической шкалы у пациентов с амилоидной полинейропатией. К сожалению, при длительном применении препарат оказывает токсичность, свойственную группе нестероидных противовоспалительных препаратов [170].
Малые молекулы РНК представляют собой небольшие синтетические однонитевые последовательности нуклеиновых кислот, ингибирующие синтез «целевого» белка путем селективного связывания с его РНК, что предотвращает процесс трансляции. Ожидается, что эта стратегия будет эффективной для лечения wtATTR-кардиомиопатии за счет снижения синтеза ТТР, достигающей 80% [171]. На фоне приема патисирана (коммерческое название Onpattro) в исследовании III фазы у пациентов с ATTR-нейропатией было продемонстрировано значимое улучшение симптомов по модифицированной шкале нейропатических нарушений NIS [172].Антисмысловые олигонуклеотиды (АСО) – это химически модифицированные олигонуклеотиды, селективно связывающиеся с РНК в клетке и предотвращающие экспрессию таргетного протеина путем вмешательства в трансляцию. АСО инотерсен (Тегседи) одобрен в странах Евросоюза и США для лечения наследственной амилоидной полинейропатии.
Также в настоящее время изучается эффективность применения комбинированной терапии доксициклином и тауро-урсодезоксихолевой кислотой, которые уменьшают агрегацию амилоидных фибрилл. Доксициклин в настоящее время изучается как адъювант к антиплазмаклеточной терапии при AL-амилоидозе [155].
Лечение АА-амилоидоза
Поскольку обычно в основе болезни лежит системный воспалительный процесс, лечение амилоидоза – это, прежде всего, лечение основного заболевания. Специфические методы лечения (хирургическое лечение при болезни Кастельмана, высокие дозы колхицина при семейной Средиземноморской лихорадке и противотуберкулезные препараты при туберкулезе) значимо снижают уровень SAA и улучшают прогноз. В качестве перспективного рассматривается моноклональное антитело против интерлейкина-6 тоцилизумаб, которое при использовании для лечения ревматических заболеваний существенно снижает уровень циркулирующего SAA, а также уменьшает выраженность протеинурии у пациентов с семейной средиземноморской лихорадкой [173].
Несмотря на все ограничения и трудности в лечении пожилых пациентов с АКМП, успехи терапии амилоидоза вселяют надежду еще в связи и с тем фактом, что после уничтожения патологического клона, если пациент проживет достаточно долго, функция органов может восстанавливаться, поскольку относительно нерастворимый амилоид, в конце концов, способен метаболизироваться и разрушаться. Перспективы в лечении амилоидоза связывают с использованием антител к SAP[174]. В исследовании Ib фазы было показано, что использование ингибитора SAP миридесапа, с последующим применением моноклонального гуманизированного антитела к SAPдезамизумаба, который в настоящее время изучается как препарат для лечения AL-амилоидоза, приводит к исчезновению фибрилл амилоида из печени и селезенки, подтвержденному результатом сцинтиграфии с 123I-SAP [175].
Заключение
Диагностика АКМП в пожилом и старческом возрасте затруднена наличием сопутствующих заболеваний. Необходимо помнить о том, что, хотя в пожилом и старческом возрасте превалируют определенные типы амилоидоза, он может быть любым, а также возможно сочетание разных видов амилоидного поражения. Пожилые пациенты более ранимы вследствие наличия сопутствующих заболеваний, большого количества принимаемых препаратов, ограничения повседневной деятельности, социальной изоляции и редкого включения в клинические протоколы. Несмотря на распространённое мнение о плохих перспективах терапии АКМП в пожилом возрасте, необходимо направлять усилия на выявление ранних стадий заболевания, чему способствует информированность медицинского сообщества и формирование настороженности в отношении рисков АКМП, особенно актуальной в данной возрастной группе. Недавние достижения в использовании биомаркеров для ранней диагностики АКМП, стратификации риска и мониторинге ответа на терапию, совершенствование неинвазивных методов диагностики, расцвет новой, эффективной антиплазмаклеточной терапии и внедрение анти-амилоидной терапии при других типах амилоидоза сердца меняют клиническое ведение этого заболевания и позволяют существенно улучшить прогноз. Именно поэтому важно лечить и стремиться к быстрому ответу на терапию даже в этой сложной клинической ситуации.
Финансирование. Исследование не имело спонсорской поддержки.
Конфликт интересов. Авторы заявляют об отсутствии конфликта интересов.
About the authors
Ol’ga A. Ettinger
N.I.Pirogov Russian National Research Medical University
Author for correspondence.
Email: exampl@mail.ru
ORCID iD: 0000-0002-1237-3731
MD, PhD
Russian Federation, 117997, MoscowGennadiy E. Gendlin
N.I.Pirogov Russian National Research Medical University
Email: exampl@mail.ru
ORCID iD: 0000-0002-7846-1611
MD, PhD, DSc, Professor
Russian Federation, 117997, MoscowElena A. Stepanova
V.M. Buyanov Moscow City Clinical Hospital; Russian Medical Academy of Continuing Professional Education
Email: exampl@mail.ru
ORCID iD: 0000-0001-7760-5858
врач-патологоанатом; ассистент кафедры патологической анатомии
Russian Federation, 115056, Moscow; 125993, MoscowIrina I. Ganieva
V.M. Buyanov Moscow City Clinical Hospital
Email: exampl@mail.ru
ORCID iD: 0000-0002-2429-1629
врач-кардиолог
Russian Federation, 115056, MoscowSvetlana V. Borisovskaya
N.I.Pirogov Russian National Research Medical University; V.M. Buyanov Moscow City Clinical Hospital
Email: exampl@mail.ru
ORCID iD: 0000-0002-9365-1472
MD, PhD
Russian Federation, 117997,Moscow; 115056, MoscowIl’ya G. Fedorov
N.I.Pirogov Russian National Research Medical University; V.M. Buyanov Moscow City Clinical Hospital
Email: exampl@mail.ru
MD, PhD
Russian Federation, 117997, Moscow; 115056, MoscowIgor’ G. Nikitin
N.I.Pirogov Russian National Research Medical University; Medical and Rehabilitation Center
Email: exampl@mail.ru
ORCID iD: 0000-0003-1699-0881
MD, PhD, DSc, Professor
Russian Federation, 125367, MoscowReferences
- Benson M.D., Buxbaum J.N., Eisenberg D.S., Merlini G., Saraiva M.J.M., Sekijima Y., Sipe J.D., Westermark P. Amyloid nomenclature 2018: recommendations by the International Society of Amyloidosis (ISA) nomenclature committee. Amyloid. 2018 Dec; 25(4): 215-9.
