Ilizarov method in the treatment of a child with severe congenital fibular hemimelia
- Authors: Imomov S.A.1, Leonchuk S.S.1, Vorobyeva A.N.1
- 
							Affiliations: 
							- National Medical Research Centre for Traumatology and Orthopedics named after academician G.A. Ilizarov
 
- Issue: Vol 31, No 3 (2025)
- Pages: 307-315
- Section: Case reports
- Submitted: 05.12.2024
- Accepted: 30.01.2025
- Published: 11.06.2025
- URL: https://medjrf.com/0869-2106/article/view/642567
- DOI: https://doi.org/10.17816/medjrf642567
- EDN: https://elibrary.ru/AIOUVN
- ID: 642567
Cite item
Abstract
Introduction: The treatment of patients with severe (aplasia) congenital fibular hemimelia (CFH) remains a major clinical challenge. In many cases, these patients are offered amputation or receive no medical attention at all. This article aims to demonstrate the effectiveness of our approach using the Ilizarov method in patients with CFH, based on clinical and radiographic findings as well as contemporary scoring systems and questionnaires.
Clinical case description: An analysis was conducted of the treatment of a child with severe CFH (fibular aplasia), considering clinical and radiological data along with modern assessment criteria and scoring systems. Due to a 10 cm shortening of the affected limb, the child’s family was offered only amputation by local specialists. We performed bifocal lengthening and deformity correction of the right lower leg and foot using the Ilizarov apparatus. The evaluation criteria for the tibial lengthening stage included the external fixation index, the amount of lengthening (cm, %), the results according to the Lascombes classification, and the scoring system of the Association for the Study and Application of the Method of Ilizarov. Ambulatory function was assessed using the Gillette questionnaire. Functional outcome was also evaluated according to the Association for the Study and Application of the Method of Ilizarov score. This method enabled safe and reliable lengthening, reconstruction, and preservation of the affected limb as an alternative to amputation. Long-term follow-up confirmed the stability of the treatment outcome.
Conclusion: The outcome of treating a child with severe CFH demonstrated the high effectiveness of our approach, which should be considered a treatment option in similar cases.
Full Text
Introduction
According to data from colleagues at the H. Turner National Medical Research Center for Children’s Orthopedics and Trauma Surgery, the incidence of congenital musculoskeletal anomalies in Saint Petersburg was 2.7 cases per 1000 live births [1]. Fibular hemimelia is a congenital condition characterized by partial or complete absence of the fibula. Congenital fibular hemimelia (CFH) occurs in approximately 1 in 50,000 newborns [2]. The etiology of this developmental anomaly remains unknown. The condition manifests as valgus deformity and instability of the knee joint, shortening and deformity of the tibia, tarsal coalition, and hypoplasia and deformity of the foot and ankle joint [3, 4]. In this anomaly, the cruciate ligaments may be hypoplastic or aplastic, leading to anterior and posterior instability of the knee joint [5]. It is important to note that in addition to a range of orthopedic abnormalities, patients with this condition often present with neuropsychiatric disorders [6], and their parents face significant financial burdens. In the mid-20th century, Ilizarov developed a method and proprietary apparatus for surgical limb lengthening and deformity correction, which has proven effective in addressing complex limb orthopedic challenges [7–10].
Currently, the surgical treatment of children with CFH remains a significant challenge. Children with this congenital condition often undergo multistage surgical treatment (including limb amputation in some cases [11, 12]) or may not receive adequate medical attention at all [2, 3, 13–14]. In severe cases of CFH, treatment strategy becomes a matter of clinical decision-making: whether to perform limb reconstruction and lengthening or opt for amputation [2, 11, 12, 15].
In our opinion and that of several other authors, staged lengthening of the affected limb in CFH, combined with reconstruction of the foot and ankle joint, results in equalization of the lower limb lengths and yields a stable, painless, and functional foot [2, 4, 13, 14, 16]. Early reconstructive orthopedic treatment should begin between 16 and 24 months of age, whereas the initial limb lengthening stage is recommended between the ages of 4 and 6 years [13]. For patients in whom the planned lengthening exceeds 30% of the original segment length, bifocal lengthening with fixation of adjacent joints is recommended.
