Experimental study on the effects of a novel bone graft material based on poly(3-hydroxybutyrate) and simvastatin on bone formation
- Authors: Salekh K.M.1, Volkov A.V.1, Muraev A.A.1, Bonartsev A.P.2,3, Voinova V.V.2, Dymnikov A.B.4, Dolgalev A.A.5, Ivanov S.Y.4,6
-
Affiliations:
- Peoples' Friendship University of Russia
- Lomonosov Moscow State University
- Fundamentals of Biotechnology Federal Research Centre of the Russian Academy of Sciences
- Peoples’ Friendship University of Russia
- Stavropol State Medical University
- Sechenov First Moscow State Medical University
- Issue: Vol 31, No 2 (2025)
- Pages: 159-167
- Section: Original Research Articles
- Submitted: 04.02.2025
- Accepted: 21.02.2025
- Published: 27.04.2025
- URL: https://medjrf.com/0869-2106/article/view/653435
- DOI: https://doi.org/10.17816/medjrf653435
- ID: 653435
Cite item
Abstract
BACKGROUND: In surgical dentistry and maxillofacial surgery, no currently available bone graft material reliably provides predictable outcomes for the treatment of jawbone defects. Given the increasing number of patients with alveolar bone atrophy and post-traumatic jaw defects, the development of new materials with osteoinductive properties remains highly relevant, underscoring the importance of research in bone tissue engineering.
AIM: To assess the osteoinductive potential of a novel bone graft material based on poly(3-hydroxybutyrate) loaded with simvastatin in an in vivo sheep model.
METHODS: A single-center, prospective, comparative study was conducted between December 2022 and June 2023, involving 24 healthy sheep weighing 65–70 kg and aged 18–24 months. Strict inclusion and exclusion criteria ensured group homogeneity. Under general and local anesthesia, a lateral window approach to the maxillary sinus was performed to create a bony window for implantation. Group 1 received simvastatin-loaded poly(3-hydroxybutyrate) granules; group 2 received the same material without simvastatin. The primary outcome was the presence of morphological signs of osteoinduction, including the formation of new bone tissue. Secondary outcomes included morphometric assessment of structural bone parameters, such as the relative volume of newly formed bone and osteogenic activity.
RESULTS: Assessments were performed at 3 and 6 months post-implantation. At 3 months, granules of the bone graft material in group 1 were surrounded by moderate connective tissue and multiple foci of active osteogenesis around the simvastatin-loaded granules. In group 2, connective tissue predominated around the implanted granules, with isolated osteogenic foci. At 6 months, group 1 exhibited reduced connective tissue, persistent osteogenic foci, and predominantly mature lamellar bone. Histomorphometric analysis revealed that the relative volume of newly formed bone in the simvastatin group was 34.5% at 3 months and 63.4% at 6 months, significantly exceeding that of the control group (21.4 and 36.8%, respectively).
CONCLUSION: Simvastatin-loaded poly(3-hydroxybutyrate) granules significantly enhance bone formation. However, the long-term effects of simvastatin application require further investigation.
Full Text
BACKGROUND
Currently, there is no ideal bone graft material that fully meets the requirements for successful application in clinical practice. With the increasing number of patients suffering from various bone conditions, including jaw injuries, bone atrophy, insufficient bone volume, bone tumors, and other diseases, the need for effective bone tissue regeneration materials is increasing [1, 2]. Such materials must be non-toxic and biocompatible, have matrix properties (osteoconductivity), and the ability to stimulate bone regeneration processes (osteoinductivity) [3, 4]. In this regard, research in bone tissue engineering is being actively pursued, particularly in surgical dentistry and maxillofacial surgery.
The osteoinductive properties of existing bone graft materials are mainly ensured by their enrichment with growth factors and morphogenetic proteins [5, 6]. In this context, the emergence of new materials capable of effectively stimulating osteogenesis represents a significant advancement in bone tissue engineering.