- Falk R., Comenzo R., Skinner M. The systemic amyloidoses N. Engl. J. Med. 1997: 337 (13): 898–909.
- Picken M.M., Dogan A., Herrera G.A., editors. Amyloid and Related Disorders Surgical Pathology and Clinical Correlations. 2-d edition. Heidelberg New York Dordrecht London: Humana Press, 2015. doi: 10.1007/978-3-319-19294-9.
- Bobrov A.L., Kulikov A.N., Gorokhova E.V., Rud’ S. D., Bobrov L.L. A case of fulminant development and progression of heart failure in heart amyloidosis. Rossiyskiy kardiologicheskiy zhurnal.2016; 2(130): 95–6. (in Russian)
- Demko I.V., Pelinovskaya L.I., Soloveva I.A., Kraposhina A.Yu., Gordeeva N.V., Mosina V.A. Primary cardiac amyloidosis. Klinicheskaya meditsina. 2017; 95(11): 971—6. (in Russian)
- Brenner D.A., Jain M., Pimentel D.R., Wang B., Connors L.H., Skinner M. et al. Human amyloidogenic light chains directly impair cardiomyocyte function through an increase in cellular oxidant stress. Circ Res. 2004; 94: 1008–10.
- Shi J., Guan J., Jiang B., Brenner D.A., Del Monte F., Ward J.E. et al. Amyloidogenic light chains induce cardiomyocyte contractile dysfunction and apoptosis via a non-canonical p38alpha MAPK pathway. Proc Natl AcadSci USA. 2010; 107: 4188–93.
- Campioni S., Mannini B., Zampagni M., Pensalfini A., Parrini C., Evangelisti E.et al. A causative link between the structure of aberrant protein oligomers and their toxicity. Nat Chem Biol. 2010; 6: 140–7.
- Peng S., Larsson A., Wassberg E., Gerwins P., Thelin S., Fu X., Westermark P. Role of aggregated medin in the pathogenesis of thoracic aortic aneurysm and dissection. Lab Invest. 2007; 87: 1195–205.
- Storozhakov G.I. Heart damage in amyloidosis. Zhurnal Serdechnaya nedostatochnost'. 2008; 9(5): 250-6. (in Russian)
- Zdanova E.A., Rameev V.V., Moiseev S.V., Kozlovskaya L.V., Safarova A.F. Amyloidosis of the heart: clinic, treatment, prognosis. Farmateka.2012; 9: 10-6. (in Russian)
- Dubrey S.W., Comenzo R.L. Amyloid diseases of the heart: current and future therapies. QJM. 2012; 105(7): 617-31.
- Ternacle J., Bodez D., Guellich A., Audureau E., Rappeneau S., Lim P.et al. Causes and consequences of longitudinal LV dysfunction assessed by 2D strain echocardiography in cardiac amyloidosis. JACC Cardiovasc Imaging. 2016; 9: 126–38.
- Nucifora G., Muser D., Morocutti G., Piccoli G., Zanuttini D., Gianfagna P., Proclemer A. Disease-specific differences of left ventricular rotational mechanics between cardiac amyloidosis and hypertrophic cardiomyopathy. Am J Physiol Heart Circ Physiol. 2014; 307 (5): H680–8.
- Nemes A., Foldeak D., Domsik P., Kalapos A., Sepp R., Borbényi Z., Forster T. Different patterns of left ventricular rotational mechanics in cardiac amyloidosis – results from the three-dimensional speckle-tracking echocardiographic MAGYAR-Path Study. Quant Imaging Med Surg. 2015; 5 (6): 853–7.
- Pavlyukova E.M., Kuzhel D.A., Matyushin G.V., Savchenko E.A., Filippova S.A. Left ventricular rotation, twist and untwist: physiological role and clinical relevance. Ratsional'naya farmakoterapiya v kardiologii. 2015; 11 (1): 68–78. (in Russian)
- Falk R., Alexander K., Liao R., Dorbala S. AL (Light-Chain) Cardiac Amyloidosis: A Review of Diagnosis and Therapy. J Am Col lCardiol 2016; 68(12): 1323–41.
- Dvoretsky L.I., Karpova O.Y., Alexandrova E.N., Petrova S.Y. Amyloidosis heart in elderly. Arhiv vnutrenney meditsiny.2015; (6):28-36. (in Russian)
- Gonzalez-Lуpez E., Gallego-Delgado M., Guzzo-Merello G., de Haro-Del Moral F.J., Cobo-Marcos M., Robles C. et al. Wild-type transthyretin amyloidosis as a cause of heart failure with preserved ejection fraction. Eur. Heart J. 2015; 36: 2585–94.
- Steiner I., Hajkova P. Patterns of isolated atrial amyloid: a study of 100 hearts on autopsy. Cardiovasc Pathol. 2006; 15: 287–90.
- Pinney J.H., Whelan C.J., Petrie A., Dungu J., Banypersad S.M., Sattianayagam P. et al. Senile systemic amyloidosis: clinical features at presentation and outcome. J Am Heart Assoc. 2013; 2: e000098
- Ueda M., Ando Y. Recent advances in transthyretin amyloidosis therapy. Transl Neurodegen. 2014; 3: 19.
- Rowczenio D.M., Noor I., Gillmore J.D., Lachmann H.J., Whelan C., Hawkins P.N. et al. Online registry for mutations in hereditary amyloidosis including nomenclature recommendations. Hum Mutat. 2014; 35: E2403–12.
- Goffin Y. Microscopic amyloid deposits in the heart valves: a common local complication of chronic damage and scarring. J Clin Pathol. 1980; 33: 262–8.
- Röcken C., Peters B., Juenemann G., Saeger W., Klein H.U., Huth C., Roessner A., Goette A. Atrial amyloidosis: an arrhythmogenic substrate for persistent atrial fibrillation. Circulation. 2002; 106: 2091–97.
