Морфологические аспекты заживления пролежней на фоне высокочастотной электростимуляции у пациентов с тяжёлым поражением головного мозга
- Авторы: Шулутко А.М.1, Османов Э.Г.1, Алтухов Е.Л.2, Яковлев А.А.2, Боблак Ю.А.1, Гандыбина Е.Г.1, Горбачева А.В.1, Паталова А.Р.1, Хмырова С.Е.1, Хусаинова Н.Р.1
-
Учреждения:
- Первый Московский государственный медицинский университет им. И.М. Сеченова (Сеченовский Университет)
- Федеральный научно-клинический центр реаниматологии и реабилитологии
- Выпуск: Том 30, № 1 (2024)
- Страницы: 7-14
- Раздел: Оригинальные исследования
- Статья получена: 04.06.2023
- Статья одобрена: 11.01.2024
- Статья опубликована: 15.01.2024
- URL: https://medjrf.com/0869-2106/article/view/472099
- DOI: https://doi.org/10.17816/medjrf472099
- ID: 472099
Цитировать
Аннотация
Обоснование. Одной из значимых медико-социальных проблем у лиц, перенёсших тяжёлое повреждение головного мозга, являются пролежни или декубитальные язвы. Большинство средств местного лечения малоэффективны, не обеспечивают их заживления. В связи с этим поиск немедикаментозных методов терапии пролежней как составной части комплексного лечения декубитальных язв чрезвычайно актуален.
Цель исследования — оценка морфологической картины пролежней на фоне усовершенствованного способа лечения — высокочастотной электростимуляции импульсными токами — у длительно иммобилизованных пациентов, переживших церебральную катастрофу.
Материалы и методы. Исследованы биоптаты пролежней у 12 пациентов с грубыми неврологическими нарушениями, развившимися после церебральной катастрофы, и с исходным статусом «хроническое критическое состояние» (ХКС). У всех пациентов пролежневый дефект протяжённостью от 7 до 25 см2 располагался в крестцовой области. Глубина пролежня соответствовала III степени по классификации Agency For Health Care Policy and Research.
Сформированы 2 группы: основная (n=5), состоящая из трёх мужчин и двух женщин (средний возраст — 49,0 года), у которых применяли электростимуляцию импульсными токами радиочастотного диапазона; контрольная (n=7) из трёх мужчин и четырёх женщин (средний возраст — 60,1 года), которым проводили традиционное лечение. Длительность хронического раневого процесса составила от 2 мес до 1,5 лет. Непосредственной причиной ХКС чаще был обширный ишемический инсульт (8), реже — тяжёлая черепно-мозговая травма (3) и радикальные операции по удалению новообразований головного мозга (1) различной давности (от 3 мес до 1,5 лет).
Для оценки осложнённого раневого процесса в обеих группах проведены морфологические исследования.
Результаты. По данным комплексного морфологического исследования на фоне высокочастотной электростимуляции отмечено более раннее появление очагов фибробластической пролиферации, повышение регенераторного потенциала тканей за счёт усиленной выработки коллагенов I и III типов, а также миофибробластических и эндотелиальных факторов роста.
Заключение. На фоне ХКС церебрального генеза раневой процесс в пролежнях неизбежно становится осложнённым и по данным морфологического исследования характеризуется тяжёлой эндотелиальной дисфункцией, глубокими нарушениями микроциркуляции, истощением потенциала клеток миофибробластического ряда и дефицитом факторов их роста. Применение методики локальной высокочастотной электростимуляции у пациентов с тяжёлым поражением головного мозга и декубитальными язвами в качестве компонента комплексной терапии этих язв заметно оптимизирует клеточно-тканевые реакции в зоне пролежней.