One such approach is the use of simvastatin as a factor for inducing bone regeneration. It was first discovered that simvastatin, an inhibitor of 3-hydroxy-3-methylglutaryl-coenzyme A reductase, increases the activity of bone morphogenetic protein family members, including bone morphogenetic protein-2, by stimulating the promoter region [7]. Further studies confirmed the osteogenic effect of simvastatin in both cellular and in vivo models [8, 9]. Simvastatin promotes the differentiation of osteoblasts from stem cells by increasing the expression of osteocalcin genes, inhibits osteoclast differentiation by inhibiting signaling pathways, and stimulates angiogenesis by upregulating the expression of vascular endothelial growth factor in a dose-dependent manner [10, 11].
A previous study [12] evaluated bone regeneration in tooth extraction sockets filled with a material based on poly(3-hydroxybutyrate) (PHB) loaded with simvastatin. Microcomputed tomography was used as the research method. Three and six months after the implantation of the PHB-based material with simvastatin, an increase in the ratio of newly formed bone tissue volume to the regenerate tissue volume (BV/TV) by 15.67 and 21.12%, respectively, was observed compared to non-loaded PHB.
The present article describes the results of an experimental study on the effects of a novel PHB-based bone graft material with simvastatin. The processes of osteogenesis were analyzed through histological and histomorphometric assessments, which open new prospects for bone tissue restoration.
AIM
To assess the osteoinductive potential of a novel PHB-based bone graft material loaded with simvastatin in an in vivo sheep model.
METHODS
Study Design
An interventional, single-center, prospective, single-stage comparative study was conducted.
Eligibility Criteria
Twenty-four sheep were included in the experimental study.
Inclusion criteria: Animals aged 18–24 months and weighing 65–70 kg, without chronic diseases or conditions that could affect the results.
Exclusion criteria: Animals previously involved in experimental studies, as well as animals with acute or chronic diseases.
Study Setting
The study was conducted at the All-Russian Research Institute of Sheep and Goat Breeding (branch of the North Caucasus Federal Scientific Agrarian Centre, Stavropol, Russia).
Study Duration
The experimental study was conducted from December 1, 2022, to June 1, 2023.
Intervention
For anesthesia, sodium thiopental, a general anesthetic agent, was administered intramuscularly at a dose of 50 mg/kg, calculated according to the manufacturer's instructions and the animal's body weight. For premedication, a combination of the following drugs was used: droperidol (0.25%) at a dose of 0.2 mL/kg, diazepam (0.5%) at a dose of 0.2 mL/kg, and tramadol at a dose of 1 mL intramuscularly.
Anesthetized sheep were placed in a lateral recumbent position, with the lower jaw fixed. The surgical field was antiseptically prepared. Access to the maxillary sinus was provided via an external approach. Subsequent steps included a soft tissue incision and elevation of a skin flap to expose the anterior wall of the maxilla. A bone window was created using a 1 mm spherical diamond bur and a physiodispenser with a supply of sterile 0.09% NaCl solution, followed by elevation and retraction of the sinus mucosa to create a space for bone graft implantation.
Group 1 animals were implanted with a novel PHB-based bone graft material in the form of 510 ± 60 μm granules loaded with simvastatin, while group 2 animals received PHB-based material without simvastatin load. Before implantation into the maxillary sinus, the material was pre-mixed with the animal’s blood. After implantation, the wound was sutured layer by layer using resorbable sutures with absorbable sterile surgical suture material EuroQuik 4/0 (EuroType, Russia).
Three and six months after the start of the experiment, the animals were euthanized by administration of anesthetic solution Zoletil 100 (Virbac, France) in excessive amount at a dose of 80 mg/kg of animal body weight. Bone samples were fixed in 10% formalin solution. After fixation, the samples were rinsed in running water to remove formalin residues, then decalcified in EDTA-based solution (Softidek; BioVitrum, Russia) for 7–10 days. After decalcification, the samples were rinsed again and immersed in dehydrating solution (Isoprep; BioVitrum, Russia), then in xylene solution for preparation before paraffin embedding. The samples were then soaked in molten paraffin, embedded in molds to form paraffin blocks, and cooled until fully solidified. The blocks were sectioned using a microtome into thin slices (3–5 μm thick), which were then stained with hematoxylin and eosin for microscopic examination of tissue structure. Photographs were taken with a Leica 2500 microscope with a digital camera (Leica Microsystems, Germany) for subsequent analysis of morphometry of cellular and tissue structures in the MegaMorph12 software (HistoLab, Russia).