- Leone O., Boriani G., Chiappini B., Pacini D., Cenacchi G., Suarez M. et al. Amyloid deposition as a cause of atrial remodelling in persistent valvular atrial fibrillation. Eur. Heart J. 2004; 25: 1237–41.
- Mucchiano G., Cornwell 3rd G.G., Westermark P. Senile aortic amyloid: evidence for two distinct forms of localized deposits. Am J Pathol. 1992; 140: 871–7.
- Peng S., Westermark G.T., Näslund J., Häggqvist B., Glennert J., Westermark P. Medin and medin-amyloid in ageing inflamed and non-inflamed temporal arteries. J Pathol.2002; 196: 91–6.
- Enqvist S., Peng S., Persson A., Westermark P. Senile amyloidoses--diseases of increasing importance. Acta Histochem. 2003; 105(4): 377-8.
- Larsson A., Malmström S., Westermark P. Signs of cross-seeding: aortic medin amyloid as a trigger for protein AA deposition. Amyloid. 2011; 18(4): 229-34.
- Mucchiano G.I., Haggqvist B., Sletten K., Westermark P. Apolipoprotein A-1-derived amyloid in atherosclerotic plaques of the human aorta. J Pathol. 2001; 193: 270–5.
- Kyle R.A., Linos A., Beard C.M., Linke R.P., Gertz M.A., O'Fallon W.M. et al. Incidence and natural history of primary systemic amyloidosis in Olmsted County, Minnesota, 1950 through 1989.Blood 1992; 79: 1817–22.
- Palladini G., Comenzo R.L. The challenge of systemic immunoglobulin light-chain amyloidosis (Al). Subcell Biochem 2012; 65: 609–42.
- Desport E., Bridoux F., Sirac С., Delbes S., Bender S., Fernandez B. et al. AL-amyloidosis.Nefrologiya.2014; 18(4) : 36-50. (in Russian)
- Gertz M.A. Immunoglobulin light chain amyloidosis diagnosis and treatment algorithm 2018. Blood Cancer Journal.2018; 8: 44-56.
- Rameeva A.S., Rameev V.V., Moiseev S.V., Tao P.P, Kozlovskaya L.V. Amyloid heart disease: pathomorphology, diagnostic approaches and treatment options. Consilium Medicum. 2018; 20 (12): 15–22. (in Russian)
- Rameev V.V., Kozlovskaya L.V. Amyloidosis: modern methods of diagnosis and treatment. Effektivnaya farmakoterapiya. Urologiya i nefrologiya. Spetsial'nyy vypusk: aktual'nye voprosy nefrologii. 2012; 6-15. (in Russian)
- Perfetti V., Casarini S., Palladini G., Vignarelli M.C., Klersy C., Diegoli M. et al. Analysis of V(lambda)- J(lambda) expression in plasma cells from primary (AL) amyloidosis and normal bone marrow identifies 3r (lambdaIII) as a new amyloid-associated germline gene segment. Blood. 2002; 100: 948-53.
- Madan S., Dispenzieri A., Lacy M.Q., Buadi F., Hayman S.R., Zeldenrust S.R.et al. Clinical Features and Treatment Response of Light Chain (AL) Amyloidosis Diagnosed in Patients With Previous Diagnosis of Multiple Myeloma. Mayo Clin Proc. 2010;.85(3): 232- 38.
- Walther D.M., Kasturi P., Zheng M., Pinkert S., Vecchi G., Ciryam P. et al. Widespread proteome remodeling and aggregation in aging C. elegans. Cell 2015; 161: 919–32.
- Rameev V.V., Myasnikov R.P., Vinogradov P.P., Kozlovskaya L.V., Moiseev S.V., Fomicheva E.I. et al. Systemic ATTR-amyloidosis, a Rare Form of Internal Organ Damage. Ratsional'naya farmakoterapiya v kardiologii. 2019; 15(3): 349-58. (in Russian)
- Andrade C. A peculiar form of peripheral neuropathy; familiar atypical generalized amyloidosis with special involvement of the peripheral nerves. Brain. 1952; 75: 408-27.
- Connors L.H., Lim A., Prokaeva T., Roskens V.A., Costello C.E. Tabulation of human transthyretin (TTR) variants. Amyloid.2003; 10: 160-84.
- Sattianayagam P.T., Hahn A.F., Whelan C.J., Gibbs S.D., Pinney J.H., Stangou A.J. et al. Cardiac phenotype and clinical outcome of familial amyloid polyneuropathy associated with transthyretin alanine 60 variant. Eur Heart J. 2012; 33: 1120– 7.
- Connors L.H., Prokaeva T., Lim A., Théberge R., Falk R.H., Doros G. et al. Cardiac amyloidosis in African Americans: comparison of clinical and laboratory features of transthyretin V122I amyloidosis and immunoglobulin light chain amyloidosis. Am Heart J. 2009; 158: 607-14.
- Falk R.H. Diagnosis and management of the cardiac amyloidosis. Circulation. 2005; 112: 2047–60.
- Benson M.D. Ostertag revisited: the inherited systemic amyloidoses without neuropathy. Amyloid. 2005; 12: 75–87.
- Kebbel A., Rocken C. Immunohistochemical classification of amyloid in surgical pathology revisited. Am J Surg Pathol. 2006; 30: 673–83.
- von Hutten H., Mihatsch M., Lobeck H., Rudolph B., Eriksson M., Rocken C. Prevalence and origin of amyloid in kidney biopsies. Am J Surg Pathol. 2009; 33: 1198–205.
- Kieninger B., Eriksson M., Kandolf R., Schonland P., Kristen A., Hegenbart U. et al. Amyloid in endomyocardial biopsies. Virchows Arch. 2010; 456: 523–32.
- Freudenthaler S., Hegenbart U., Schonland S., Behrens H., Kruger S., Rocken C. Amyloid in biopsies of the gastrointestinal tract — a retrospective observational study on 542 patients. Virchows Arch. 2016; 468: 569–77.
- Garcia Y., Collins A.B., Stone J.R. Abdominal fat pad excisional biopsy for the diagnosis and typing of systemic amyloidosis. Human Pathol.2018; 72: 71–9.