Ключевые слова
Полный текст
ОБОСНОВАНИЕ
Как известно, пролежни являются особой формой хронических длительно незаживающих ран с различными патогенетическими триггерами [1]. Они сопутствуют многим тяжёлым посттравматическим состояниям и системным заболеваниям, таким как обширный инсульт, инфаркт, сахарный диабет, болезнь Паркинсона, параплегия и истощение [2–4]. Рост числа техногенных катастроф, глобализация вооружённых конфликтов с использованием новых средств поражения обусловливают лавинообразный рост количества раненых и пострадавших с тяжёлыми поражениями спинного и головного мозга. У последних тяжёлый нейродистрофический процесс неизбежно приводит к развитию множественных, резистентных к местной терапии, пролежневых или декубитальных язв (ДЯ) [5–8]. В целом ряде исследований показано: начиная со второй стадии ДЯ становится главным источником хирургической инфекции с высоким риском развития дистрофических и септических состояний. Летальность среди таких пациентов варьирует в широких пределах (21,0–88,1%) [9, 10].
Местное лечение пролежней занимает много времени, часто не даёт ощутимых результатов. Большинство современных физико-химических технологий и средств «аппаратного» ускорения репаративных процессов (РП) обладают сомнительной эффективностью из-за отсутствия чётких морфологических данных [11, 12]. Вышесказанное в полной мере относится и к лечению пролежней у лиц с отягощённым неврологическим статусом.
Цель исследования — оценка морфологической картины пролежней на фоне высокочастотной электростимуляции импульсными токами у длительно иммобилизованных пациентов, переживших церебральную катастрофу.
МЕТОДЫ
Дизайн исследования
Данное исследование — интервенционное, одноцентровое, проспективное, контролируемое, неослеплённое, нерандомизированное. Рандомизация проводилась «методом конвертов».
Критерии соответствия
В исследование включены пациенты в хроническом критическом состоянии (ХКС) со стойким неврологическим дефицитом, возникшим после тяжёлого повреждения головного мозга, с пролежнями в области крестца. Глубина пролежней соответствовала III степени по классификации Agency For Health Care Policy and Research (1992), которая характеризуется потерей толщины покровных тканей в зоне постоянной компрессии не глубже собственной фасции.
Условия проведения
Комплексная морфологическая оценка эффективности высокочастотной электростимуляции (ВЧЭС) осложнённого раневого процесса проводилась группой исследователей, включавшей сотрудников Сеченовского Университета и Федерального научно-клинического центра реаниматологии и реабилитологии.
Продолжительность исследования
Результаты данной работы оценивали за период с ноября 2021 по март 2022. В настоящее время исследование продолжается.
Описание медицинского вмешательства
Местное лечение во всех наблюдениях начинали с обработки ДЯ, направленной на удаление фибринового налёта, экссудата и некротизированных тканей (дебридинг). Пациентов слепо рандомизировали на две группы. В контрольной группе (n=7) проводили лечение по традиционной схеме с применением обычных антисептиков и мазей на полиэтиленоксидной основе. В основной группе (n=5) дополнительно выполняли процедуру ВЧЭС пролежней с помощью сертифицированного электрохирургического аппарата ЭХВЧ-250 («КиКМедимастер», Россия), генерирующего переменные токи радиочастотного диапазона (0,3–3,0 МГц) со следующим параметрами: мощность — 4 Вт, экспозиция — 4 с (рис. 1).
Рис. 1. Этап высокочастотной электростимуляции пролежня.
Fig. 1. Stage of high-frequency electrical stimulation of the bedsore.
Сеанс стимуляции пролежней проводили с помощью монополярного игольчатого электрода диаметром 0,3 мм, введённого в ткань на глубину 4 мм в соответствующую зону (здоровая кожа вокруг ДЯ, гранулирующие участки в дне пролежневой раны в шахматном порядке, на расстоянии от 0,8 до 1,0 см) (см. рис. 1).
Высокочастотную электростимуляцию проводили после предварительной санации поверхности ДЯ один раз в три дня или в более ранние сроки (по показаниям) с последующим закрытием язвы неабсорбирующей повязкой.