To date, only a few publications describing the surgical treatment of children with CFH are available in the Russian Science Citation Index [13, 17, 18]. The aim of the present study is to demonstrate the effectiveness of our approach to comprehensive orthopedic management of a child with severe fibular hemimelia (aplasia) involving multilevel deformities, using the Ilizarov method and modern evaluation criteria.
Case description
A 10-year-old child was admitted to the 6th Department of Trauma and Orthopedic Surgery at the National Medical Research Centre for Traumatology and Orthopedics named after academician G.A. Ilizarov with complaints of complete non-weight-bearing capacity of the right lower limb, right foot deformity, and difficulty with independent mobility. Since birth, the child had received only conservative treatment and was advised to use complex orthopedic footwear with an insole to compensate the limb shortening. However, due to the progressive nature of the orthopedic impairments (limb shortening and foot deformity), the patient lost the ability to walk independently and developed excess body weight. The family was advised to consider limb amputation and prosthetic fitting, whereas reconstructive orthopedic treatment was denied.
Physical Examination and Investigations
The patient underwent a comprehensive assessment, including clinical and radiographic evaluation. Functional activity was assessed using the Gillette questionnaire [19], along with evaluation of pain, satisfaction with limb function, and esthetic appearance. The patient exhibited a marked shortening (10 cm) of the right lower limb (Fig. 1). A fibrous remnant of the fibula was palpable, and radiographs revealed complete absence of the fibula, as well as tarsal coalition, and multicomponent deformity of the right foot: equinus of 110°, arch angle of 145°, hindfoot valgus of 20°, and forefoot abduction of 35° (see Fig. 1). The patient was only able to move independently within a 5-meter room using crutches or by crawling, bearing weight on the left lower limb. Due to the pronounced shortening, weight-bearing on the right lower limb was not possible. Fibular hemimelia was classified as type II according to Achterman and Kalamchi [20], type 2 according to Aranovich [21], and type 3C according to the classification by Paley [4]. Laboratory results, including blood and urine tests, were within normal limits.
Fig. 1. Photographs (a) and radiographs (b) of the lower limbs before treatment.
Treatment
The child’s parents were offered a treatment plan involving bifocal lengthening and deformity correction of the tibia (Fig. 2) and right foot using the Ilizarov method.
Fig. 2. Diagram of bifocal distraction regenerate formation in the tibia using the Ilizarov method.
During a single surgical session, the following orthopedic procedures were performed: percutaneous Z-shaped Achilles tenotomy; lengthening of the fibular muscle tendons; visualization and resection of the fibrous-cartilaginous remnant of the fibula; corrective osteotomy (resection) of the talocalcaneal coalition; bifocal tibial corticotomy; osteosynthesis of the right femur, tibia, and foot with Ilizarov fixation, including Kirschner wire fixation of the toes to prevent flexion contracture during correction. In the distal third of the right femur, two crossed wires (d = 1.8 mm) were placed 1 cm proximal to the patella; in the mid-thigh, one wire and one screw-pin (d = 5 mm) were inserted. Three wires and one screw-pin were used at the proximal third of the right tibia, one wire and one screw-pin of the same diameter were used in the mid-tibia, and three wires were used in the distal tibia. All wires and pins were fixed to rings and tensioned (Fig. 3). Three wires were placed across the right forefoot, two of which had lateral buttress pads. In the calcaneus, two wires with pads and two cantilever wires were inserted laterally. Foot wires were secured and tensioned in half-rings. The Ilizarov apparatus consisted of two rings on the femur, three on the tibia, one half-ring on the forefoot, and one half-ring on the hindfoot (Fig. 3, a, b). Corticotomies were then performed in the proximal and distal thirds of the tibia (Fig. 3, c). Intraoperatively, partial correction of the right foot deformity was achieved using the Ilizarov apparatus.
