Current perspective on the problem of autoimmune gastritis
- Authors: Shcherbachenya N.A.1,2, Vasilenko K.V.1
-
Affiliations:
- Pirogov City Clinical Hospital No. 1
- DocMed Clinic of Evidence-Based Medicine
- Issue: Vol 31, No 1 (2025)
- Pages: 18-29
- Section: Reviews
- Submitted: 12.11.2024
- Accepted: 08.01.2025
- Published: 17.02.2025
- URL: https://medjrf.com/0869-2106/article/view/641732
- DOI: https://doi.org/10.17816/medjrf641732
- ID: 641732
Cite item
Abstract
Currently, there is an increase in the prevalence of autoimmune diseases. In particular, against the background of a decrease in the incidence of Helicobacter pylori associated gastritis, the number of patients with autoimmune gastritis increases. This is an autoimmune disease in which the destruction of the acid-producing gastric mucosa occurs due to the loss of parietal cells with their replacement by atrophic and metaplastic tissue, which leads to impaired absorption of iron, vitamin B12, deficiency states, anemia, neurological disorders and the development of malignant tumors. It is not fully known what triggers aggression. It is assumed that the autoimmune process can occur due to the interaction of genetic and environmental factors. In addition, the relationship between H. pylori and the development of autoimmune gastritis has not been fully studied.
Diagnosis of autoimmune gastritis is based on serological markers, but its leading method is esophagogastroduodenoscopy with biopsy. Several endoscopic signs allow one to suspect autoimmune gastritis: reverse atrophy; the presence of islets of preserved acid-producing mucosa; viscous mucus; protrusions in the body of the stomach, which are currently called "white spheres"; glomus formations, which are a proliferation of enterochromaffin-like cells. Atrophy of the mucous membrane of the body of the stomach is detected in biopsy material; three stages of inflammation of the mucous membrane of the body of the stomach can also be observed. Patients with autoimmune gastritis have an increased risk of developing malignant neoplasms, namely type 1 neuroendocrine tumors and adenocarcinoma. Therefore, regular monitoring is necessary for the early detection of these pathologies. However, the monitoring intervals have not been definitively determined. Most sources indicate the need for gastroscopy once every 1–3 years.
Full Text
BACKGROUND
Currently, there is a decrease in the incidence of infectious diseases accompanied by an increase in autoimmune pathology [1, 2]. Among 22,009,375 individuals included in the study by Conrad et al., 978,872 were newly diagnosed with at least one autoimmune disease between 2000 and 2019, with a mean age of 54 years. Of these, 625,879 (63.9%) were women. Over the study period, age- and sex-standardized incidence rates of all autoimmune diseases increased (incidence rate ratio for 2017–2019 versus 2000–2002: 1.04; 95% confidence interval, 1.00–1.09) [3].
PREVALENCE OF AUTOIMMUNE GASTRITIS
Autoimmune gastritis is classified as an autoimmune disease. Studies conducted by Castellana et al. [4] and Miceli et al. [5] have highlighted a decreasing incidence of Helicobacter pylori-induced gastritis with a concurrent, steady rise in autoimmune gastritis cases. The global prevalence of H. pylori infection decreased from 58.2% in 1980–1990 to 43.1% in 2011–2022 [6]. In Russia, according to the results of the 13C-urea breath test (n=19,875) conducted between 2017 and 2019, the prevalence of this infection ranged from 38.8% to 42.5% [7].
According to the study by Rustgi et al. [8], the prevalence of autoimmune gastritis ranges from 0.3% to 2.7% in the general population. It remains a significant issue due to its impact on iron and vitamin B12 absorption, deficiency states, anemia, neurological disorders, and malignant tumor development [4, 5].
Rustgi et al. define autoimmune gastritis as a condition characterized by the destruction of the acid-producing gastric mucosa due to the loss of parietal cells, which are replaced by atrophic and metaplastic tissue [8].
According to Kamada et al., autoimmune gastritis is more commonly observed in Western countries than in Eastern regions [9]. For instance, its prevalence is 1.9% among individuals over the age of 60 in Western populations [10]. Conversely, it is less common in South America and Asia [11]. In Japan, the prevalence of autoimmune gastritis was 0.89%, compared to approximately 1.1% in Western countries [12]. However, in the study by Park et al., the condition was more frequently detected in Latin Americans (2.7%) than in Europeans, Asians, and African Americans, where the prevalence was around 1.0% [13].
Thus, the prevalence of autoimmune gastritis ranges from 0.1% to 1.0–2.7%, with women being more commonly affected than men at a ratio of 2–3:1 [14]. However, a retrospective analysis of most studies conducted before 2019 revealed that these cohorts often included patients with vitamin B12 deficiency anemia without morphological or serological verification of autoimmune gastritis. In some studies, patient selection was based on elevated antibody titers against parietal cells and intrinsic factor, which are the most sensitive serological markers of this disease [15, 16].
The mean age of patients with autoimmune gastritis is 67 years, ranging from 18 to 94 years. The prevalence increases with age, being more frequently diagnosed in individuals over 60 years [17].
In their research, Kalkan et al. demonstrated an association between autoimmune gastritis and other autoimmune conditions, including autoimmune thyroiditis, type 1 diabetes mellitus, vitiligo, systemic lupus erythematosus, rheumatoid arthritis, and celiac disease [18].