Для оценки осложнённого раневого процесса в обеих группах выполнены морфологические исследования перед началом терапии, на 14-й и на 28-й дни лечения. Тканевые биоптаты из краёв и дна пролежневых дефектов (по одному образцу из каждой зоны) фиксировали в 10% растворе формалина, а потом заливали в парафин. Срезы толщиной 3–4 мкм перед просмотром окрашивали гематоксилином и эозином. Для более детальной характеристики активности РП на фоне воздействия «высокими» энергиями микроскопия биоптата дополнялась иммуногистохимическим (ИГХ) анализом в трёх наблюдениях. Использованы моноклональные антитела в разведении 1:100 (Santa Cruz Biotechnology, США), универсальные полимерные системы N-Histofine® Simple Stain MAX PO (MULTI) (Nichirei, Япония). В ходе ИГХ-анализа изучали динамику следующих маркёров РП:
- коллаген I и III типа;
- VEGF (сосудистый эндотелиальный фактор роста);
- SMA (smooth muscle actin) — биохимический маркёр, экспрессируемый гладкомышечными элементами сосудов и миофибробластами.
Основной исход исследования
Основным исходом являлось появление морфологических признаков РП (неоангиогенез, полиморфно-ядерные лейкоциты межуточной ткани, пролиферация фибробластов).
Дополнительные исходы исследования
К дополнительным исходам относили результаты цитологического исследования, повторное инфицирование раны, результаты ИГХ-анализа.
Методы регистрации исходов
Подъём уровня вышеперечисленных показателей рассматривали в качестве достоверного критерия усиления РП в пролежневой ране. Проводили полуколичественную оценку интенсивности экспрессии маркёров в баллах для коллагенов (от 0 до 6), а также вычисляли процент окрашенных клеточных единиц на 300 стромальных клеток раны (для VEGF и SMA).
Этическая экспертиза
Работа проведена при одобрении Локального этического комитета Федерального научно-клинического центра реаниматологии и реабилитологии (выписка из Протокола № 1/21/5 от 17.03.2021 г.).
Статистический анализ
Размер выборки предварительно не рассчитывали. Статистический анализ выполнен при помощи программ Statistica 10.0 (StatSoft Inc., США), Microsoft Office Excel.
РЕЗУЛЬТАТЫ
Объекты (участники) исследования
В исследование включены 12 пациентов: 7 мужчин и 5 женщин, средний возраст — 47,5 года, возрастной диапазон — 38–67 лет, распределение по демографическому критерию носило асимметричный характер. Исходный статус всех пациентов расценивали как ХКС, для которого были типичны белково-энергетическая недостаточность, стойкая иммобилизация, инфекционно-септические осложнения (хронический пиелонефрит, хронические бронхиты и пневмонии и пр.), спастический синдром, дегенеративные изменения в суставах и необходимость применения протезирующих инвазивных систем. Непосредственной причиной ХКС чаще был обширный ишемический инсульт (8), реже — тяжёлая черепно-мозговая травма (3) и радикальные операции по удалению новообразований головного мозга (1) различной давности (от 3 мес до 1,5 лет).
У всех пациентов пролежневый дефект располагался в крестцовой области, имел протяжённость от 7 до 25 см2 (в среднем — 18,6 см2).