Main Study Outcome
The primary outcome of the study was the identification of morphological features indicating the activation of osteogenesis in bone tissue, including the formation of this tissue in the presence of the PHB-based material.
Additional Study Outcomes
The secondary outcome of the study was the morphometric analysis of structural bone tissue parameters: BV/TV; relative volume of the material present in the regenerate (MatV/TV), which allowed for a more detailed characterization of the degree of osteogenesis activation and structural changes in the bone.
Subgroup Analysis
To assess the osteogenesis process, the animals were divided into two groups (12 sheep in each group). In group 1, the animals underwent sinus lift procedure with implantation of a novel PHB-based bone graft material loaded with simvastatin, whereas in group 2, a PHB-based material without simvastatin was used. Each group was further divided into subgroups of 6 sheep, with observation periods of 3 and 6 months, respectively.
Outcomes Registration
Various methods and tools for histological and morphometric analysis of bone tissue were used. In particular, standard fixation methods, including formalin, paraffin embedding, and microtome tissue sectioning, were applied for histological analysis. The obtained sections were stained with hematoxylin and eosin for microscopic analysis of tissue structure. Photographs were taken using a Leica 2500 microscope with a digital camera (Leica Microsystems, Germany).
Statistical Analysis
Sample size calculation principles: The sample size was not pre-calculated. Since the sample size was <30 (24 animals), nonparametric statistical methods were used for data analysis.
Methods of Statistical Data Analysis: Statistical analysis was performed using the Statistica v. 12.0 software package (StatSoft Inc., USA). To determine differences between the evaluated parameters, the nonparametric Mann–Whitney U test was used. For intragroup analysis, the Kruskal–Wallis signed-rank test was used. Quantitative data were expressed as the median: IQR, [25th; 75th percentile], with p < 0.05 considered statistically significant.
RESULTS
Participants
The study involved 24 North Caucasian meat-and-wool breed sheep with body weight of 65–70 kg at the age of 18–24 months, with similar baseline physiological parameters. Each animal underwent the same intervention procedure — sinus lift surgery with implantation of a novel bone graft material.
Primary Results
Bone tissue samples from the floor of the maxillary sinus were examined. The following results were obtained in the groups.
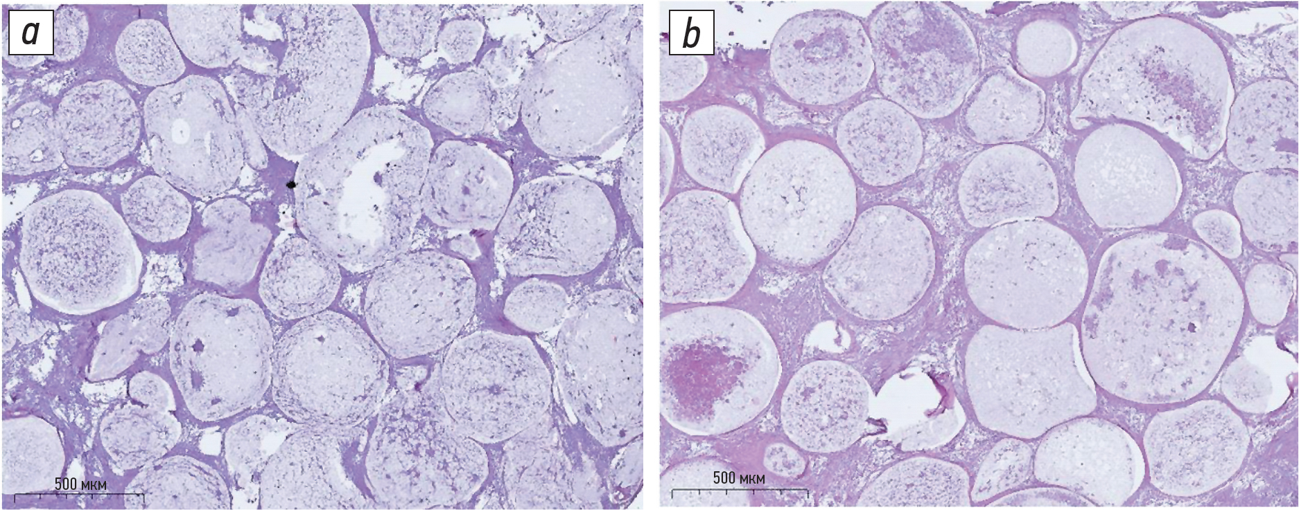
Group 1 (PHB + simvastatin): 3 months. The bone regenerate was represented by spherical granules of the bone graft material, between which a moderate amount of reticulofibrous bone tissue and a moderate amount of loose fibrous connective tissue of the regenerative type were identified. Multiple foci of osteogenesis and small capillaries were observed within the granules of the bone graft material (Fig. 1, a). In the connective tissue of the regenerative type and on the surface of the granules, multinucleated giant cells resorbing the granules were detected.