ETIOLOGY OF AUTOIMMUNE GASTRITIS
Although the etiology of the disease remains unclear and the precise trigger of the autoimmune response is still unknown, it is hypothesized that the autoimmune process may arise from an interaction between genetic factors and environmental influences [19].
The major histocompatibility complex is the most polymorphic cluster of genes in the mammalian genome. In humans, this genomic locus is referred to as the human leukocyte antigen (HLA). It primarily encodes proteins whose main function is to present antigens to immune cells to ensure an adequate immune response. However, hundreds of HLA-DRB1 polymorphisms have been associated with various autoimmune diseases. Therefore, Arango et al. reported that the interaction of HLA antigens with foreign antigens plays a role in the pathogenesis of autoimmune gastritis [20].
Parietal cells located in the acid-producing zone of the gastric mucosa secrete hydrochloric acid and intrinsic factor. The production of hydrochloric acid is regulated by the enzyme Na+/K+-ATPase, which is localized on the apical membrane of parietal cells in the gastric body and is activated by G-cells of the antral region. In turn, antral G-cells are activated by gastrin, the levels of which depend on the presence of acid in the antrum. Specifically, low acidity in the antrum triggers gastrin secretion, whereas high acidity suppresses it. Enterochromaffin-like (ECL) cells, also present in the acid-producing zone, stimulate acid secretion via histamine release. Intrinsic factor binds to vitamin B12, which is essential for its absorption in the ileum. Chief cells, located in the fundic mucosa, secrete pepsinogen and gastric lipase.
In autoimmune gastritis, CD4+ T cells target gastric parietal cells, resulting in the loss of these cells as well as chief cells, ultimately causing mucosal atrophy. The destruction of parietal cells leads to achlorhydria, prompting antral G-cells to produce gastrin continuously, resulting in hypergastrinemia [21]. The complete loss of parietal cells disrupts intrinsic factor production, potentially causing pernicious anemia due to impaired vitamin B12 absorption in the ileum. Hypergastrinemia induces ECL cell hyperplasia. Additionally, because hydrochloric acid facilitates inorganic iron absorption, patients with autoimmune gastritis are prone to iron-deficiency anemia [22].
Currently, the connection between H. pylori and autoimmune gastritis remains poorly understood due to contradictory research findings.
In their study, Amedei et al. demonstrated that H. pylori infection may contribute to the development of autoimmune gastritis. It has been shown that H. pylori lipopolysaccharides share several proteins with the gastric mucosa, resulting in molecular mimicry between specific H. pylori antigens and the H+/K+-ATPase. This promotes a cross-reactive response between bacterial antigens and the molecular patterns of the proton pump, which, in turn, stimulates antibody production [23]. De Re et al. proposed a role for genetic factors in the development of autoimmune gastritis and found that individuals with Toll-like receptor polymorphisms have an increased susceptibility to the disease following H. pylori infection [24].
Conversely, Ohana et al. reported that H. pylori may suppress autoimmune gastritis activity in mouse models. The bacterium was shown to inhibit CD4+ Th1 leukocytes, which are central to autoimmune gastritis pathogenesis. It was found that H. pylori activates Th2 cells that subsequently inhibit parietal cell-targeting Th1 cells [25].
Thus, despite the high incidence of H. pylori-associated gastritis in Japan, the prevalence of autoimmune gastritis remains very low, indirectly supporting the hypothesis that H. pylori may reduce the risk of autoimmune gastritis. Nishizawa et al. corroborated these findings by demonstrating that autoimmune gastritis often develops after H. pylori eradication [26].
The most common comorbidities associated with autoimmune gastritis include chronic thyroiditis with thyroglobulin antibodies (47.2%), hyperthyroidism, and other thyroid gland pathologies (21.8%). Autoimmune conditions are diagnosed in 30.9% of patients with autoimmune gastritis [27].
Retrospective cohort studies conducted by Chan et al. [28] and De Block et al. [29] revealed that autoimmune thyroiditis was present in 36.0–44.0% of patients with autoimmune gastritis. Additionally, these authors identified a 3–5-fold increased risk of autoimmune gastritis in patients with type 1 diabetes mellitus.
CLINICAL MANIFESTATIONS OF AUTOIMMUNE GASTRITIS
Autoimmune gastritis is generally considered asymptomatic; however, in most patients in the study [30], symptoms were present at the time of presentation, primarily dyspeptic symptoms and gastroesophageal reflux symptoms.
In a study by Carabotti et al., analyzing 379 patients with autoimmune gastritis, 57% of patients reported dyspeptic symptoms [31]. Iwai et al. [32] and Kalkan et al. [33] hypothesized that the pathogenesis of dyspepsia is associated with reduced gastric acidity and increased gastrin secretion, which may slow gastric emptying and manifest as postprandial distress syndrome.
Tenca et al. reported that some patients experienced heartburn; however, esophageal pH impedance monitoring did not reveal pathological acid reflux, with a mean daily pH of 6.2. The authors suggested that heartburn symptoms might be caused by alkaline reflux or have a functional origin [34].