Fig. 3. Treatment process: a, formation of distraction regenerate in the proximal and distal thirds of the tibia using the Ilizarov apparatus (radiograph); b, photograph of the lower limb in the Ilizarov apparatus; c, radiographs of the right lower limb during transosseous osteosynthesis with the Ilizarov apparatus.
Right tibial lengthening and foot deformity correction with the apparatus began on postoperative day 5 and were performed simultaneously. Radiographic examinations of the affected limb were conducted every 10 days. After achieving 7 cm of tibial lengthening (slightly over 30% of the original limb length), the patient was prescribed oral muscle relaxants to reduce soft tissue resistance to distraction forces. Distraction was paused on weekends to allow soft tissue adaptation to segmental length changes.
Bifocal lengthening of the right tibia was achieved to fully compensate for the shortening. The tibial lengthening phase lasted 65 days, and gradual correction of the foot deformity took 19 days. Throughout the distraction and correction phases, the patient was monitored daily in our department by a rehabilitation physician and a physical therapy instructor. Weight-bearing on the operated limb began on postoperative day 3. A custom-made footplate compensating for the leg length shortening was used along with crutches. After tibial lengthening and foot deformity correction, the patient was able to bear weight more comfortably on the operated limb. During the fixation phase, the patient was followed on an outpatient basis with regular check-ups at our clinic. The Ilizarov apparatus was removed after tibial bone consolidation (defined as the presence of three out of four cortical layers in each lengthened zone). The fixation phase lasted 132 days; total time in the Ilizarov apparatus was 197 days. The external fixation index (number of days of distraction and Ilizarov apparatus fixation divided by the number of centimeters lengthened) was 19.7 days/cm. No complications were observed during treatment with the Ilizarov apparatus (such as soft tissue inflammation around the wounds or wires, wire breakage, or premature or delayed bone consolidation).
After removal of the Ilizarov apparatus (Fig. 4), the right lower limb was temporarily immobilized with a plaster splint for two weeks to allow a gradual transition to full weight-bearing without external transosseous fixation and to facilitate the patient’s psychological adaptation. The patient was permitted to walk with progressively increasing load on the operated limb, up to full weight-bearing without assistive devices. After removal of the plaster splint, the patient received rehabilitation treatment at the place of residence, which included physiotherapy, massage, and therapeutic exercises targeting the knee and ankle joints. For walking, a custom-made orthopedic insole was used, and at night, an ankle-foot orthosis was worn.
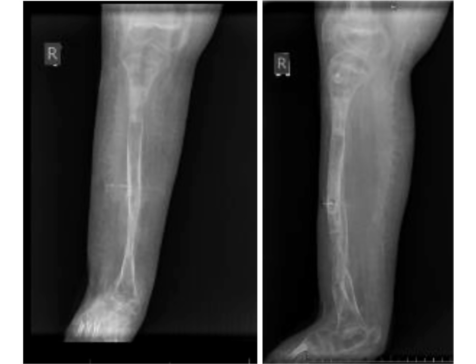
Fig. 4. Radiographs of the right tibia in anteroposterior and lateral views after Ilizarov apparatus removal.
Follow-up and Outcomes
The Ilizarov method used for this patient enabled safe and reliable limb lengthening, reconstruction, and preservation, instead of amputation. Three years after the treatment, the patient was satisfied with the outcome and was walking independently in orthopedic footwear with a custom insole (Fig. 5). A valgus deviation of the hindfoot up to 10–12° was noted. Full range of motion was preserved in the knee joint, and ankle joint mobility was measured at 25° (compared to 10° preoperatively).
Fig. 5. Photographs (a) and radiographs (b) of the right tibia and foot three years after the treatment.
The evaluation criteria for the tibial lengthening stage included the external fixation index, amount of lengthening (cm, %), the Lascombes classification [22], and the Association for the Study and Application of the Method of Ilizarov (ASAMI) score [23]. Functional outcome was assessed using the ASAMI criteria and the Gillette questionnaire. The total lengthening achieved was 10 cm, corresponding to 43.4% of the original tibial length. According to the Lascombes classification, the result of lengthening was categorized as grade I. The bone lengthening was rated as “excellent” by the ASAMI score, and the overall functional outcome was rated as “good.”