Основные результаты исследования
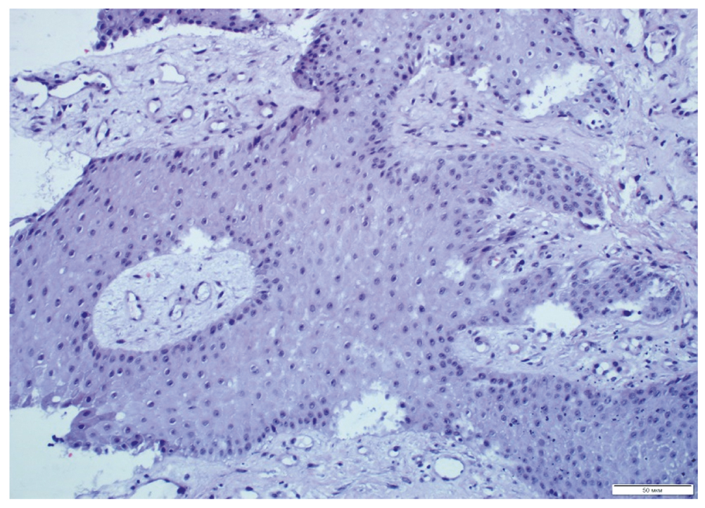
Изначально все пролежни имели вид открытых длительно незаживающих язвенно-некротических дефектов с выраженной воспалительной реакцией и очевидной стагнацией РП: налёты фибрина, очаги некроза, редкие локусы вялых грануляций, отёчные ригидные края, отсутствие краевой эпителизации, экссудация и т.п. При гистологическом исследовании биоптатов в препаратах краёв ДЯ в обеих группах отмечена зона фибриноидно-некротических изменений с подлежащим слоем незначительно выраженной грануляционной ткани, наблюдались явления отёка межуточной ткани, рассеянная инфильтрация полиморфно-ядерными лейкоцитами с примесью эозинофилов (рис. 2).
Рис. 2. Биоптат ткани дна пролежня перед началом лечения. Окраска гематоксилином и эозином.
Fig. 2. Biopsy of the bottom tissue of the bedsore before treatment. Stained with hematoxylin and eosin.
Новообразованных сосудов капиллярного типа не наблюдалось.
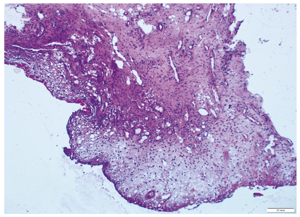
На 14-е сутки в основной группе в ходе микроскопии установлены признаки активации РП. В зоне фибриноидно-некротических изменений выявлен неоангиогенез в виде фрагментов грануляционной ткани; просматривались элементы полиморфно-ядерных лейкоцитов межуточной ткани (рис. 3).
Рис. 3. Биоптат ткани дна пролежня на 14-е сутки лечения с использованием высокочастотной электростимуляции. Окраска гематоксилином и эозином.
Fig. 3. Biopsy of the bottom of the bedsore on the 14th day of treatment using high-frequency electrical stimulation. Stained with hematoxylin and eosin.
В группе сравнения гистологическая картина очага за те же сроки практически не изменилась. Пролиферация фибробластов была выражена крайне слабо, а фибриноидно-некротические изменения сохранялись и были сравнимы с исходными.
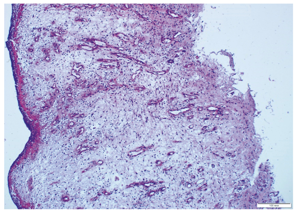
На 28-е сутки лечения с применением ВЧЭС в биоптатах ДЯ явно доминировали участки созревающей грануляционной ткани и зрелой соединительной ткани. Наблюдались выраженные регенераторные изменения покровного многослойного плоского эпителия (преимущественно с краёв) с явлениями акантоза и усилением неоангиогенеза капилляров (рис. 4).
Рис. 4. Биоптат ткани дна пролежня на 28-е сутки лечения с использованием высокочастотной электростимуляции. Окраска гематоксилином и эозином.
Fig. 4. Biopsy specimen of the bottom of the bedsore on the 28th day of treatment using high-frequency electrical stimulation. Stained with hematoxylin and eosin.