Shipton et al. reported that many patients with autoimmune gastritis have vitamin B12-deficiency anemia. They demonstrated that this condition is caused by impaired cobalamin absorption in the ileum, as vitamin B12 cannot be transported or absorbed without intrinsic factor, which is produced by gastric parietal cells, and its concentration becomes significantly reduced due to mucosal atrophy. Cobalamin acts as a coenzyme in fatty acid metabolism. Its deficiency slows these metabolic reactions, potentially leading to nerve demyelination and the development of peripheral neuropathy [35]. In many patients, hypo- and achlorhydria are often accompanied by iron-deficiency anemia, which results from the inability to reduce iron from its ferric form (Fe3+) to the absorbable ferrous form (Fe2+) [36].
DIAGNOSIS OF AUTOIMMUNE GASTRITIS
The diagnosis of autoimmune gastritis is based on serological markers, such as antibodies to parietal cells and intrinsic factor, as well as endoscopic examination and histological evaluation of gastric mucosal biopsies [37]. Kamada et al. reported that the sensitivity and specificity of serological testing for parietal cell antibodies are 81% and 90%, respectively, whereas the sensitivity and specificity for intrinsic factor antibodies are 27% and 100%. The negative predictive value for these antibodies is 99%, indicating that only a small number of patients with autoimmune gastritis lack these antibodies. In contrast, some patients with positive antibodies may not have autoimmune gastritis, as the positive predictive value of serological markers is only 20% [9].
Huang et al. [38] and Zagari et al. [39] used serum gastropanel testing as a screening method for autoimmune gastritis. This test evaluates pepsinogens I and II and gastrin-17. Pepsinogen I is produced by chief and neck cells of the fundic glands, whereas pepsinogen II is synthesized in both the fundic and antral gastric mucosa and in Brunner glands of the duodenum. Gastrin-17 is secreted by antral G cells. Accordingly, low serum pepsinogen concentrations and a reduced pepsinogen I/pepsinogen II ratio indicate gastric body atrophy, with a sensitivity of 69% and specificity of 88%.
Additionally, elevated serum gastrin levels may suggest autoimmune gastritis due to atrophy of the acid-producing gastric mucosa [27, 39].
Esophagogastroduodenoscopy with biopsy is the primary method for diagnosing autoimmune gastritis. Reports from the late 19th and early 20th centuries described gastric body atrophy in patients with pernicious anemia. In 85% of these cases, atrophic changes were more pronounced in the gastric body (Fig. 1) [40].
Fig. 1. Diffuse atrophy of the gastric body mucosa when examined in inversion (a) and direct projection (b). © Eco-Vector, 2025.
However, according to Kishino et al., autoimmune gastritis was missed in 49% of cases during endoscopic examinations [12].
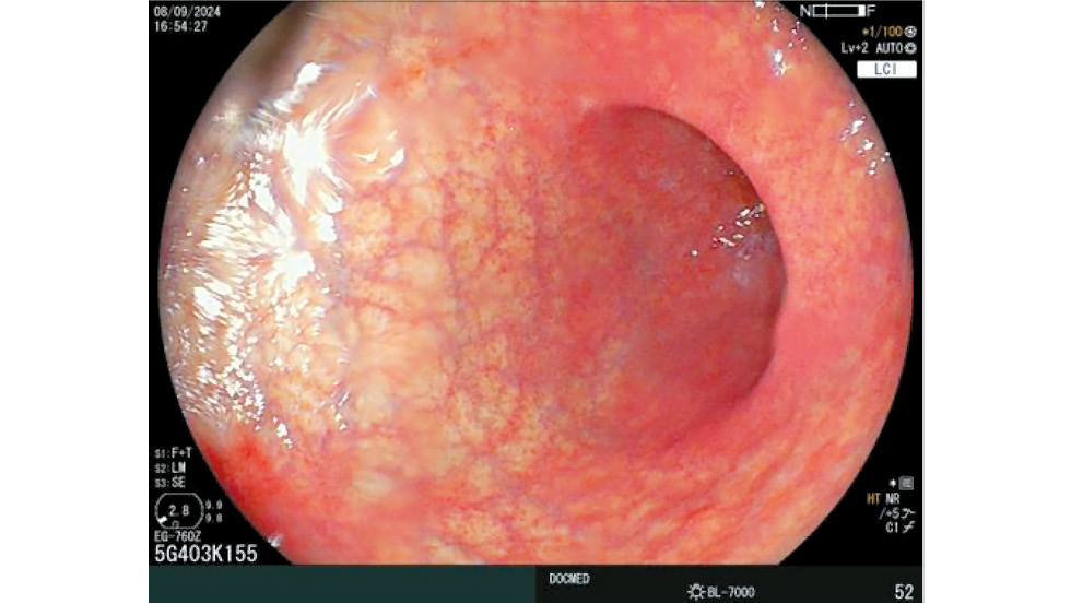
A well-known endoscopic feature of autoimmune gastritis is the reverse atrophy sign, which serves as a key indicator of the disease. In a multicenter study by Krasinskas et al., this sign was detected in 90.1% of patients in Japan [41]. Other endoscopic findings commonly observed in autoimmune gastritis are illustrated in Fig. 2.
Fig. 2. Endoscopic view of “reverse” atrophy. Atrophic changes mucosa of the body of the stomach with preserved mucosa of the antral section. © Eco-Vector, 2025.
A characteristic feature of autoimmune gastritis is the presence of patches of preserved acid-producing mucosa [41]. Terao et al. described this phenomenon as pseudopolyps against the background of diffuse gastric body atrophy, observed in 31.5% of cases (Fig. 3) [27].
Fig. 3. Endoscopic view of preserved acid-producing areas of the gastric body mucosa. © Eco-Vector, 2025.