- Morris A.D., Smith R.N., Stone J.R. The pathology and changing epidemiology of dialysis-related cardiac beta-2 microglobulin amyloidosis. Cardiovasc Pathol. 2019; 42: 30-5. doi: 10.1016/j.carpath.2019.05.002
- Masuda M., Ishimura E., Ochi A., Tsujimoto Y., Tahara H., Okuno S. et al. Serum β2- microglobulin correlates positively with left ventricular hypertrophy in long-term hemodialysis patients. Nephron Clin Pract. 2014; 128: 101–6.
- Booth D.R., Booth S.E., Gillmore J.D., Hawkins P.N., Pepys M.B. SAA1 alleles as risk factors in reactive systemic AA amyloidosis. Amyloid. 1998; 5: 262-5.
- Papa R., Lachmann HJ. Secondary, AA, Amyloidosis. Rheum Dis Clin North Am. 2018; 44 (4): 585-603.
- Brunger A.F., Nienhuis H.L.A., Bijzet J., Hazenberg B.P.C. Causes of AA amyloidosis: a systematic review. Amyloid. 2020; 27(1):1-12.
- Alkhawam H., Patel D., Nguyen J., Easaw S.M., Al-Sadawi M., Syed U.et al. Cardiac amyloidosis: pathogenesis, clinical context, diagnosis and management options. Acta Cardiol. 2017; 72(4): 380-9.
- Lane T., Loeffler J.M., Rowczenio D.M., Gilbertson J.A., Bybee A., Russell T.L. et al. AA amyloidosis complicating the hereditary periodic fever syndromes. Arthritis Rheum. 2013; 65: 1116–21.
- Larsen C.P., Kossmann R.J., Beggs M.L., Solomon A., Walker P.D. Clinical, morphologic, and genetic features of renal leukocyte chemotactic factor 2 amyloidosis. Kidney International. 2014; 86: 378-82.
- Said S.M., Sethi S. Valeri A.M., Chang A., Nast C.C., Krahl L. et al. Characterization and outcomes of renal leukocyte chemotactic factor 2-associated amyloidosis. Kidney Int. 2014; 86: 370–7.
- Kyle R.A., Bayrd E.D. Amyloidosis: Review of 236 cases. Medicine (Baltimore). 1975; 54: 271-99.
- Wyse D.G., Waldo A.L., DiMarco J.P., Domanski M.J., Rosenberg Y., Schron E.B.et al. A comparison of Rate Control and Rhythm Control in Patients with Atrial Fibrillation. N. Engl. J. Med. 2002; 347: 1825–33.
- Nademanee K. et al. Benefits and risks of catheter ablation in elderly patients with atrial fibrillation. Heart Rhythm.2015; 12: 44–51.
- Agnihotri K., Patel P., Sharma K., Bhatia S., Shantha G., Patel N. et al. Abstract 18919: Outcomes of Catheter Ablation for Atrial Fibrillation in the Elderly-Data From the Largest Inpatient Registry (2011–2014). Circulation.2017; 136: A18919–A18919.
- Krishnappa D., Dykoski R, Can I., Mbai M., Anand I.S., Viorel Florea V. et al. Atrial Fibrillation in the Elderly: The Role of Sub-Clinical Isolated Cardiac Amyloidosis. Scientific Reports.2019; 9:16584.
- Treibel T.A., Fontana M., Gilbertson J.A., Castelletti S., White S.K., Scully P.R. et al. Occult Transthyretin Cardiac Amyloid in Severe Calcific Aortic Stenosis Prevalence and Prognosis in Patients Undergoing Surgical Aortic Valve Replacement. Circ Cardiovasc Imaging. 2016; 9: e005066.
- Kristen A.V., Dengler T.J., Hegenbart U., Schonland S.O., Goldschmidt H., Sack F.U. et al. Prophylactic implantation of cardioverter-defibrillator in patients with severe cardiac amyloidosis and high risk for sudden cardiac death. Heart Rhythm.2008; 5(2): 235—40.
- Vaxman I., Gertz M. Recent Advances in the Diagnosis, Risk Stratification, and Management of Systemic Light-Chain Amyloidosis. Acta Haematol. 2019;141:93–106.
- Nonka T.G., Repin A.N. Cardiac amyloidosis. Diagnostics and treatment of amyloid cardiomyopaphy.Case report. Klinicheskaya Meditsina. 2015; 93(4): 66-73. (in Russian).
- Martinez-Naharro A., Hawkins P.N., Fontana M. Cardiac amyloidosis. Clinical Medicine. 2018; 18 (2): 30-5.
- Palladini G., Barassi A., Klersy C., Pacciolla R., Milani P., Sarais G. et al. The combination of high-sensitivity cardiac troponin T (hs-cTnT) at presentation and changes in N-terminal natriuretic peptide type B (NT-proBNP) after chemotherapy best predicts survival in AL amyloidosis. Blood. 2010; 116: 3426–30.
- Sachchithanantham S., Berlanga O., Alvi A., Mahmood S.A., Lachmann H.J., Gillmore J.D. et al. Immunoparesis defined by heavy+light chain suppression is a novel marker of longterm outcomes in cardiac AL amyloidosis. Br J Haematol. 2017; 179 (4): 575–85.
- Muchtar E., Dispenzieri A., Kumar S.K., Buadi F.K., Lacy M.Q., Zeldenrust S. et al. Immunoparesis in newly diagnosed AL amyloidosis is a marker for response and survival. Leukemia.2017; 31(1): 92–9.
- Obici L., Perfetti V., Palladini G., Moratti R., Merlini G.Clinical aspects of systemic amyloid diseases. Biochimica et Biophysica Acta. 2005; 1753: 11–22.
- Harrison J.S., Frazier S.R., McConnell D.D. Yasar S.J., Melnyk N., Salaru G. Evidence of both von Willebrand factor deposition and factor V deposition onto AL amyloid as the etiology of a severe bleeding diathesis. Blood Coagulation & Fibrinolysis. 2017; 28: 342-47.
- Gertz M.A., Kyle R.A. Myopathy in primary systemic amyloidosis. Journal of Neurology, Neurosurgery, and Psychiatry.1996; 60: 655-60.
- Yen T., Chen F.W., Witteles R.M., Liedtke M., Nguyen L.A. Clinical implications of gastrointestinal symptoms in systemic amyloidosis. Neurogastroenterology and Motility. 2018; 30: e3229.