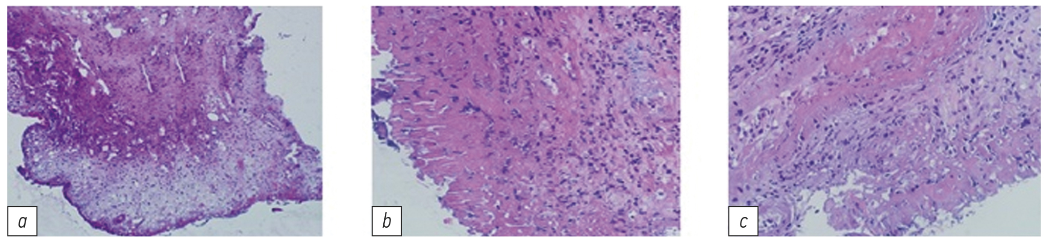
Созревающая грануляционная ткань замещала собой очаги фибриноидно-некротических изменений. В контрольной группе на фоне стандартной терапии морфологическая картина в те же сроки медленно и постепенно переходила в фазу структуризации: просматривались грануляции, однако более вялые и скудные, чем в основной группе. Отмечена очень слабая краевая эпителизация, сохранялись зоны некроза и микроциркуляторных расстройств (рис. 5).
Рис. 5. Гистология края декубитальной язвы (контрольная группа): a — 1-е сутки, ×300; b — 14-е сутки, ×400; c — 28-е сутки, ×400.
Fig. 5. Histology of the edge of the decubital ulcer (control group): a — day 1, ×300; b — day 14, ×400; c — day 28, ×400.
Анализ маркёров РП в ходе ИГХ-анализа показал, что до лечения коллаген I и III типа в дне и краях пролежневой язвы обнаруживался в экстрацеллюлярном матриксе лишь в виде незначительных отложений аморфных структур без формирования волокон. Типична минимальная экспрессия VEGF в эндотелии немногочисленных сосудов (до 15% стромальных клеток пролежневой раны), равно как и SMA.
На 14-й день после начала ВЧЭС в дне и краях пролежневой язвы выявляется уже умеренное увеличение количества коллагенов I и III типа (до 4 баллов каждого), которые формируют чёткие волокнистые структуры в экстрацеллюлярном матриксе. При этом более высокое содержание коллагенов замечено в краях ДЯ по сравнению с дном. В дне и краях раны зафиксировано повышение экспрессии маркёра VEGF по сравнению с начальным этапом, особенно в эндотелии сосудов капиллярного типа: количество стромальных клеток раны увеличилось на 30%. Количество маркёра SMA также увеличилось по сравнению с этапом до начала лечения (60% стромальных клеток раны). На этой промежуточной стадии отмечена наиболее высокая экспрессия данного маркёра.
На 28-й день в биоптатах дна и краёв пролежневой язвы основной группы отмечали умеренное увеличение количества коллагенов (до 6 баллов от каждого), которые формируют чёткие волокнистые структуры в экстрацеллюлярном матриксе. Заметно более высокое содержание коллагенов в краях пролежня по сравнению с дном. Уровень содержания коллагенов сравним с 14-м днём лечения. Экспрессия маркёра VEGF в эндотелии сосудов дна и краёв пролежневой язвы — более высокая по сравнению с 14-м днём лечения (70% стромальных клеток раны). Количество капилляров также увеличилось. Динамика экспрессии маркёра SMA также положительная по сравнению со стартовой точкой, но несколько хуже при сравнении с промежуточной точкой контроля (14-м днём терапии) (30% стромальных клеток раны).
Динамику маркёров РП в контрольной группе не оценивали.
Нежелательные явления
Нежелательных явлений не зарегистрировано.
ОБСУЖДЕНИЕ
Пролежни являются большим испытанием для пациентов с грубыми неврологическими нарушениями. Системный нейродистрофический процесс тормозит РП, фазы которого сильно растянуты во времени [7, 8]. Очевидны «старение» и истощение клеток регенераторного звена, наличие тяжёлых микроциркуляторных расстройств, нередко выходящих за пределы паравульнарной зоны, а также слабая динамика заживления на фоне традиционной терапии. Нередко при осмотре наблюдаются участки как некротической, так и грануляционной ткани [13, 14]. У тяжёлых больных длительное раневое истощение нередко приводит к сепсису с летальным исходом [2].