Achlorhydria may lead to the overgrowth of non-H. pylori urease-producing bacteria, resulting in false-positive 13C-urea breath test results for H. pylori in 32.4% of cases and, consequently, unnecessary repeat eradication therapy [27]. Furuta et al. demonstrated that the presence of these bacteria on the gastric mucosa is characterized by a thick mucus layer that is difficult to remove with a water-jet pump, which is attributed to the metabolic activity of non-H. pylori urease-producing bacteria in the achlorhydric environment (Fig. 4) [42].
Fig. 4. Viscous secretion on the surface of mucosa in autoimmune gastritis. © Eco-Vector, 2025.
Doyama et al. described the appearance of white spherical structures and glomus-like formations when the gastric body was examined with optical magnification. White spheres, initially identified at the margin of differentiated gastric cancers, represent necrosis and apoptosis of neoplastic cells in dilated fundic glands. In autoimmune gastritis, white spheres were initially described as small whitish protrusions. However, due to the similar endoscopic appearance of these protrusions in cancer and autoimmune gastritis, both findings are now collectively referred to as white spheres (Fig. 5) [43]. The spheres are detected in 32% of cases. Iwamuro et al. examined the morphological substrate of these white spheres and demonstrated that they arise from the blockage of fundic glands by neutrophils, mucus, and necrotic parietal cells [44]. Glomus-like formations in the gastric body result from enterochromaffin-like (ECL) cell hyperplasia. These formations were first described by Drapkina et al. (Fig. 6) [45].
Fig. 5. White globe appearance on the surface of mucosa in white light (a) and in narrow-band mode (b). © Eco-Vector, 2025.
Fig. 6. Glomus-like lesions of the stomach (a), glomus-like lesions with white globe appearance and areas of foveolar hyperplasia (b). © Eco-Vector, 2025.
According to Greenson et al. [46] and Itsuno et al. [47], glomus-like structures larger than 0.5 mm are considered neoplastic changes.
Maruyama et al. identified another endoscopic finding, characterized by visualization of a capillary network without the central opening of fundic glands. This finding was diagnosed in 59% of cases in patients with autoimmune gastritis [48]. The symptom was named the discarded skin sign (Fig. 7) [9].
Fig. 7. Picture of “cast-of skin appearance” — reticular capillary network without gland openings. © Eco-Vector, 2025.
Endoscopic examination of the gastric antrum may also reveal specific changes, including patchy erythema (22.1%), circular ridging (22.1%), a red streak (10.4%), and elevated erosions (3.6%) (Fig. 8). However, in 40% of cases, the gastric antrum remains unaffected [27].
Fig. 8. “Circular wrinkled pattern” in the antral part of the stomach. © Eco-Vector, 2025.
Hyperplastic polyps are common in autoimmune gastritis [17]. Arai et al. found a higher incidence of gastric cancer in patients with autoimmune gastritis and hyperplastic polyps [49]. Similarly, Zhang et al. reported that cancer risk increases in the presence of large or multiple hyperplastic polyps [50]. The prevalence of hyperplastic polyps in autoimmune gastritis is 21.2% (Fig. 9) [27].
Fig. 9. Multiple hyperplastic polyps of the gastric body in autoimmune gastritis. © Eco-Vector, 2025.
In addition to thorough endoscopic examination, histopathologic examination of biopsy material is an important diagnostic method. Dixon et al. recommend performing biopsies according to the modified Sydney protocol using the OLGA/OLGIM staging systems. The modified Sydney protocol includes obtaining two biopsy samples from the antrum, one sample from the angular incisure, and two samples from the gastric body along the lesser and greater curvatures. This protocol differs from the original Sydney system, which required only two biopsies from the antrum and two from the body [51].
The updated MAPS II guidelines suggest that angular incisure biopsy marginally improves diagnostic accuracy but significantly increases costs [52].
Zhou et al. noted in their study that, despite conflicting data and ongoing debate, the Sydney protocol with OLGA/OLGIM staging systems was developed to assess cancer risk in patients with atrophic gastritis resulting from H. pylori infection. Given that atrophy predominantly develops in the gastric body with relative preservation of the antrum in autoimmune gastritis, stage II OLGA is observed in 70–80% of cases, which does not require dynamic monitoring [53].
Histological examination of the gastric mucosa is the most reliable method for diagnosing autoimmune gastritis. Histological findings in autoimmune gastritis include gastric body mucosal atrophy and inflammation with three distinct stages. Early stages feature lamina propria infiltration with CD4+ T lymphocytes, parietal cell hypertrophy, and pseudopyloric metaplasia.
Advanced stages of autoimmune gastritis are characterized by lymphoplasmacytic infiltration, ECL cell hyperplasia, and moderate to severe nonmetaplastic and metaplastic atrophy of the gastric body mucosa. The antrum typically exhibits mild atrophic changes with possible G-cell hyperplasia [54].
RISK OF MALIGNANCIES IN AUTOIMMUNE GASTRITIS
Patients with autoimmune gastritis are at increased risk of developing malignant neoplasms, primarily type 1 neuroendocrine tumors (NETs) and adenocarcinoma.