Group 2 (PHB): 3 months. The bone regenerate was represented by spherical granules of the bone graft material, between which a moderate amount of reticulofibrous and lamellar bone tissue and a moderate amount of loose fibrous connective tissue of the regenerative type were identified. Multiple foci of osteogenesis were observed within the granules of the bone graft material, with the formation of reticulofibrous and lamellar bone tissue, as well as small capillaries forming tunnels that contain differentiated cells of the osteoblastic lineage (Fig. 1, b). Multinucleated giant cells resorbing the material were found in the connective tissue of the regenerative type, on the surface and within the pores of the granules.
Fig. 1. The bone regenerate from the maxillary sinus floor, containing spherical granules of the bone graft material, around which, in the presence of simvastatin, both immature (reticulofibrous) and mature (lamellar) bone tissue (a) is formed; without simvastatin load — predominantly immature bone tissue (b). Haematoxylin and eosin staining.
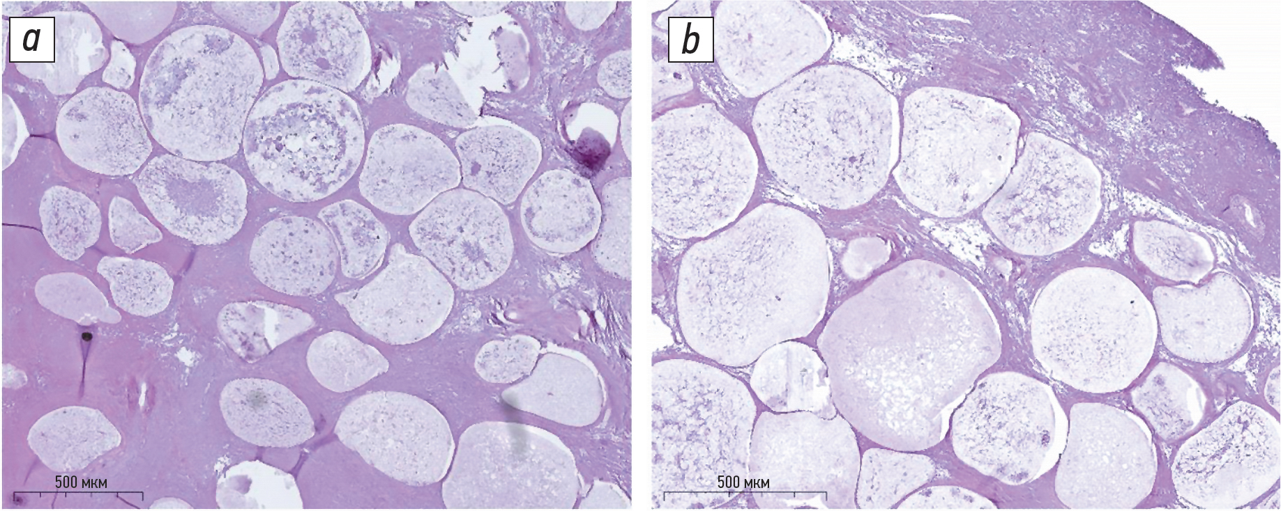
Group 1 (PHB + simvastatin): 6 months. The bone regenerate was represented by spherical granules of the bone graft material, between which a small amount of reticulofibrous and a small amount of lamellar bone tissue were observed, surrounded by loose fibrous connective tissue of the regenerative type and dense fibrous (fibrous) tissue. Within the granules of the bone graft material, foci of osteogenesis, areas of bone tissue maturation into lamellar bone, and small capillaries were identified (Fig. 2, a). In the connective tissue of the regenerative type, multinucleated giant cells resorbing the granules were detected, both on the surface and within the granules.