Гипотеза «раневого истощения» подтвердилась в анализе динамики морфологического исследования группы контроля: отмечены удлинение сроков образования грануляционной ткани, вялые процессы эпителизации.
В основной группе пациентов, получавших ВЧЭС-терапию, обнаружены ускоренная нормализация микроциркуляторного русла, более выраженный рост и созревание грануляционной ткани с формированием коллагеновых волокон I и III типа, при этом более выраженное накопление наблюдалось в области краёв пролежневой раны. Выраженный эффект активации формировался в период от 14-го до 28-го дня. Установлено, что данное лечение также стимулирует неоангиогенез: к 28-м суткам отмечена наиболее выраженная экспрессия VEGF эндотелием сосудов. Накопление в тканях миофибробластических элементов (SMA) в большем количестве обнаружено через 2 нед после начала комбинированной местной терапии ДЯ, что коррелирует с ускорением процессов репарации и краевой эпителизации по морфологическим данным в основной группе.
На сегодняшний день при местном лечении ДЯ предлагается широкий спектр терапевтических мероприятий, включающий использование специальных перевязочных средств, антисептиков, мазей, многокомпонентных раневых покрытий, физико-химических технологий. Однако эффективность многих из заявленных методик не всегда соответствует клиническим задачам, а высокая стоимость и трудоёмкость не добавляют им практической ценности. По этой причине поиск немедикаментозных методов терапии пролежней как составной части комплексного лечения ДЯ чрезвычайно актуален. Одним из перспективных способов немедикаментозного воздействия на осложнённый раневой процесс, и в частности на ДЯ, является активация РП в тканях проблемной зоны с помощью внутритканевого воздействия электрическими токами различного диапазона. В представленных ранее работах отмечена важная роль внутритканевых разрядов холодной плазмы инициируемым радиочастотным током с помощью специализированного устройства. По данным А.И. Пшеленской (2014), у пациентов с гнойными ранами промежности и крестцово-копчиковой зоны ВЧЭС стимулирует метаболические процессы и местный иммунитет [15]. Кроме того, электростимуляция позволяет «оживить» осложнённый процесс, стимулировать рост молодых клеточных элементов фибробластического ряда, их миграцию из паравульнарных зон (так называемый гальванотаксис), повысить коллаген-синтетическую активность клеток по всей площади ДЯ, а также эпителизацию дефектов [16–18]. В настоящей работе нами исследованы морфологические закономерности активации РП дозированным воздействием радиочастотного тока, позволившие выявить повышение регенераторного потенциала тканей за счёт усиленной выработки фибробластами коллагенов I и III типа, а также клеточных и эндотелиальных факторов роста по всей ДЯ.
Ограничения исследования
На протекание РП существенным образом могут оказать влияние:
- острые состояния (сепсис, септический шок, кровотечение любой локализации, повторное инфицирование раны);
- системные заболевания с нарушение метаболизма;
- нарушения локального или системного кровообращения.
ЗАКЛЮЧЕНИЕ
На фоне хронического критического состояния церебрального генеза раневой процесс в пролежнях неизбежно становится осложнённым. По данным морфологического исследования, для него характерны тяжёлая эндотелиальная дисфункция, глубокие нарушения микроциркуляции, истощение потенциала клеток миофибробластического ряда и дефицит факторов их роста. Применение локальной высокочастотной электростимуляции в качестве компонента комплексной терапии декубитальных язв позволяет заметно улучшить показатели репаративного процесса путём оптимизации его основных фаз.
ДОПОЛНИТЕЛЬНАЯ ИНФОРМАЦИЯ
Источник финансирования. Авторы заявляют об отсутствии внешнего финансирования при проведении исследования и подготовке публикации.
Конфликт интересов. Авторы декларируют отсутствие явных и потенциальных конфликтов интересов, связанных с публикацией настоящей статьи.