Type 1 NETs originate from ECL cells (Fig. 10). The loss of parietal cells results in achlorhydria, which leads to increased gastrin secretion by antral G cells. Hypergastrinemia stimulates histamine production by ECL cells, causing their hyperplasia. Dysplasia may subsequently develop within hyperplastic ECL cells, with potential progression to NETs [55]. According to Dilaghi et al., the annual risk of developing NETs and gastric cancer in patients with autoimmune gastritis is 2.8% and 0.5%, respectively [56].
Fig. 10. Neuroendocrine tumors of the stomach in LCI (linked color imaging) mode (a, c) and in BLI (blue laser imaging) mode (b). © Eco-Vector, 2025.
However, reported prevalence rates of NETs vary. A systematic review [57] described prevalence rates ranging from 5.2% to 11%.
In a study conducted in the United States, NETs were detected in 9.97% of patients with autoimmune gastritis [13], whereas Chinese researchers reported a prevalence of 4.37% [17]. These findings are consistent with the results of Rugge et al. [58] and Miceli et al. [59], who reported NET prevalence rates of 4.7% and 4.8%, respectively.
Although NETs are malignant tumors, they generally have a favorable prognosis. Shah et al. demonstrated that the risk of metastasis for tumors ≤2 cm is less than 10% [60].
The risk of gastric adenocarcinoma in patients with autoimmune gastritis remains controversial. Miceli et al. reported that the risk of gastric adenocarcinoma in autoimmune gastritis is nearly absent [59]. The authors attributed this to the fact that metaplastic atrophy in autoimmune gastritis is predominantly represented by pseudopyloric and complete intestinal metaplasia, which slightly increases cancer risk compared with incomplete intestinal metaplasia, which is more characteristic of H. pylori-induced atrophic gastritis. This is confirmed by a study that assessed the risk of gastric adenocarcinoma in autoimmune gastritis in patients without concomitant H. pylori infection, with a median follow-up of 52 months. During the observation of 498 patients, no cases of gastric adenocarcinoma were recorded during this period [59]. Similarly, in a cohort study by Rugge et al. that followed patients with autoimmune gastritis for 7.5 years in the absence of H. pylori infection, no cases of gastric adenocarcinoma were recorded [58]. Currently, the prevailing view is that the risk of gastric adenocarcinoma increases only when autoimmune gastritis occurs concurrently with H. pylori gastritis [16].
FREQUENCY OF MONITORING IN PATIENTS WITH AUTOIMMUNE GASTRITIS
The optimal monitoring interval for patients with autoimmune gastritis remains undefined, necessitating an individualized approach to determine the frequency of follow-up [60]. For instance, the European Society of Gastrointestinal Endoscopy recommends an interval of 3–5 years. However, the guidelines emphasize that the optimal frequency of endoscopic monitoring should be based on an individual risk assessment and a shared decision-making process [52].
At the same time, Russian guidelines for gastritis and duodenitis recommend performing esophagogastroduodenoscopy every 1–2 years in patients with autoimmune gastritis [61].
CONCLUSION
The incidence of autoimmune gastritis continues to rise steadily. However, the exact cause of the disease and the role of H. pylori infection in its pathogenesis remain uncertain. Currently, various diagnostic methods for autoimmune gastritis exist, including serological, endoscopic, and morphological approaches. Despite endoscopic examination with biopsy being one of the primary diagnostic methods, there is no consensus regarding the biopsy protocol for patients with autoimmune gastritis. Given the increased risk of developing neuroendocrine tumors, patients with autoimmune gastritis require regular endoscopic monitoring. However, the intervals for such monitoring are not yet clearly defined. Considering the above, we believe that autoimmune gastritis remains a relevant clinical issue that warrants further research to clarify its etiology and pathogenesis, improve diagnostic methods, and establish optimal monitoring frequencies.
ADDITIONAL INFORMATION
Funding source. None.
Disclosure of interest. The authors declare that they have no relationships, activities or interests (personal, professional or financial) with third parties (commercial, non-commercial, private) whose interests may be affected by the content of the article, as well as no other relationships, activities or interests over the past three years that must be reported.
Authors’ contribution. N.A. Shcherbachenya — ideas; formulation or evolution of overarching research goals and aims, literature review, collection and analysis of literary sources, preparation and writing of the article, preparation, creation and/or presentation of the published work; K.V. Vasilenko — supervision, literature review, collection and analysis of literary sources, writing of the text and editing of the article. Thereby, all authors provided approval of the version to be published and agree to be accountable for all aspects of the work in ensuring that questions related to the accuracy or integrity of any part of the work are appropriately investigated and resolved.
Informed consent. Written consent was obtained from the patients for publication of relevant medical information and all of accompanying images within the manuscript in the Russian Medicine.
About the authors
Nikita A. Shcherbachenya
Pirogov City Clinical Hospital No. 1; DocMed Clinic of Evidence-Based Medicine
Author for correspondence.