- Ozdemir D., Dagdelen S., Erbas T. Endocrine involvement in systemic amyloidosis. Endocrine Practice. 2010; 16: 1056-1063.
- Mahmood S., Bridoux F., Venner C.P., Sachchithanantham S., Gilbertson J.A., Rowczenio D. et al. Natural history and outcomes in localized immunoglobulin light-chain amyloidosis: a long-term observational study. Lancet Haematol.2015; 2(6): e241–50.
- Westermark P., Bergström J., Solomon A., Murphy C., Sletten K. Transthyretin-derived senile systemic amyloidosis: clinicopathologic and structural consideration. Amyloid. 2003; 10 Suppl 1: 48–54.
- Ueda M., Ando Y., Haraoka K., Katsuragi S., Terasaki Y., Sugimoto M., Sun X., Uchino M. Aging and transthyretin-related amyloidosis: pathologic examinations in pulmonary amyloidosis. Amyloid. 2006; 13: 24–30.
- Ruberg F.L., Berk J.L. Transthyretin (TTR) cardiac amyloidosis. Circulation. 2012; 126: 1286-300.
- Koike H., Tanaka F., Hashimoto R. Tomita M., Kawagashira Y., Iijima M.et al. Natural history of transthyretin Val30Met familial amyloid polyneuropathy: Analysis of late onsetcases from non-endemic areas. Journal of Neurology, Neurosurgery, and Psychiatry. 2012; 83: 152-8.
- Jin K., Sato S., Takahashi T., Nakazaki H., Date Y., Nakazato M.et al. Familial leptomeningeal amyloidosis with a transthyretin variant Asp18Gly representing repeated subarachnoid haemorrhages with superficial siderosis. Journal of Neurology, Neurosurgery & Psychiatry. 2004; 75: 1463-6.
- Beckius S., Shah K. Intracranial and systemic manifestations of familial leptomeningeal amyloidosis, as seen on CT and MRI. Radiol Case Rep. 2018; 13(6): 1179-84.
- Lousada I., Comenzo R.L., Landau H., Guthrie S., Merlini G. Light chain amyloidosis: patient experience survey from the amyloidosis research consortium. Adv Ther. 2015; 32: 920–8.
- Kourelis T.V., Kumar S.K., Go R.S., Kapoor P., Kyle R.A., Buadi F.K. et al. Immunoglobulin light chain amyloidosis is diagnosed late in patients with preexisting plasma cell dyscrasias. Am J Hematol. 2014; 89: 1051–4.
- Merlini G., Palladini G. Differential diagnosis of monoclonal gammopathy of undetermined significance. Hematology Am Soc Hematol Educ Program. 2012; 2012: 595-603.
- Palladini G., Campana C., Klersy C., Balduini A., Vadacca G., Perfetti V. et al. Serum N-terminal pro-brain natriuretic peptide is a sensitive marker of myocardial dysfunction in AL amyloidosis. Circulation. 2003; 107: 2440-5.
- Dispenzieri A., Gertz M.A., Kumar S.K., Lacy M.Q., Kyle R.A., Saenger A.K. et al. High sensitivity cardiac troponin T in patients with immunoglobulin light chain amyloidosis. Heart. 2014; 100: 383-8.
- Kumar S., Dispenzieri A., Lacy M.Q., Hayman S.R., Buadi F.K., Colby C. et al. Revised prognostic staging system for light chain amyloidosis incorporating cardiac biomarkers and serum free light chain measurements. J ClinOncol. 2012; 30: 989-95.
- Palladini G., Foli A., Milani P., Russo P., Albertini R., Lavatelli F. et al. Best use of cardiac biomarkers in patients with AL amyloidosis and renal failure. Am J Hematol.2012; 87: 465-71.
- Oerlemans M. I. F. J. , Rutten K. H. G., Minnema M. C., Raymakers R. A. P., Asselbergs F. W., de Jonge N. Cardiac amyloidosis: the need for early diagnosis. Neth Heart J. 2019; 27: 525-36.
- Murtagh B., Hammill S.C., Gertz M.A., Kyle R.A., Tajik A.J., Grogan M. Electrocardiographic findings in primary systemic amyloidosis and biopsy-proven cardiac involvement. Am J Cardiol.2005; 95(4): 535-7.
- Bellavia D., Pellikka P.A., Dispenzieri A., Scott C.G., Al-Zahrani G.B., Grogan M. et al. Comparison of right ventricular longitudinal strain imaging, tricuspid annular plane systolic excursion, and cardiac biomarkers for early diagnosis of cardiac involvement and risk stratification in primary systematic (AL) amyloidosis: a 5-year cohort study. Eur Heart J Cardiovasc Imaging.2012; 13(8): 680-9.
- Lee M.H., Lee S.P., Kim Y.J., Sohn D.W. Incidence, diagnosis and prognosis of cardiac amyloidosis. Korean Circ J. 2013; 43(11): 752-60.
- Koyama J., Ray-Sequin P.A., Falk R.H. Longitudinal myocardial function assessed by tissue velocity, strain, and strain rate tissue Doppler echocardiography in patients with AL (primary) cardiac amyloidosis. Circulation. 2003; 107: 2446–52.
- Bellavia D., Pellikka P.A., Abraham T.P., Al-Zahrani G.B., Dispenzieri A., Oh J.K. et al. Evidence of impaired left ventricular systolic function by Doppler myocardial imaging in patients with systemic amyloidosis and no evidence of cardiac involvement by standard two dimensional and Doppler echocardiography. Am J Cardiol. 2008; 101: 1039–45.
- Santarone M., Corrado G., Tagliagambe L.M., Manzillo G.F., Tadeo G., Spata M., Longhi M. Atrial thrombosis in cardiac amyloidosis: diagnostic contribution of transesophageal echocardiography. J Am Soc Echocardiogr. 1999; 12: 533–6.
- Dubrey S.W., Cha K., Anderson J., Chamarthi B., Reisinger .J, Skinner M. et al. The clinical features of immunoglobulin light-chain (AL) amyloidosis with heart involvement. QJM.1998; 91(2): 141–57.
- Gertz M.A., Merlini G. Definition of organ involvement and response to treatment in AL amyloidosis: an updated consensus opinion. Amyloid.2010; 17 (Suppl. 1): 48–9.