Group 2 (PHB): 6 months. The bone regenerate was represented by spherical granules of the bone graft material, between which a significant amount of predominantly lamellar bone tissue and a moderate amount of loose fibrous connective tissue of the regenerative type were identified, with a small amount of fibrous tissue. Multiple foci of osteogenesis were observed within the granules of the bone graft material, with the formation of predominantly lamellar bone tissue. Small capillaries were also present, forming tunnels filled with differentiated cells of the osteoblastic lineage that contribute to the development of osteon-like structures. In some granules, osteogenesis was still ongoing from the initial phases (Fig. 2, b). Multinucleated giant cells resorbing the material were found in the connective tissue of the regenerative type, on the surface and within the pores of the granules.
Fig. 2. The bone regenerate from the maxillary sinus floor, containing spherical granules of the bone graft material, around which, in the presence of simvastatin, mature (lamellar) bone tissue occupies a larger area of the regenerate surrounding the material (a); without simvastatin load — a small amount of predominantly lamellar bone tissue (b). Haematoxylin and eosin staining.
Secondary Results
Histomorphometric analysis with BV/TV and MatV/TV determination in the presence of the PHB-based material with and without simvastatin revealed that 3 months after implantation of PHB granules with simvastatin, BV/TV was 34.5 ± 6.3%, while in the PHB granules without simvastatin, it was 21.4 ± 4.1%. After 6 months, BV/TV in the simvastatin group was 63.4 ± 3.8%, and without simvastatin, it was 36.8 ± 2.4%. The results of histomorphometric evaluation are summarized Table 1. Meanwhile, MatV/TV of the PHB granules in the bone regenerate at 3 months was 49.3 ± 2.2% for granules with simvastatin, and 50.2 ± 2.3% without simvastatin. At 6 months after the implantation of the PHB-based material with simvastatin, MatV/TV was 32.6 ± 1.6%, while without simvastatin, it was 38.4 ± 1.9%. The results of histomorphometric evaluation are summarized (See Table 1).
Table 1. Histomorphometric study of the sinus lift area for BV/TV and MatV/TV parameters, ٪ (n = 24
Characteristics of the groups | 3 months (n = 6) | 6 months (n = 6) | p |
BV/TV | |||
Group 1 (poly-3-oxybutyrate + simvastatin) (n = 12) | 34.5 ± 6.3 | 63.4 ± 3.8 | 0.001 |
Group 2 (poly-3-oxybutyrate) (n = 12) | 21.4 ± 4.1 | 36.8 ± 2.4 | 0.001 |
MatV/TV | |||
Group 1 (PHB + simvastatin) (n = 12) | 49.3 ± 2.2 | 38.4 ± 1.9 | 0.01 |
Group 2 (PHB) (n = 12) | 50.2 ± 2.3 | 32.6 ± 1.6 | 0.025 |
Note: BV/TV, newly formed bone tissue volume to the regenerate tissue volume; MatV/TV, volume of the material present in the regenerate to the tissue volume; PHB, poly-3-oxybutyrate; differences between the values are statistically significant at р < 0.05. | |||
Adverse Events
No adverse events related to the surgical intervention were observed during the experiment. The condition of all animals was closely monitored throughout the experiment, and no adverse events (such as diseases, injuries, unplanned surgeries, or other medical complications) were recorded.
DISCUSSION
Summary of Primary Results
The study found that the use of simvastatin in group 1 promoted a more pronounced formation of mature lamellar bone tissue at 3 and 6 months compared to group 2, where reticulofibrous bone tissue was predominant. Histological analysis revealed the presence of multiple foci of osteogenesis and small capillaries in the samples from the maxillary sinus floor, indicating a progressing bone tissue regeneration process in both groups. Moreover, based on the evaluation of MatV/TV, an increased resorption of the material was detected in the tissues in the presence of simvastatin.