Email: endoscopy1995@mail.ru
ORCID iD: 0009-0001-7414-3819
Russian Federation, Moscow; Moscow
Konstantin V. Vasilenko
Pirogov City Clinical Hospital No. 1
Email: kostikva1980@gmail.com
ORCID iD: 0000-0001-6669-7419
MD, Cand. Sci. (Medicine)
Russian Federation, MoscowReferences
- Baker RE, Mahmud AS, Miller IF, et al. Infectious disease in an era of global change. Nat Rev Microbiol. 2022;20(4):193–205. doi: 10.1038/s41579-021-00639-z EDN: RPHUQI
- Vojdani A. A potential link between environmental triggers and autoimmunity. Autoimmune Dis. 2014;2014:437231. doi: 10.1155/2014/437231 EDN: PNQNAT
- Conrad N, Misra S, Verbakel JY, et al. Incidence, prevalence, and co-occurrence of autoimmune disorders over time and by age, sex, and socioeconomic status: a population-based cohort study of 22 million individuals in the UK. Lancet. 2023;401(10391):1878–1890. doi: 10.1016/S0140-6736(23)00457-9 EDN: ZSASGO
- Castellana C, Eusebi LH, Dajti E, et al. Autoimmune atrophic gastritis: a clinical review. Cancers (Basel). 2024;16(7):1310. doi: 10.3390/cancers16071310 EDN: AQAHOJ
- Miceli E, Lenti MV, Padula D, et al. Common features of patients with autoimmune atrophic gastritis. Clin Gastroenterol Hepatol. 2012;10(7):812–814. doi: 10.1016/j.cgh.2012.02.018
- Li Y, Choi H, Leung K, et al. Global prevalence of Helicobacter pylori infection between 1980 and 2022: a systematic review and meta-analysis. Lancet Gastroenterol Hepatol. 2023;8(6):553–564. doi: 10.1016/S2468-1253(23)00070-5 EDN: TLYPOS
- Bordin D, Morozov S, Plavnik R, et al. Helicobacter pylori infection prevalence in ambulatory settings in 2017–2019 in Russia: The data of real-world national multicenter trial. Helicobacter. 2022;27(5):e12924. doi: 10.1111/hel.12924 EDN: KWJQSN
- Rustgi SD, Bijlani P, Shah SC. Autoimmune gastritis, with or without pernicious anemia: epidemiology, risk factors, and clinical management. Therap Adv Gastroenterol. 2021;14:17562848211038771. doi: 10.1177/17562848211038771 EDN: NHBIQL
- Kamada T, Maruyama Y, Monobe Y, Haruma K. Endoscopic features and clinical importance of autoimmune gastritis. Dig Endosc. 2022;34(4):700–713. doi: 10.1111/den.14175 EDN: NIPCPE
- Carmel R. Prevalence of undiagnosed pernicious anemia in the elderly. Arch Intern Med. 1996;156(10):1097–100. doi: 10.3748/wjg.15.5121
- Babior BM, Williams WJ. Erythrocyte disorders: anemias related to disturbance of DNA synthesis (megaloblastic anemias). Hematology. 1990;4:453–481.
- Kishino M, Nonaka K. Endoscopic features of autoimmune gastritis: focus on typical images and early images. J Clin Med. 2022;11(12):3523. doi: 10.3390/jcm11123523 EDN: APWFWO
- Park JY, Cornish TC, Lam-Himlin D, et al. Gastric lesions in patients with autoimmune metaplastic atrophic gastritis (AMAG) in a tertiary care setting. Am J Surg Pathol. 2010;34(11):1591–1598. doi: 10.1097/PAS.0b013e3181f623af
- Lahner E, Dilaghi E, Cingolani S, et al. Gender-sex differences in autoimmune atrophic gastritis. Transl Res. 2022;248:1–10. doi: 10.1016/j.trsl.2022.04.006 EDN: VKZAEK
- Miceli E, Vanoli A, Lenti MV, et al. Natural history of autoimmune atrophic gastritis: a prospective, single centre, long-term experience. Aliment Pharmacol Ther. 2019;50(11-12):1172–1180. doi: 10.1111/apt.15540
- Rugge M, Genta RM, Malfertheiner P, et al. RE.GA.IN.: the Real-world Gastritis Initiative-updating the updates. Gut. 2024;73(3):407–441. doi: 10.1136/gutjnl-2023-331164 EDN: RZCUAX
- Zhang H, Jin Z, Cui R, et al. Autoimmune metaplastic atrophic gastritis in chinese: a study of 320 patients at a large tertiary medical center. Scand J Gastroenterol. 2017;52(2):150–156. doi: 10.1080/00365521.2016.1236397
- Kalkan Ç, Soykan I. Polyautoimmunity in autoimmune gastritis. Eur J Intern Med. 2016;31:79–83. doi: 10.1016/j.ejim.2016.03.025
- Lenti MV, Miceli E, Cococcia S, et al. Determinants of diagnostic delay in autoimmune atrophic gastritis. Aliment Pharmacol Ther. 2019;50(2):167–175. doi: 10.1111/apt.15317
- Arango MT, Perricone C, Kivity S, et al. HLA-DRB1 the notorious gene in the mosaic of autoimmunity. Immunol Res. 2017;65(1):82–98. doi: 10.1007/s12026-016-8817-7 EDN: UAZHIU
- Lash R, Lauwers G, Odze R, et al. Inflammatory disorders of the stomach. In: Surgical pathology of the GI tract, liver, biliary tract, and pancreas. 2009. P. 293–295. doi: 10.1016/B978-141604059-0.50015-1 EDN: YWKBOD
- Kulnigg-Dabsch S. Autoimmune gastritis. Autoimmungastritis. Wien Med Wochenschr. 2016;166(13-14):424–430. doi: 10.1007/s10354-016-0515-5 EDN: SGXQPO
- Amedei A, Bergman MP, Appelmelk BJ, et al. Molecular mimicry between Helicobacter pylori antigens and H+, K+ — adenosine triphosphatase in human gastric autoimmunity. J Exp Med. 2003;198(8):1147–1156. doi: 10.1084/jem.20030530
- De Re V, Repetto O, De Zorzi M, et al. Polymorphism in toll-like receptors and Helicobacter Pylori Motility in autoimmune atrophic gastritis and gastric cancer. Cancers (Basel). 2019;11(5):648. doi: 10.3390/cancers11050648