- Phelan D., Collier P., Thavendiranathan P., Popović Z.B., Hanna M., Plana J.C. et al. Relative apical sparing of longitudinal strain using two-dimensional speckle-tracking echocardiography is both sensitive and specific for the diagnosis of cardiac amyloidosis. Heart. 2012; 98: 1442–8.
- Pandey T., Alapati S., Wadhwa V., Edupuganti M.M., Gurram P., Lensing S., Jambhekar K.Evaluation of myocardial strain in patients with amyloidosis using cardiac magnetic resonance feature tracking. Curr Probl Diagn Radiol.2017; 46: 288–94.
- Falk R., Quarta C., Dorbala S. How to Image Cardiac Amyloidosis: A Focused Practical Review. Circ Cardiovasc Imaging.2014; 7(3): 552-62.
- Phelan D., Thavendiranathan P., Popovic Z. Collier P., Griffin B., Thomas J.D., Marwick T.H. Application of a parametric display of two dimensional speckle-tracking longitudinal strain to improve the etiologic diagnosis of mild to moderate left ventricular hypertrophy. J Am Soc Echocardiog 2014; 27: 888–95.
- Pagourelias E.D., Mirea O., Duchenne J., Van Cleemput J., Delforge M., Bogaert J., Kuznetsova T., Voigt J.U. Echo parameters for differential diagnosis in cardiac amyloidosis: a head‐to‐head comparison of deformation and nondeformation parameters. Circ Cardiovasc Imaging. 2017; 10: e005588.
- Tang C.X., Petersen S.E., Sanghvi M.M., Lu G.M., Zhang L.J. Cardiovascular magnetic resonance imaging for amyloidosis: The state-of-the-art. Trends Cardiovasc Med. 2019; 29(2):83-94.
- Sinitsyn V.E., Mershina E.A., Larina O.M. The possibilities of magnetic resonance imaging in the diagnosis of cardiomyopathy. Klinicheskaya i eksperimental'naya hirurgiya. Zhurnal imeni akademika B.V. Petrovskogo. 2014; 1: 54–63. (in Russian)
- Patel K.S., Hawkins PN. Cardiac amyloidosis: where are we today? J Intern Med. 2015; 278 (2): 126–44.
- Bhatti S., Watts .E, Syed F., Vallurupalli S., Pandey T., Jambekar K. et al. Clinical and prognostic utility of cardiovascular magnetic resonance imaging in myeloma patients with suspected cardiac amyloidosis. Eur Heart J Cardiovasc Imaging. 2016; 17(9): 970–7.
- Roller F.C., Harth S, Schneider C., Krombach G.A.T1, T2 Mapping and Extracellular Volume Fraction (ECV): Application, Value and Further Perspectives in Myocardial Inflammation and Cardiomyopathies. RoFo. 2015; 187: 760–70.
- Ridouani F., Damy T., Tacher V., Derbel H., Legou F., Sifaoui I.et al. Myocardial native T2 measurement to differentiate light-chain and transthyretin cardiac amyloidosis and assess prognosis. J Cardiovasc Magn Reson. 2018; 20(1): 58. doi: 10.1186/s12968-018-0478-3.
- Yamamoto H., Yokochi T.Transthyretin cardiac amyloidosis: an update on diagnosis and treatment. ESC Heart Fail.2019; 6(6): 1128–39.
- Chang I.C.Y., Arani A., Poigai A.S., Grogan M., Dispenzieri A., Araoz P.A. Feasibility study of cardiac magnetic resonance elastography in cardiac amyloidosis. Amyloid.2017; 24(sup1): 161.
- Can Yang J.C., Fox J., Chen C., Yu A.F. Cardiac ATTR amyloid nuclear imaging—not all bone scintigraphy radionuclide tracers are created equal.J Nucl Cardiol. 2018; 25 (5): 1879–84.
- Picken M.M. Amyloidosis-where are we now and where are we heading? Arch Pathol Lab Med. 2010; 134: 545-51.
- Gillmore J.D., Maurer M.S., Falk R.H., Merlini G., Damy T., Dispenzieri A. et al. Nonbiopsy diagnosis of cardiac transthyretin amyloidosis. Circulation. 2016; 133: 2404–12.
- Dorbala S., Cuddy S., Falk R.H. How to Image Cardiac Amyloidosis: A Practical Approach. JACC Cardiovasc Imaging. 2019 Oct 11. pii: S1936-878X(19) 30713-2. doi: 10.1016/j.jcmg.2019.07.015
- Castano A., Grogan M., Johnson G.B., Dispenzieri A., Ruberg F.L., Berk J.L. et al. Multicenter experience of technetium pyrophosphate scanning for diagnosing TTR cardiac amyloid: a revival in nuclear cardiology. J Card Failure. 2015; 21 (8): S85.
- Hutt D.F., Quigley A.M., Page J., Hall M.L., Burniston M., Gopaul D. et al. Utility and limitations of 3,3-diphosphono-1,2-propanodicarboxylic acid scintigraphy in systemic amyloidosis. Eur Heart J Cardiovasc Imaging.2014; 15: 1289–98.
- Ramsay S.C., Cuscaden C. The current status of quantitative SPECT/CT in the assessment of transthyretin cardiac amyloidosis. J Nucl Cardiol.2019 Nov 5. doi: 10.1007/s12350-019-01935-1.
- Trivieri M.G., Dweck M.R., Abgral R., Robson P.M., Karakatsanis N.A., Lala A. et al.18F-Sodium Fluoride PET/MR for the Assessment of Cardiac Amyloidosis. J Am Coll Cardiol. 2016; 68(24): 2712-4.
- Duston M.A., Skinner M., Shirahama T., Cohen A.S. Diagnosis of amyloidosis by abdominal fat aspiration. Analysis of four years’ experience. Am J Med. 1987; 82(3): 412–4.
- Petruzziello F., Zeppa P., Catalano L., Cozzolino I., Gargiulo G., Musto P. et al. Amyloid in bone marrow smears of patients affected by multiple myeloma. Ann Hematol.2010 May; 89(5): 469–74.