According to the Gillette questionnaire, the patient’s level of functional mobility improved from level 3 preoperatively to level 9 postoperatively.
Given the patient’s and family’s complete satisfaction with limb function at follow-up, a joint decision was made to refrain from stabilizing surgery on the foot.
Discussion
Surgical treatment of children with CFH, especially in severe cases, remains a challenging task. In Russia, such patients are typically referred to specialized institutions practicing transosseous osteosynthesis using the Ilizarov method, or may not receive adequate medical attention and are often offered amputation instead [3, 13].
Treatment of children with this condition must be individualized and staged, depending on the degree of deformity and shortening of the femur, tibia, and foot. In Russia, families of such patients are generally reluctant to accept the strategy of amputation, which is more common in North America [12]. The introduction of the Ilizarov technique has transformed the approach to managing patients with CFH [23]. In their article, Birch et al. [11] reported no functional or psychological advantages in children who underwent amputation compared to those who received staged reconstructive orthopedic treatment. We support the view that amputation should be considered only as a last resort, when limb preservation through safe and reliable lengthening and deformity correction is not possible. At the same time, Russian scientific sources contains only a limited number of reports on surgical orthopedic treatment of children with CFH [13, 17, 18].
For patients with this congenital limb deficiency, reconstructive orthopedic treatment should be the first-line approach. It aims to restore proper alignment and weight-bearing capacity, equalize lower limbs' length, preserve ankle function, and enable verticalization and independent walking with orthotic support [4, 13, 16].
In classical limb lengthening, the distraction rate is 1 mm per day (0.25 mm per rod turn, four times a day), whereas in bifocal lengthening it ranges from 1.5 to 2 mm per day [8]. In our case, the limb shortening measured 10 cm, corresponding to 43.4% of the original tibial length. This indicated the need for bifocal lengthening with knee and ankle joint fixation to prevent flexion contractures and joint subluxations. Importantly, despite the 10 cm length gain, no neurological complications (such as nerve traction injuries) were observed, although such risks are reported by other authors [24].
According to Launay et al., the risk of fracture in the regenerate zone may be high if the lengthening exceeds 15% of the segment’s original size [25]. Ghaly et al. reported delayed consolidation and loss of tibial lengthening results in 17% of cases [26]. In our case, no such complications occurred. The Ilizarov apparatus was removed after radiographic visualization of three out of four cortical walls in both frontal and lateral views, and after performing a clinical test that involved loosening the rods connecting the ring supports in the regenerate zone. It is also worth noting that the patient performed daily weight-bearing on the operated limb throughout the treatment period.
Use of the Ilizarov method for limb lengthening requires time. According to the scientific sources, the period of external fixation (external fixation index) ranges from 22.9 days/cm to 62.8 days/cm [13, 23, 27–29]. In our case, the external fixation index was 19.9 days/cm, which is comparable to the most successful limb lengthening reports by other authors. This outcome can be attributed to the patient’s age (active growth phase), strict adherence to the Ilizarov method, and the absence of severe tibial deformity.
Complications associated with transosseous osteosynthesis and external fixation (such as vascular and nerve injury, soft tissue inflammation around the wires, joint contractures/stiffness, and dislocations or subluxations in adjacent joints) have been reported by many authors [23, 30–33]. The rate of these complications was up to 82%. In the present case, we fully adhered to the principles of the transosseous osteosynthesis method, which helped avoid complications that could have adversely affected the treatment outcome. Moreover, creating a soft tissue reserve around wire insertion sites near the joints, providing regular supervision, instructing the patient on proper care of the external fixator, and timely dressing changes helped prevent infectious complications at fixation points. No complications involving direct vascular or nerve injury caused by wires were observed either during surgery or after removal of the Ilizarov apparatus.