- Ohana M, Okazaki K, Oshima C, et al. Inhibitory effects of Helicobacter pylori infection on murine autoimmune gastritis. Gut. 2003;52(8):1102–1110. doi: 10.1136/gut.52.8.1102
- Nishizawa T, Yoshida S, Watanabe H, et al. Clue of diagnosis for autoimmune gastritis. Digestion. 2021;102(6):903–910. doi: 10.1159/000516624 EDN: EWIDIW
- Terao S, Suzuki S, Yaita H, et al. Multicenter study of autoimmune gastritis in Japan: Clinical and endoscopic characteristics. Dig Endosc. 2020;32(3):364–372. doi: 10.1111/den.13500
- Chan JC, Liu HS, Kho BC, et al. Pattern of thyroid autoimmunity in chinese patients with pernicious anemia. Am J Med Sci. 2009;337(6):432–437. doi: 10.1097/MAJ.0b013e31819c0ecf
- De Block CE, De Leeuw IH, Van Gaal LF. Autoimmune gastritis in type 1 diabetes: a clinically oriented review. J Clin Endocrinol Metab. 2008;93(2):363–371. doi: 10.1210/jc.2007-2134
- Singh S, Chakole S, Agrawal S, et al. A comprehensive review of upper gastrointestinal symptom management in autoimmune gastritis: current insights and future directions. Cureus. 2023;15(8):e43418. doi: 10.7759/cureus.43418
- Carabotti M, Lahner E, Esposito G, et al. Upper gastrointestinal symptoms in autoimmune gastritis: A cross-sectional study. Medicine (Baltimore). 2017;96(1):e5784. doi: 10.1097/MD.0000000000005784
- Iwai W, Abe Y, Iijima K, et al. Gastric hypochlorhydria is associated with an exacerbation of dyspeptic symptoms in female patients. J Gastroenterol. 2013;48(2):214–221. doi: 10.1007/s00535-012-0634-8 EDN: JVKNBE
- Kalkan Ç, Soykan I, Soydal Ç, et al. Assessment of gastric emptying in patients with autoimmune gastritis. Dig Dis Sci. 2016;61(6):1597–1602. doi: 10.1007/s10620-015-4021-1 EDN: CGWBED
- Tenca A, Massironi S, Pugliese D, et al. Gastro-esophageal reflux and antisecretory drugs use among patients with chronic autoimmune atrophic gastritis: a study with pH-impedance monitoring. Neurogas-troenterol Motil. 2016;28(2):274–280. doi: 10.1111/nmo.12723
- Shipton MJ, Thachil J. Vitamin B12 deficiency — A 21st century perspective. Clin Med (Lond). 2015;15(2):145–150. doi: 10.7861/clinmedicine.15-2-145
- Conti L, Annibale B, Lahner E. Autoimmune gastritis and gastric microbiota. Microorganisms. 2020;8(11):1827. doi: 10.3390/microorganisms8111827 EDN: DLEEIZ
- Kriķe P, Appel MS, Shums Z, et al. Autoimmune gastritis serological biomarkers in gastric cancer patients. Eur J Cancer Prev. 2024;33(1):29–36. doi: 10.1097/CEJ.0000000000000826 EDN: YWLVHC
- Huang YK, Yu JC, Kang WM, et al. Significance of serum pepsinogens as a biomarker for gastric cancer and atrophic gastritis screening: a systematic review and meta-analysis. PLoS One. 2015;10(11):e0142080. doi: 10.1371/journal.pone.0142080 EDN: WTBGMJ
- Zagari RM, Rabitti S, Greenwood DC, et al. Systematic review with meta-analysis: diagnostic performance of the combination of pepsinogen, gastrin-17 and anti-Helicobacter pylori antibodies serum assays for the diagnosis of atrophic gastritis. Aliment Pharmacol Ther. 2017;46(7):657–667. doi: 10.1111/apt.14248 EDN: YFQBWK
- Kurokawa K, Maruyama M. Study of the gastric mucosal atrophic pattern and the complication of gastric cancer in pernicious anemia patiens and their family members. Gastroenterological Endoscopy. 1981;23(1):66–77. doi: 10.11280/gee1973b.23.66
- Krasinskas AM, Abraham SC, Metz DC, Furth EE. Oxyntic mucosa pseudopolyps: a presentation of atrophic autoimmune gastritis. Am J Surg Pathol. 2003;27(2):236–241. doi: 10.1097/00000478-200302000-00013
- Furuta T, Baba S, Yamade M, et al. High incidence of autoimmune gastritis in patients misdiagnosed with two or more failures of H. pylori eradication. Aliment Pharmacol Ther. 2018;48(3):370–377. doi: 10.1111/apt.14849
- Doyama H, Yoshida N, Tsuyama S, et al. The "white globe appearance" (WGA): a novel marker for a correct diagnosis of early gastric cancer by magnifying endoscopy with narrow-band imaging (M-NBI). Endosc Int Open. 2015;3(2):E120–E124. doi: 10.1055/s-0034-1391026
- Iwamuro M, Tanaka T, Kanzaki H, et al. Two cases of white globe appearance in autoimmune atrophic gastritis. Case Rep Gastrointest Med. 2018;2018:7091520. doi: 10.1155/2018/7091520
- Drapkina OM, Kashin SV, Kuvaev RO, et al. Modern algorithm of diagnostics and management of patients with chronic atrophic gastritis and intestinal metaplasia of the stomach. Russian Journal of Preventive Medicine and Public Health. 2023;26(1):7–10. doi: 10.17116/profmed2023260117 EDN: KURNXC
- Greenson JK, Lauwers GY, Montgomery EA, et al. Diagnostic pathology: gastrointestinal. 3rd ed. Amsterdam: Elsevier; 2019. P. 140v143. doi: 10.3390/gidisord1010011
- Itsuno M, Watanabe H, Iwafuchi M, et al. Multiple carcinoids and endocrine cell micronests in type A gastritis. Their morphology, histogenesis, and natural history. Cancer. 1989;63(5):881–890. doi: 10.1002/1097-0142(19890301)63:5<881::aid-cncr2820630515>3.0.co;2-k
- Maruyama Y, Yoshii S, Kageoka M. Features of magnifying endoscopic findings in type A gastritis. Stomach and Intestine. 2018;53:1516–1521.