Interpretation
In the context of the main aim of the study, which is to evaluate the efficacy of PHB for stimulating osteogenesis, our findings are of interest in light of current trends in the field of bone tissue engineering and regenerative medicine [13–15].
It is important to note that our hypothesis regarding the potential ability of PHB and simvastatin to stimulate bone tissue formation was confirmed during the experiment. The results of the histological study and morphometric calculations showed that the application of this bone graft material loaded with simvastatin stimulates osteogenesis processes, which is consistent with the results of other authors [16, 17].
The biodegradation of other polymers is accompanied by the formation of a capsule and foreign cells, while the bioresorption of organic-based polymers (PHB) occurs without the formation of a capsule [18]. This supports the appropriateness of choosing PHB as a bone matrix. This polymer is known for its biocompatibility and biodegradability [19], which makes it an attractive material for medical devices. Its inclusion in the composition of bone grafting material not only provides mechanical support, but also creates a favorable environment for bone tissue cells, promoting their adhesion and growth [20].
It should also be noted that our findings not only align with existing theories about the role of simvastatin in stimulating bone formation [21], but also provide new data on the potential application of this material in clinical practice to improve bone regeneration processes. This opens up prospects for further research and the development of new approaches in the field of bone tissue engineering and regenerative medicine.
Study Limitations
The limitations of the study include the use of a large livestock model (sheep) to evaluate the efficacy of the novel bone graft material. It is important to understand that the results of this study may not be fully transferable to the human population due to differences in physiology and response to medical interventions. Additionally, the limitations include the small sample size, which may reduce the overall generalizability of the results. Further research with larger sample sizes may help confirm our findings and clarify their applicability.
CONCLUSION
The results of previous studies confirm the efficacy of simvastatin in stimulating osteogenesis, which is consistent with previous works demonstrating its osteogenetic properties both in vitro and in vivo. However, questions regarding the long-term effects of bone graft materials in clinical practice remain unresolved. This study demonstrated that the addition of simvastatin to PHB resulted in a significant increase in the formation of lamellar bone compared to the control group, as confirmed by histomorphometric data. Specifically, 3 months after implantation, BV/TV in the simvastatin group was 34.5%, and after 6 months, it was 63.4%, while in group 2, these values were 21.4% and 36.8%, respectively. The obtained data support the potential of simvastatin as an active component in biocompatible materials for bone tissue regeneration. The addition of simvastatin also promotes improved vascularization and the appearance of multiple foci of osteogenesis, indicating its clinical relevance for optimizing bone tissue restoration methods. Thus, our study not only supports existing theories on the role of simvastatin in osteogenesis but also opens new perspectives for its application in clinical practice, emphasizing the need for further research to develop effective regenerative strategies.
ADDITIONAL INFORMATION
Author contributions. K.M. Salekh — conducting experimental and histological research, literature review, collection, and analysis of literary sources, writing the article; A.V. Volkov — conducting histological research, writing the text, editing the article; A.A. Muraev, A.P. Bonartsev, A.B. Dymnikov, A.A. Dolgalev — conducting experimental research, editing the article; V.V. Voinova, S.Yu. Ivanov — editing the article. Thereby, all authors provided approval of the version to be published and agree to be accountable for all aspects of the work in ensuring that questions related to the accuracy or integrity of any part of the work are appropriately investigated and resolved.
Ethics approval. The study was approved by the Local Ethics Committee of the Medical Institute of the Peoples' Friendship University of Russia named after Patrice Lumumba (protocol No. 12 of 17.11.2022).
Funding sources. No funding.
Disclosure of interests. The authors have no relationships, activities or interests for the last three years related with for-profit or not-for-profit third parties whose interests may be affected by the content of the article.
Statement of originality. In creating this work, previously published information (text, illustrations, data) was not used.
Data availability statement. All data obtained in the present study are available in the article.
Generative AI. Generative AI technologies were not used for this article creation.
Provenance and peer-review. This paper was submitted to the journal on an initiative basis and reviewed according to the fast-track procedure. Two members of the editorial board and the scientific editor of the publication participated in the review.
About the authors
Karina M. Salekh
Peoples' Friendship University of Russia
Author for correspondence.