Вклад авторов. А.М. Шулутко — формирование стратегии и дизайна научной работы; Э.Г. Османов — написание текста статьи и окончательное редактирование; Е.Л. Алтухов, А.А. Яковлев, Ю.А. Боблак, Е.Г. Гандыбина, А.В. Горбачёва, А.Р. Паталова, С.Е. Хмырова, Н.Р. Хусаинова — поиск литературных источников по тематике работы, их перевод с английского языка, лечение пациентов и сбор клинического материала, формирование электронной базы данных.
Об авторах
Александр Михайлович Шулутко
Первый Московский государственный медицинский университет им. И.М. Сеченова (Сеченовский Университет)
Email: shulutko@mail.ru
ORCID iD: 0000-0002-8001-1601
д-р мед. наук, профессор
Россия, МоскваЭльхан Гаджиханович Османов
Первый Московский государственный медицинский университет им. И.М. Сеченова (Сеченовский Университет)
Email: mma-os@yandex.ru
ORCID iD: 0000-0003-1451-1015
SPIN-код: 7380-2781
д-р мед. наук, профессор
Россия, МоскваЕвгений Леонидович Алтухов
Федеральный научно-клинический центр реаниматологии и реабилитологии
Автор, ответственный за переписку.
Email: Ealtuhov@fnkcrr.ru
ORCID iD: 0000-0001-8306-2538
SPIN-код: 8150-3473
Россия, Москва
Алексей Александрович Яковлев
Федеральный научно-клинический центр реаниматологии и реабилитологии
Email: ayakovlev@fnkcrr.ru
ORCID iD: 0000-0002-8482-1249
SPIN-код: 2783-9692
канд. мед. наук
Россия, МоскваЮлия Александровна Боблак
Первый Московский государственный медицинский университет им. И.М. Сеченова (Сеченовский Университет)
Email: julia.boblak@icloud.com
ORCID iD: 0000-0001-7838-3054
SPIN-код: 7937-4241
Россия, Москва
Елена Геннадьевна Гандыбина
Первый Московский государственный медицинский университет им. И.М. Сеченова (Сеченовский Университет)
Email: alzas2007@rambler.ru
ORCID iD: 0000-0002-6765-5154
SPIN-код: 7590-2148
канд. мед. наук, доцент
Россия, МоскваАнна Владимировна Горбачева
Первый Московский государственный медицинский университет им. И.М. Сеченова (Сеченовский Университет)
Email: agorby11@yandex.ru
SPIN-код: 3557-4063
канд. мед. наук, доцент
Россия, МоскваАлла Рубеновна Паталова
Первый Московский государственный медицинский университет им. И.М. Сеченова (Сеченовский Университет)
Email: alisamay2000@mail.ru
ORCID iD: 0000-0003-2965-3091
SPIN-код: 4637-2071
канд. мед. наук, доцент
Россия, МоскваСветлана Евгеньевна Хмырова
Первый Московский государственный медицинский университет им. И.М. Сеченова (Сеченовский Университет)
Email: sunshine_h@rambler.ru
ORCID iD: 0000-0003-4455-6716
SPIN-код: 6570-4088
канд. мед. наук, доцент
Россия, МоскваНелли Ринатовна Хусаинова
Первый Московский государственный медицинский университет им. И.М. Сеченова (Сеченовский Университет)
Email: ssimovod@mail.ru
ORCID iD: 0000-0002-3695-0847
SPIN-код: 8212-6324
Россия, Москва
Список литературы
- Mervis J.S., Phillips T.J. Pressure ulcers: pathophysiology, epidemiology, risk factors, and presentation // J Am Acad Dermatol. 2019. Vol. 81, N 4. P. 881–890. doi: 10.1016/j.jaad.2018.12.069
- Ахтямова Н.Е. Лечение пролежней у малоподвижных пациентов // РМЖ. 2015. № 26. С. 1549–1552. EDN: VKGPHF
- Blackburn J., Ousey K., Taylor L., et al. The relationship between common risk factors and the pathology of pressure ulcer development: a systematic review // J Wound Care. 2020. Vol. 29, Suppl. 3. P. 4–12. doi: 10.12968/jowc.2020.29.Sup3.S4
- Jaul E., Barron J., Rosenzweig J.P., Menczel J. An overview of co-morbidities and the development of pressure ulcers among older adults // BMC Geriatr. 2018. Vol. 18, N 1. P. 305. doi: 10.1186/s12877-018-0997-7
- Басков А.В. Хирургическое лечение пролежней у больных со спинномозговой травмой // Вопросы нейрохирургии им. Н.Н. Бурденко. 2000. № 1. С. 30–33.