In our opinion, the classification by Lascombes [22] is very practical for evaluating limb lengthening outcomes with external fixation. It includes key parameters: whether additional surgeries under general anesthesia were required, whether the planned lengthening was achieved, whether the fixation duration was adequate, and whether limb function was preserved or impaired post-lengthening. The ASAMI scale is also convenient for analyzing both the process and outcome of lengthening. It reflects the functional status of the operated limb and the quality of the lengthening stage, including residual shortening, deformity, presence of infection, and soft tissue hypotrophy [23].
Conclusion
The approach using the Ilizarov method for the treatment of a patient with CFH demonstrated high effectiveness, as confirmed by clinical and radiological findings as well as modern scoring systems and questionnaires. This approach is recommended as a treatment option in similar cases.
Additional information
Author contributions: Sh.A. Imomov: review, sources search and analysis, writing—original draft; S.S. Leonchuk: patient management, surgical treatment, review, sources search and analysis, writing—original draft; A.N. Vorobyeva: sources search and analysis, writing—original draft. All the authors approved the version of the manuscript to be published and agreed to be accountable for all aspects of the work, ensuring that questions related to the accuracy or integrity of any part of the work are appropriately investigated and resolved.
Consent for publication: The patient’s legal guardian provided written consent for the publication of medical data and photographs (with the face concealed) in the Russian Medical Journal, including its electronic version (signed on November 30, 2021).
Funding sources: This work was part of a state assignment from the Ministry of Health of the Russian Federation (No. 1023022700070-8-3.2.10), funded by the federal budget.
Disclosure of interests: The authors have no relationships, activities, or interests for the last three years related to for-profit or not-for-profit third parties whose interests may be affected by the content of the article.
Statement of originality: No previously published material (text, images, or data) was used in this article.
Data availability statement: All data generated or analyzed during this study are included in this article.
Generative AI: No generative artificial intelligence technologies were used to prepare this article.
Provenance and peer-review: This paper was submitted unsolicited and reviewed following the standard procedure. The peer review process involved two members of the editorial board and the in-house scientific editor.
About the authors
Shokhbek A. Imomov
National Medical Research Centre for Traumatology and Orthopedics named after academician G.A. Ilizarov
							Author for correspondence.
							Email: shoh777123@gmail.com
				                	ORCID iD: 0009-0003-1235-9758
				                	SPIN-code: 8659-1840
																		                								
MD
Russian Federation, KurganSergey S. Leonchuk
National Medical Research Centre for Traumatology and Orthopedics named after academician G.A. Ilizarov
														Email: leon4yk@mail.ru
				                	ORCID iD: 0000-0003-0883-9663
				                	SPIN-code: 4940-7227
																		                								
MD, Cand. Sci. (Medicine)
Russian Federation, KurganAlena N. Vorobyeva
National Medical Research Centre for Traumatology and Orthopedics named after academician G.A. Ilizarov
														Email: alena_vorobeva_87@list.ru
				                	ORCID iD: 0009-0007-8700-4520
				                	SPIN-code: 1142-0445
																		                								
MD
Russian Federation, KurganReferences
- Baindurashvili AG, Solovyeva KS, Zaletina AV, et al. Statistical data on pediatric congenital musculoskeletal anomalies (malformations) in St. Petersburg. Orthopaedic Genius. 2018;24(2):189–196. doi: 10.18019/1028-4427-2018-24-2-189-196 EDN: RTELAX
- Fuller CB, Shannon CE, Paley D. Lengthening reconstruction surgery for fibular hemimelia: a review. Children (Basel). 2021;8(6):467. doi: 10.3390/children8060467 EDN: SCHURJ
- Leonchuk SS, Neretin AS, Muradisinov SO, et al. Radiographical features of foot in patients with congenital fibular hemimelia. Russian Electronic Journal of Radiology. 2021;11(2):219–226. doi: 10.21569/2222-7415-2021-11-2-219-226 EDN: JYKVHJ
- Paley D. Surgical reconstruction for fibular hemimelia. J Child Orthop. 2016;10(6):557–583. doi: 10.1007/s11832-016-0790-0
- Reeves B, Roper B, Salton R, et al. Outcomes of simultaneous lengthening and ACL reconstruction in fibular hemimelia: a retrospective case series. Iowa Orthop J. 2024;44(1):93–98.