- Foli A., Palladini G., Caporali R., Verga L., Morbini P., Obici L. et al. The role of minor salivary gland biopsy in the diagnosis of systemic amyloidosis: results of a prospective study in 62 patients. Amyloid. 2011; 8(Suppl. 1):80–2.
- Bochtler T., Hegenbart U., Kunz C., Benner A., Seckinger A., Dietrich S. et al. Gain of chromosome 1q21 is an independent adverse prognostic factor in light chain amyloidosis patients treated with melphalan/dexamethasone. Amyloid. 2014; 21: 9–17.
- Bochtler T., Hegenbart U., Kunz C., Granzow M., Benner A., Seckinger A. et al. Translocation t(11;14) is associated with adverse outcome in patients with newly diagnosed AL amyloidosis when treated with bortezomib-based regimens. J Clin Oncol. 2015; 33: 1371–8.
- Vrana J.A., Gamez J.D., Madden B.J., Theis J.D., Bergen H.R. 3rd, Dogan A. Classification of amyloidosis by laser microdissection and mass spectrometry-based proteomic analysis in clinical biopsy specimens. Blood. 2009; 114(24): 4957–9.
- Fernandez de Larrea C., Verga L., Morbini P., Klersy C., Lavatelli F., Foli A. et al. A practical approach to the diagnosis of systemic amyloidoses. Blood. 2015; 125(14): 2239–44.
- Ukholkina G.B., Kuchin G.A., Bychkova O.P., Chikhirev O.A. Cardiac amyloidosis in clinical practice. Serdechnaya nedostatochnost'. 2016; 1: 57-68. (in Russian)
- Rajkumar S.V., Dimopoulos M.A., Palumbo A., Blade J., Merlini G., Mateos M.V. et al. International Myeloma Working Group updated criteria for the diagnosis of multiple myeloma. Lancet Oncol. 2014; 15(12):e538–48.
- Palladini G., Russo P., Bosoni T., Verga L., Sarais G., Lavatelli F. et al. Identification of amyloidogenic light chains requires the combination of serum-free light chain assay with immunofixation of serum and urine. Clin Chem. 2009; 55: 499-504.
- Grogan M., Scott C.G., Kyle R.A., Zeldenrust S.R., Gertz M.A., Lin G. et al. Natural history of wild-type transthyretin cardiac amyloidosis and risk stratification using a novel staging system. J Am Coll Cardiol. 2016; 68: 1014-0.
- Phull P., Sanchorawala V., Connors L.H., Doros G., Ruberg F.L., Berk J.L. et al. Monoclonal gammopathy of undetermined significance in systemic transthyretin amyloidosis (ATTR). Amyloid. 2018: 1-6.
- Comenzo R.L., Zhou P., Fleisher M., Clark B., Teruya-Feldstein J. Seeking confidence in the diagnosis of systemic AL (Ig light-chain) amyloidosis: patients can have both monoclonal gammopathies and hereditary amyloid proteins. Blood. 2006; 107(9): 3489-91.
- Shimazaki C., Hata H., Iida S., Ueda M., Katoh N., Sekijima Y. et al. Nationwide Survey of 741 Patients with Systemic Amyloid Light-chain Amyloidosis in Japan. Intern Med. 2018; 57(2): 181-7.
- Pereira N.L., Grogan M., Dec G.W. Spectrum of Restrictive and Infiltrative Cardiomyopathies. Part 1 of a 2-Part Series. Journal of the American College of Cardiology. 2018; 71(10).
- Nuvolone M., Milani P., Palladini G., Merlini G. Management of the elderly patient with AL amyloidosis. European Journal of Internal Medicine. 2018; 58: 48-56.
- Quock T.P., Yan T., Chang E., Guthrie S., Broder M.S. Epidemiology of AL amyloidosis: a realworld study using US claims data. Blood Adv. 2018; 2(10): 1046-53.
- Rubinow A., Skinner M., Cohen A.S. Digoxin sensitivity in amyloid cardiomyopathy. Circulation. 1981; 63: 1285-8.
- Lin G., Dispenzieri A., Kyle R, Grogan M., Brady P.A. Implantable cardioverter defibrillators in patients with cardiac amyloidosis. J Cardiovasc Electrophysiol. 2013; 24(7): 793-8.
- Siddiqi O.K., Ruberg F.L. Cardiac amyloidosis: An update on pathophysiology, diagnosis, and treatment. Trends Cardiovasc Med. 2018; 28(1): 10-21.
- Sayed R.H., Rogers D., Khan F., Wechalekar A.D., Lachmann H.J, Fontana M. et al. A study of implanted cardiac rhythm recorders in advanced cardiac AL amyloidosis. Eur Heart J. 2015; 36(18): 1098–105.
- Bellavia D., Pellikka P.A., Abraham T.P., Al-Zahrani G.B., Dispenzieri A., Oh J.K. et al. Hypersynchronisation by tissue velocity imaging in patients with cardiac amyloidosis. Heart. 2009; 95: 234-0.
- Caccialanza R., Palladini G., Cereda E., Bonardi C., Milani P., Cameletti B. et al. Nutritional counseling improves quality of life and preserves body weight in systemic immunoglobulin light-chain (AL) amyloidosis. Nutrition.2015; 31: 1228–34.
- Muchtar E., Gertz M.A., Kumar S.K., Lacy M.Q., Dingli D., Buadi F.K. et al. Improved outcomes for newly diagnosed AL amyloidosis between 2000 and 2014: cracking the glass ceiling of early death. Blood. 2017; 129: 2111–9.
- Wechalekar A.D., Gillmore J.D., Bird J., Cavenagh J., Hawkins S., Kazmi M. et al. BCSH Committee. Guidelines on the management of AL amyloidosis. Br J Haematol. 2015; 168(2): 186–206.
- D’Souza A., Dispenzieri A., Wirk B., Zhang M.J., Huang J., Gertz M.A. et al. Improved outcomes after autologous hematopoietic cell transplantation for light chain amyloidosis: A Center for International Blood and Marrow Transplant Research Study. Journal of Clinical Oncology. 2015; 33: 3741-49.
- Milani P., Merlini G., Palladini G. Novel Therapies in Light Chain Amyloidosis. Kidney Int Rep. 2018; 3: 530-41.