Email: ms.s.karina@mail.ru
ORCID iD: 0000-0003-4415-766X
SPIN-code: 1798-1439
Russian Federation, Moscow
Alexey V. Volkov
Peoples' Friendship University of Russia
Email: volkov-av@rudn.ru
ORCID iD: 0000-0002-5611-3990
SPIN-code: 1126-1347
MD, Dr. Sci. (Medicine), Professor
Russian Federation, MoscowAlexander A. Muraev
Peoples' Friendship University of Russia
Email: muraev_aa@pfur.ru
ORCID iD: 0000-0003-3982-5512
SPIN-code: 1431-5936
MD, Dr. Sci. (Medicine), Professor
Russian Federation, MoscowAnton P. Bonartsev
Lomonosov Moscow State University; Fundamentals of Biotechnology Federal Research Centre of the Russian Academy of Sciences
Email: ant_bonar@mail.ru
ORCID iD: 0000-0001-5894-9524
SPIN-code: 1688-2226
Dr. Sci. (Biology), Associate Professor
Russian Federation, Moscow; MoscowVera V. Voinova
Lomonosov Moscow State University
Email: veravoinova@mail.ru
ORCID iD: 0000-0002-0253-6461
SPIN-code: 6293-0462
Cand. Sci. (Biology)
Russian Federation, MoscowAlexander B. Dymnikov
Peoples’ Friendship University of Russia
Email: dymnikov_ab@pfur.ru
ORCID iD: 0000-0001-8980-6235
SPIN-code: 7254-4306
MD, Cand. Sci. (Medicine), Associate Professor
Russian Federation, MoscowAlexander A. Dolgalev
Stavropol State Medical University
Email: dolgalev@dolgalev.pro
ORCID iD: 0000-0002-6352-6750
SPIN-code: 5941-5771
MD, Dr. Sci. (Medicine), Professor
Russian Federation, StavropolSergey Yu. Ivanov
Peoples’ Friendship University of Russia; Sechenov First Moscow State Medical University
Email: syivanov@yandex.ru
ORCID iD: 0000-0001-5458-0192
SPIN-code: 2607-2679
MD, Dr. Sci. (Medicine), Professor, Corresponding Member of the Russian Academy of Sciences
Russian Federation, Moscow; MoscowReferences
- Xue N, Ding X, Huang R, et al. Bone tissue engineering in the treatment of bone defects. Pharmaceuticals (Basel). 2022;15(7):879. doi: 10.3390/ph15070879 EDN: XSCCJQ
- Migliorini F, La Padula G, Torsiello E, et al. Strategies for large bone defect reconstruction after trauma, infections or tumour excision: a comprehensive review of the literature. Eur J Med Res. 2021;26(1):118. doi: 10.1186/s40001-021-00593-9 EDN: ISWTSA
- Abbas M, Alqahtani MS, Alhifzi R. Recent developments in polymer nanocomposites for bone regeneration. Int J Mol Sci. 2023;24(4):3312. doi: 10.3390/ijms24043312 EDN: AMDKCU
- Saberian E, Jenča A, Zafari Y, et al. Scaffold application for bone regeneration with stem cells in dentistry: literature review. Cells. 2024;13(12):1065. doi: 10.3390/cells13121065 EDN: AKFWSK
- Kobozev MI, Balandina MA, Semenova YuA, et al. The use of osteoplastic material, containing vascular endothelial growth factor, in case of socket preservation. The Journal of Scientific Articles Health and Education Millennium. 2016;18(1):116–122. EDN: VPUHXD
- Aleynik DY, Bokov AE, Charykova IN, et al. Functionalization of osteoplastic material with human placental growth factor and assessment of biocompatibility of the resulting material in vitro. Pharmaceutics. 2024;16(1):85. doi: 10.3390/pharmaceutics16010085 EDN: IAGLTO
- Venkatesan N, Liyanage ADT, Castro-Núñez J, et al. Biodegradable polymerized simvastatin stimulates bone formation. Acta Biomater. 2019;93:192–199. doi: 10.1016/j.actbio.2019.04.059