- Leonchuk SL, Nesterova IN, Kichigina EV, et al. Factors involved in formation of neuro-psychic contraventions in children with pathology of musculoskeletal system in a surgical hospital, and measurements for their prevention. Akademicheskij zhurnal Zapadnoj Sibiri. 2020;16(1):16–19. EDN: KKZYTY
- Ilizarov GA. The principles of the Ilizarov method. Bulletin of the HospitaL for Joint Diseases. 1997;56(1):49–53. EDN: ILDEML
- Shevtsov VI, Leonchuk SS. Stimulation of distraction osteogenesis in limb lengthening: our concept. Traumatology and Orthopedics of Russia. 2021;27(1):75–85. doi: 10.21823/2311-2905-2021-27-1-75-85 EDN: ZALXJW
- Leonchuk SS, Chibirov GM. Surgical treatment of severe posttraumatic foot deformity. Russian Medicine. 2020;26(2):119–124. doi: 10.18821/0869-2106-2020-26-2-119-124 EDN: HMUEJO
- Leonchuk SS, Punit T. Aneurismal bone cyst of the medial cuneiform bone: a case report of a new surgical approach and literature review. Orthopaedic Genius. 2023;29(6):650–655. doi: 10.18019/1028-4427-2023-29-6-650-655 EDN: UFIEDR
- Birch JG, Paley D, Herzenberg JE, et al. Amputation versus staged reconstruction for severe fibular hemimelia: assessment of psychosocial and quality-of-life status and physical functioning in childhood. JB JS Open Access. 2019;4(2):e0053. doi: 10.2106/JBJS.OA.18.00053
- Elmherig A, Ahmed AF, Hegazy A, et al. Amputation versus limb reconstruction for fibula hemimelia: a meta-analysis. J Pediatr Orthop. 2020;40(8):425–430. doi: 10.1097/BPO.0000000000001510 EDN: TNBHLS
- Lazović M, Leonchuk SS, Ducić S, et al. Limb lengthening and deformity correction in patients with severe fibular hemimelia: experience of the children's university hospital in Belgrade. Orthopaedic Genius. 2024;30(1):38–45. doi: 10.18019/1028-4427-2024-30-1-38-45 EDN: PPJRGQ
- Popkov A, Aranovich A, Popkov D. Prevention of recurrence of tibia and ankle deformities after bone lengthening in children with type II fibular hemimelia. Int Orthop. 2015;39(7):1365–1370. doi: 10.1007/s00264-015-2752-4 EDN: UGILKJ
- Salimi M, Sarallah R, Javanshir S, et al. Complication of lengthening and the role of post-operative care, physical and psychological rehabilitation among fibula hemimelia. World J Clin Cases. 2022;10(24):8482–8489. doi: 10.12998/wjcc.v10.i24.8482 EDN: HVHKUF
- Kulkarni RM, Arora N, Saxena S, et al. Use of paley classification and SUPERankle procedure in the management of fibular hemimelia. J Pediatr Orthop. 2019;39(9):e708–e717. doi: 10.1097/BPO.0000000000001012
- Popkov AV, Aranovich AM, Popkov DA, et al. Features of surgical treatment of children with congenital fibular hemimelia. Orthopaedic Genius. 2013;(1):55–60. EDN: PWZWPZ
- Dzhuraev AM, Kholmatov BU, Karimov KhM, Khashimov AR. Our experience with pediatric surgical treatment of fibular hemimelia. Orthopaedic Genius. 2020;26(4):527–531. doi: 10.18019/1028-4427-2020-26-4-527-531 EDN: XXHIWU
- Novacheck TF, Stout JL, Tervo R. Reliability and validity of the Gillette Functional Assessment Questionnaire as an outcome measure in children with walking disabilities. J Pediatr Orthop. 2000;20(1):75–81. doi: 10.1097/01241398-200001000-00017