- Arai J, Niikura R, Hayakawa Y, et al. Clinicopathological features of gastric cancer with autoimmune gastritis. Biomedicines. 2022;10(4):884. doi: 10.3390/biomedicines10040884
- Zhang H, Nie X, Song Z, et al. Hyperplastic polyps arising in autoimmune metaplastic atrophic gastritis patients: is this a distinct clinicopathological entity? Scand J Gastroenterol. 2018;53(10-11):1186–1193. doi: 10.1080/00365521.2018.1514420
- Dixon MF, Genta RM, Yardley JH, Correa P. Classification and grading of gastritis. The updated Sydney System. International Workshop on the Histopathology of Gastritis, Houston 1994. Am J Surg Pathol. 1996;20(10):1161–1181. doi: 10.1097/00000478-199610000-00001
- Pimentel-Nunes P, Libânio D, Marcos-Pinto R, et al. Management of epithelial precancerous conditions and lesions in the stomach (MAPS II): European Society of Gastrointestinal Endoscopy (ESGE), Euro-pean Helicobacter and Microbiota Study Group (EHMSG), European Society of Pathology (ESP), and Sociedade Portuguesa de Endoscopia Digestiva (SPED) guideline update 2019. Endoscopy. 2019;51(4):365–388. doi: 10.1055/a-0859-1883 EDN: KTPOEN
- Zhou Y, Li HY, Zhang JJ, et al. Operative link on gastritis assessment stage is an appropriate predictor of early gastric cancer. World J Gastroenterol. 2016;22(13):3670–3678. doi: 10.3748/wjg.v22.i13.3670
- Hall SN, Appelman HD. Autoimmune gastritis. Arch Pathol Lab Med. 2019;143(11):1327–1331. doi: 10.5858/arpa.2019-0345-RA
- Nehme F, Rowe K, Palko W, et al. Autoimmune metaplastic atrophic gastritis and association with neuroendocrine tumors of the stomach. Clin J Gastroenterol. 2020;13(3):299–307. doi: 10.1007/s12328-019-01074-7 EDN: AVNFRJ
- Dilaghi E, Dottori L, Pivetta G, et al. Incidence and predictors of gastric neoplastic lesions in corpus-restricted atrophic gastritis: a single-center cohort study. Am J Gastroenterol. 2023;118(12):2157–2165. doi: 10.14309/ajg.0000000000002327 EDN: KLTBGR
- Boyce M, Thomsen L. Gastric neuroendocrine tumors: prevalence in Europe, USA, and Japan, and rationale for treatment with a gastrin/CCK2 receptor antagonist. Scand J Gastroenterol. 2015;50(5):550–559. doi: 10.3109/00365521.2015.1009941
- Rugge M, Bricca L, Guzzinati S, et al. Autoimmune gastritis: long-term natural history in naïve Helicobacter pylori-negative patients. Gut. 2023;72(1):30–38. doi: 10.1136/gutjnl-2022-327827 EDN: EKWJPK
- Miceli E, Lenti MV, Gentile A, et al. Long-term natural history of autoimmune gastritis: results from a prospective monocentric series. Am J Gastroenterol. 2024;119(5):837–845. doi: 10.14309/ajg.0000000000002619 EDN: ADSLNP
- Shah SC, Piazuelo MB, Kuipers EJ, Li D. AGA clinical practice update on the diagnosis and management of atrophic gastritis: expert review. Gastroenterology. 2021;161(4):1325–1332.e7. doi: 10.1053/j.gastro.2021.06.078 EDN: JWYTUB
- Ivashkin VT, Maev IV, Lapina TL, et al. Clinical recommendations of Russian Gastroenterological Association and RENDO Endoscopic Society on diagnosis and treatment of gastritis and duodenitis. Rossijskij zhurnal gastrojenterologii, gepatologii, koloproktologii. 2021;31(4):70–99. doi: 10.22416/1382-4376-2021-31-4-70-99 EDN: CTXEBF
Supplementary files