- Wu T, Sun J, Tan L, et al. Enhanced osteogenesis and therapy of osteoporosis using simvastatin loaded hybrid system. Bioact Mater. 2020;5(2):348–357. doi: 10.1016/j.bioactmat.2020.03.004 EDN: DLTJMM
- Granat MM, Eifler-Zydel J, Kolmas J. Statins-their role in bone tissue metabolism and local applications with different carriers. Int J Mol Sci. 2024;25(4):2378. doi: 10.3390/ijms25042378 EDN: WWCWHI
- Masaeli R, Jafarzadeh Kashi TS, Dinarvand R, et al. Efficacy of the biomaterials 3wt%-nanostrontium-hydroxyapatite-enhanced calcium phosphate cement (nanoSr-CPC) and nanoSr-CPC-incorporated simvastatin-loaded poly(lactic-co-glycolic-acid) microspheres in osteogenesis improvement: An explorative multi-phase experimental in vitro/vivo study. Mater Sci Eng C Mater Biol Appl. 2016;69:171–183. doi: 10.1016/j.msec.2016.06.033 EDN: WOUWCT
- Zahedipour F, Butler AE, Rizzo M, Sahebkar A. Statins and angiogenesis in non-cardiovascular diseases. Drug Discov Today. 2022;27(10):103320. doi: 10.1016/j.drudis.2022.07.005 EDN: LWYRGW
- Salekh KM, Muraev AA, Dolgalev AA, et al. Efficacy of poly-3-hydroxybutyrate enriched with simvastatin in bone regeneration after tooth extraction (experimental study). Modern Technologies in Medicine. 2024;16(5):27–34. doi: 10.17691/stm2024.16.5.03
- Ghassemi T, Shahroodi A, Ebrahimzadeh MH, et al. Current concepts in scaffolding for bone tissue engineering. Arch Bone Jt Surg. 2018;6(2):90–99.
- Bharadwaz A, Jayasuriya AC. Recent trends in the application of widely used natural and synthetic polymer nanocomposites in bone tissue regeneration. Mater Sci Eng C Mater Biol Appl. 2020;110:110698. doi: 10.1016/j.msec.2020.110698 EDN: XRCKMB
- Alonzo M, Primo FA, Kumar SA, et. al. Bone tissue engineering techniques, advances and scaffolds for treatment of bone defects. Curr Opin Biomed Eng. 2021;17:100248. doi: 10.1016/j.cobme.2020.100248 EDN: FSWGDC
- Alsawah GM, Al-Obaida MI, Al-Madi EM. Effect of a simvastatin-impregnated chitosan scaffold on cell growth and osteoblastic differentiation. Applied Sciences (Switzerland). 2021;11(12):5346. doi: 10.3390/app11125346 EDN: BHIIQX
- Delan WK, Ali IH, Zakaria M, et al. Investigating the bone regeneration activity of PVA nanofibers scaffolds loaded with simvastatin/chitosan nanoparticles in an induced bone defect rabbit model. Int J Biol Macromol. 2022;222(Pt B):2399–2413. doi: 10.1016/j.ijbiomac.2022.10.026 EDN: YSOLJW
- Olkhov AA, Muraev AA, Volkov AV. Structure and properties of bioresorbed materials based on polylactide for regenerative medicine. All Materials. Encyclopaedic Reference Manual. 2021;(1):7–15. doi: 10.31044/1994-6260-2021-0-1-7-15
- Bonartsev AP, Bonartseva GA, Reshetov IV, et al. Application of polyhydroxyalkanoates in medicine and the biological activity of natural poly(3-hydroxybutyrate). Acta Naturae. 2019;11(2):4–16. doi: 10.32607/20758251-2019-11-2-4-16 EDN: HQISMC
- Bonartsev AP, Voinova VV, Volkov AV. Scaffolds based on poly(3-hydroxybutyrate) and its copolymers for bone tissue engineering (review). Modern Technologies in Medicine. 2022;18(5):78–91. doi: 10.17691/stm2022.14.5.07 EDN: WXKFER
- Ni Q, Zhu J, Li Z, et al. Simvastatin promotes rat Achilles tendon-bone interface healing by promoting osteogenesis and chondrogenic differentiation of stem cells. Cell Tissue Res. 2023;391(2):339–355. doi: 10.1007/s00441-022-03714-w EDN: XSXKCG
Supplementary files