- Achterman C, Kalamchi A. Congenital deficiency of the fibula. J Bone Joint Surg Br. 1979;61-B(2):133–137. doi: 10.1302/0301-620X.61B2.438260
- Shevtsov VI, Aranovich AM, Makushin VD, Chegourov OK. Classification of the longitudinal ectromelia of the leg. Orthopaedic Genius. 2005;(4):92–97. EDN: LDGXOH
- Lascombes P, Popkov D, Huber H, et al. Classification of complications after progressive long bone lengthening: proposal for a new classification. Orthop Traumatol Surg Res. 2012;98(6):629–637. doi: 10.1016/j.otsr.2012.05.010 EDN: RGJVOR
- Catagni MA, Radwan M, Lovisetti L, et al. Limb lengthening and deformity correction by the Ilizarov technique in type III fibular hemimelia: an alternative to amputation. Clin Orthop Relat Res. 2011;469(4):1175–1180. doi: 10.1007/s11999-010-1635-7 EDN: XYRILS
- Shu W, Yue C, Zhong H, Tang X. Case report: Single-session double-Ilizarov lengthening technique in the treatment of a child with congenital fibular deficiency. Front Pediatr. 2022;10:952591. doi: 10.3389/fped.2022.952591 EDN: RSKLIK
- Launay F, Younsi R, Pithioux M, et al. Fracture following lower limb lengthening in children: a series of 58 patients. Orthop Traumatol Surg Res. 2013;99(1):72–79. doi: 10.1016/j.otsr.2012.08.005 EDN: RJASWD
- Ghaly HM, El-Rosasy MA, Marei AE, El-Gebaly OA. Simultaneous femoral and tibial lengthening for severe limb length discrepancy in fibular hemimelia. J Orthop Surg Res. 2023;18(1):844. doi: 10.1186/s13018-023-04229-y EDN: EIFTZK
- Dammerer D, Kirschbichler K, Donnan L, et al. Clinical value of the Taylor Spatial Frame: a comparison with the Ilizarov and Orthofix fixators. J Child Orthop. 2011;5(5):343–349. doi: 10.1007/s11832-011-0361-3 EDN: QADTQP
- Aktuglu K, Günay H, Alakbarov J. Monofocal bone transport technique for bone defects greater than 5 cm in tibia: our experience in a case series of 24 patients. Injury. 2016;47(Suppl. 6):S40–S46. doi: 10.1016/S0020-1383(16)30838-5 EDN: XOBVBT
- Blondel B, Launay F, Glard Y, et al. Limb lengthening and deformity correction in children using hexapodal external fixation: preliminary results for 36 cases. Orthop Traumatol Surg Res. 2009;95(6):425–430. doi: 10.1016/j.otsr.2009.05.005
- Paley D. Problems, obstacles, and complications of limb lengthening by the Ilizarov technique. Clin Orthop Relat Res. 1990;250:81–104. doi: 10.1097/00003086-199001000-00011
- Donnan LT, Gomes B, Donnan A, et al. Ilizarov tibial lengthening in the skeletally immature patient. Bone Joint J. 2016;98-B(9):1276–1282. doi: 10.1302/0301-620X.98B10.37523 EDN: YGUMLA
- Dabash S, Potter E, Catlett G, McGarvey W. Taylor spatial frame in treatment of equinus deformity. Strategies Trauma Limb Reconstr. 2020;15(1):28–33. doi: 10.5005/jp-journals-10080-1452 EDN: ZOFLHT
- Bakhshi AS, Kumar S, Singhet J, al. Complications of Ilizarov ring fixator and their management. Int J Orthop. 2019;5(4):839–844. doi: 10.22271/ortho.2019.v5.i4o.1781
Supplementary files
 
				
			 
					 
						 
						 
									
 
  
  
  Email this article
			Email this article 
 Open Access
		                                Open Access Access granted
						Access granted Subscription or Fee Access
		                                							Subscription or Fee Access
		                                					