- Gertz M.A., Lacy M.Q., Dispenzieri A. Gastineau D.A., Chen M.G., Ansell S.M. et al.Stem cell transplantation for the management of primary systemic amyloidosis. Am. J. Med. 2002; 113: 549-55.
- Comenzo R.L., Gertz M.A.Autologous stem cell transplantation for primary systemic amyloidosis. Blood.2002; 99: 4276-82.
- Sanchorawala V, Sun F, Quillen K, Sloan J.M., Berk J.L., Seldin D.C.Long-term outcome of patients with AL amyloidosis treated with high-dose melphalan and stem cell transplantation: 20-year experience. Blood. 2015;126: 2345-47.
- Palladini G, Merlini G. What is new in diagnosis and management of light chain amyloidosis? Blood. 2016; 128: 159–68.
- Alexander K.M., Singh A., Falk R.H.Novel pharmacotherapies for cardiac amyloidosis. Pharmacol Ther. 2017; 180: 129-38.
- Palladini G., Milani P., Foli A., Obici L., Lavatelli F., Nuvolone M. et al. Oral melphalan and dexamethasone grants extended survival with minimal toxicity in AL amyloidosis: long-term results of a riskadapted approach. Haematologica. 2014; 99: 743-50.
- Kastritis E., Leleu X., Arnulf B., Zamagni E., Cibeira M.T., Kwok F. et al. A randomized phase III trial of melphalan and dexamethasone (MDex) versus bortezomib, melphalan and dexamethasone (BMDex) for untreated patients with AL amyloidosis. Blood. 2016; 128: 646.
- Venner C.P., Gillmore J.D., Sachchithanantham S., Mahmood S., Lane T., Foard D. et al. A matched comparison of cyclophosphamide, bortezomib and dexamethasone (CVD) versus risk-adapted cyclophosphamide, thalidomide and dexamethasone (CTD) in AL amyloidosis. Leukemia. 2014; 28: 2304-10.
- Palladini G., Sachchithanantham S., Milani P. Gillmore J., Foli A., Lachmann H.et al. A European collaborative study of cyclophosphamide, bortezomib, and dexamethasone in upfront treatment of systemic AL amyloidosis. Blood. 2015; 126:.612-5.
- Palladini G., Milani P., Foli A., Basset M., Russo F., Perlini S. et al. Presentation and outcome with second line treatment in AL amyloidosis previously sensitive to nontransplant therapies. Blood.2017; 131: 525-32.
- Kaufman GP, Schrier SL, Lafayette RA, Arai S, Witteles RM, Liedtke M. Daratumumab yields rapid and deep hematologic responses in patients with heavily pretreated AL amyloidosis. Blood. 2017; 130(7): 900–2.
- Leung N., Thome S.D., Dispenzieri A. Venetoclax induced a complete response in a patient with immunoglobulin light chain amyloidosis plateaued on cyclophosphamide, bortezomib and dexamethasone. Haematologica. 2018; 103(3):e135-7.
- Renz M., Torres R., Dolan P.J., Tam S.J., Tapia J.R., Li L.et al. 2A4 binds soluble and insoluble light chain aggregates from AL amyloidosis patients and promotes clearance of amyloid deposits by phagocytosis (y). Amyloid. 2016; 23: 168-77.
- Edwards C.V., Gould J., Langer A.L., Mapara M., Radhakrishnan J., Maurer M.S. et al. Interim analysis of the phase 1a/b study of chimeric fibril-reactive monoclonal antibody 11–1F4 in patients with AL amyloidosis. Amyloid.2017; 24: 58–9.
- Lacy M.Q., Dispenzieri A., Hayman S.R., Kumar S., Kyle R.A., Rajkumar S.V. et al. Autologous stem cell transplant after heart transplant for light chain (AL) amyloid cardiomyopathy. JHeart Lung Transplant.2008; 27(8): 823–9.
- Sekijima Y. Transthyretin (ATTR) amyloidosis: Clinical spectrum, molecular pathogenesis and disease modifying treatments. Journal of Neurology, Neurosurgery, and Psychiatry. 2015; 86: 1036-43.
- Rameev V.V. Modern methods of diagnosis and treatment of transthyretin hereditary amyloidosis. Managepain. 2018; 1: 20–4. (in Russian)
- Maurer M.S., Schwartz J.H., Gundapaneni B., Elliott P.M., Merlini G., Waddington-Cruz M. et al. Tafamidis treatment for patients with transthyretin amyloid cardiomyopathy. The New England Journal of Medicine. 2018; 379: 1007-16.
- Adams D., Suhr O.B., Hund E., Obici L., Tournev I., Campistol J.M. et al. First European consensus for diagnosis, management, and treatment of transthyretin familial amyloid polyneuropathy. Curr Opin Neurol. 2016; 29 (Suppl. 1): S14-S26.
- Berk J.L., Suhr O.B., Obici L., Sekijima Y., Zeldenrust S.R., Yamashita T. et al. Repurposing diflunisal for familial amyloid polyneuropathy: A randomized clinical trial. JAMA. 2013; 310: 2658-67.
- Sekijima Y. Recent progress in the understanding and treatment of transthyretin amyloidosis. J Clin Pharm Ther. 2014; 39 (3): 225-33.
- Adams D., Gonzalez-Duarte A., O’Riordan W.D., Yang C.C., Ueda M., Kristen A.V. et al. Patisiran, an RNAi therapeutic, for hereditary transthyretin amyloidosis. New England Journal of Medicine. 2018; 379: 11-21.
- Ugurlu S., Hacioglu A., Adibnia Y., Hamuryudan V., Ozdogan H. Tocilizumab in the treatment of twelve cases with aa amyloidosis secondary to familial mediterranean fever. Orphanet Journal of Rare Diseases.2017; 12: 105.
- Pepys M.B., Herbert J., Hutchinson W.L., Tennent G.A., Lachmann H.J., Gallimore J.R. et al. Targeted pharmacological depletion of serum amyloid P component for treatment of human amyloidosis. Nature. 2002; 417: 254-59.
- Richards D.B., Cookson L.M., Barton S.V., Liefaard L., Lane T., Hutt D.F. et al. Repeat doses of antibody to serum amyloid P component clear amyloid deposits in patients with systemic amyloidosis. Science Translational Medicine.2018; 10: 3128.
Supplementary files