- Cho K.S., Lee J.H. Incidence and prevalence of pressure ulcers in hospitals: 10-year cohort study // J Wound Care. 2021. Vol. 30, N 12. P. 38–45. doi: 10.12968/jowc.2021.30.Sup12.S38
- Яковлев А.А. Объективизация выбора тактики лечения декубитальных язв у пациентов, находящихся в хроническом критическом состоянии, обусловленном поражением головного мозга: автореф. дис. ... канд. мед. наук. 2020.
- Белова А.Н., Прокопенко С.В. Нейрореабилитация: руководство для врачей. 3-е издание. Москва, 2010. 1288 с.
- Verdú-Soriano J., Berenguer-Pérez M., Quesada J.A. Trends in mortality due to pressure ulcers in Spain, over the period 1999–2016 // J Tissue Viability. 2021. Vol. 30, N 2. P. 147–154. doi: 10.1016/j.jtv.2021.03.007
- Ahtiala M.H., Kivimäki R., Laitio R., Soppi E.T. The association between pressure ulcer/injury development and short-term mortality in critically ill patients: a retrospective cohort study // Wound Manag Prev. 2020. Vol. 66, N 2. P. 14–21. doi: 10.25270/wmp.2020.2.1421
- Alam W., Hasson J., Reed M. Clinical approach to chronic wound management in older adults // J Am Geriatr Soc. 2021. Vol. 69, N 8. P. 2327–2334. doi: 10.1111/jgs.17177
- Sami D.G., Abdellatif A. Histological and clinical evaluation of wound healing in pressure ulcers: a novel animal model // J Wound Care. 2021. Vol. 30, Suppl. 6. P. 12–21. doi: 10.12968/jowc.2021.30.Sup6.S12
- Супильников А.А., Девяткин А.А., Павлова О.Н., Гуленко О.Н. Морфологические и физиологические аспекты течения раневого процесса (литературный обзор) // Вестник медицинского института «РЕАВИЗ». 2016. № 23. С. 26–30.
- Boyko T.V., Longaker M.T., Yang G.P. Review of the current management of pressure ulcers // Adv Wound Care (New Rochelle). 2018. Vol. 7, N 2. P. 57–67. doi: 10.1089/wound.2016.0697
- Пшеленская А.И. Применение высокочастотной электростимуляции в лечении открытых ран промежности и крестцово-копчиковой области: автореф. дис. ... канд. мед. наук. 2014.
- Kloth L.C. Electrical stimulation technologies for wound healing // Adv Wound Care (New Rochelle). 2014. Vol. 3, N 2. P. 81–90. doi: 10.1089/wound.2013.0459
- Konstantinou E., Zagoriti Z., Pyriochou A., Poulas K. Microcurrent stimulationtriggers MAPK signaling and TGF-β1 release in fibroblast and osteoblast-like cell lines // Cells. 2020. Vol. 9, N 9. P. 1924. doi: 10.3390/cells9091924
- Arora M., Harvey L.A., Glinsky J.V., et al. Electrical stimulation for treating pressure ulcers // Cochrane Database Syst Rev. 2020. Vol. 1, N 1. P. 21–96. doi: 10.1002/14651858.CD012196.pub2
Дополнительные файлы







