Microglia and macrophages in the human pineal gland
- Authors: Sufieva D.A.1, Fedorova E.A.1, Yakovlev V.S.1, Grigorev I.P.1, Korzhevskii D.E.1
-
Affiliations:
- Institute of Experimental Medicine
- Issue: Vol 30, No 5 (2024)
- Pages: 455-463
- Section: Original Research Articles
- Submitted: 25.07.2024
- Accepted: 22.09.2024
- Published: 20.11.2024
- URL: https://medjrf.com/0869-2106/article/view/634587
- DOI: https://doi.org/10.17816/medjrf634587
- ID: 634587
Cite item
Abstract
BACKGROUND: Over the past two decades, inflammatory responses in the central nervous system (CNS) have been shown to play a role in the etiology of most neurological and psychiatric diseases, as well as in the aging process. Microglia and macrophages are the most important immune cells in the CNS. In contrast to the role of microglia and macrophages in various parts of the CNS, the human pineal gland has not been studied.
AIM: To evaluate the morphological characteristics, types and localization of microglial cells in the human pineal gland by immunohistochemistry.
MATERIALS AND METHODS: The study was performed using samples of a pineal gland of the human brain obtained in individuals between the ages of 16 and 61 years (n=7). Immunohistochemistry was performed on pineal gland sections using antibodies against Iba1 and TMEM119, selective markers for microgliocytes. Statistical methods were used to evaluate the frequency of immunostained cells.
RESULTS: The majority of phagocytic cells identified by immunohistochemistry were found to be microglia and not macrophages. Microglia are represented by both inactive and activated forms. Microglia in the human pineal gland are typically localized in connective tissue trabeculae, both near and far from blood vessels. Microgliocytes are also found in the pineal parenchyma in the hormone-synthesizing cells of the pinealocytes. The number of Iba1 and especially TMEM119 immunoreactive cells decreased significantly with age.
CONCLUSION: This study is the first to evaluate microglia and macrophages in the human pineal gland. The prevalence of microglial cells over macrophages was found. The morphological characteristics and localization of the identified microglial cell types suggest their involvement primarily in immune defense and probably also in the regulation of pinealocyte functions. In addition, there are data suggesting the involvement of microglial cells in the development of inflammation in the human pineal gland during aging.
Keywords
Full Text
BACKGROUND
The pineal gland (also known as the pineal body or epiphysis cerebri) is a small unpaired neuroendocrine organ located in the posterior part of the third brain ventricle between the posterior commissure and the dorsal habenular commissure. It is one of the largest structures of the epithalamus [1]. The main hormone of the pineal gland is melatonin, which is synthesized cyclically (with a peak level at night). This determines the role of the pineal gland in the regulation of various body systems and processes (such as a sleep/wake cycle), its neuroprotective and antioxidant activities and effects on the reproductive and immune systems [2]. The pineal gland in humans has a lobular structure; parenchyma, bounded by connective tissue trabeculae, is predominantly follicular or, less commonly, insular. Pinealocytes, neurosecretory cells that produce melatonin, are the main cells contained in the pineal gland. The pineal gland is composed of a local population of glial cells which include astrocyte-like cells and microglia. Mast cells can also be found [1, 3].
The study of microglia, the immune cells of the brain, is currently one of the most important areas of neurobiology. These cells play a key role in protective mechanisms in the central nervous system (CNS), such as synthesis of pro- and anti-inflammatory cytokines, phagocytosis of pathogens and dead cells, maintenance of homeostasis of surrounding tissues, and regulation of physiological and pathophysiological processes in the brain [4]. In addition, microglia play an essential role in inflammaging, neuroinflammation during aging, so these cells are the focus of studies investigating age-related CNS changes [5].
The ionized calcium-binding adapter molecule 1 (Iba1) is one of the most widely used markers for microglia. However, Iba1 is also found in brain macrophages such as meningeal macrophages, perivascular macrophages, and choroid plexus macrophages. These cells differ from microglia in both origin and function [6]. Recently (2016), TMEM119 (transmembrane protein 119) was proposed as a highly selective microglial marker. The use of these two microglia/macrophage markers helps better understand the cellular composition of the pineal gland [6, 7].
Despite the great interest in microglial research, only a few studies have been performed on this cell population in the pineal gland and only in rats [8]. The morphological and functional organization of microglia in the human pineal gland remains poorly elucidated.
The aim of the study was to investigate human brain pineal cells responding to the microglial markers Iba1 and TMEM119.
MATERIALS AND METHODS
The study used tissue samples of the pineal gland (n=7) of subjects aged 16 to 61 years, obtained from the archives of the Department of General and Special Morphology of the Federal State Budgetary Scientific Institution “Institute of Experimental Medicine” (Statement of the Local Ethics Committee No. 58-9/1-684 dated 11 December 2009).
Human pineal samples were fixed in ethanol-formaldehyde and zinc-ethanol-formaldehyde and embedded in paraffin using standard techniques. Sections were cut at 7 μm using a Microm HM 325 rotary microtome (Thermo Scientific, USA) and mounted on slides using HistoBond+M (Paul Marienfeld GmbH & Co, Germany).
Recombinant rabbit monoclonal anti-Iba1 antibody (JM36-62 clone; HUABIO, China) at 1:900 dilution and rabbit polyclonal anti-TMEM119 antibody (Abcam, UK) at 1:1000 dilution were used for immunohistochemistry of human pineal samples. Goat anti-rabbit horseradish peroxidase (HRP)-conjugated antibodies from the Mouse and Rabbit Specific HRP/DAB (ABC) Detection IHC Kit containing 3.3-diaminobenzidine (DAB) chromogen and secondary HRP-labeled antibodies (Abcam, UK) were used as secondary reagents. DAB from the DAB + kit (Dako, Denmark) was used to visualize the immunohistochemical reaction product. Nuclei were stained with alum hematoxylin. Samples were analyzed using a Leica DM750 microscope with an ICC50 digital camera (Leica Microsystems, Germany).
Serial sections stained for Iba1 and TMEM119 were quantitatively analyzed. A total of 4 cases in patients aged 16, 20, 35, and 61 years were included. Immunopositive cells were counted in 5 fields of view for each case.
Statistical data processing. Data are presented as a mean ± a standard error of the mean (SEM). Counts of Iba1 and TMEM119 immunopositive cells were compared using the paired t-test. One-way analysis of variance (ANOVA) and post hoc analysis using the Tukey test were performed to compare age-related differences in the counts of Iba1- and TMEM119-immunoreactive cells. Differences were considered to be significant at p <0.05.
RESULTS
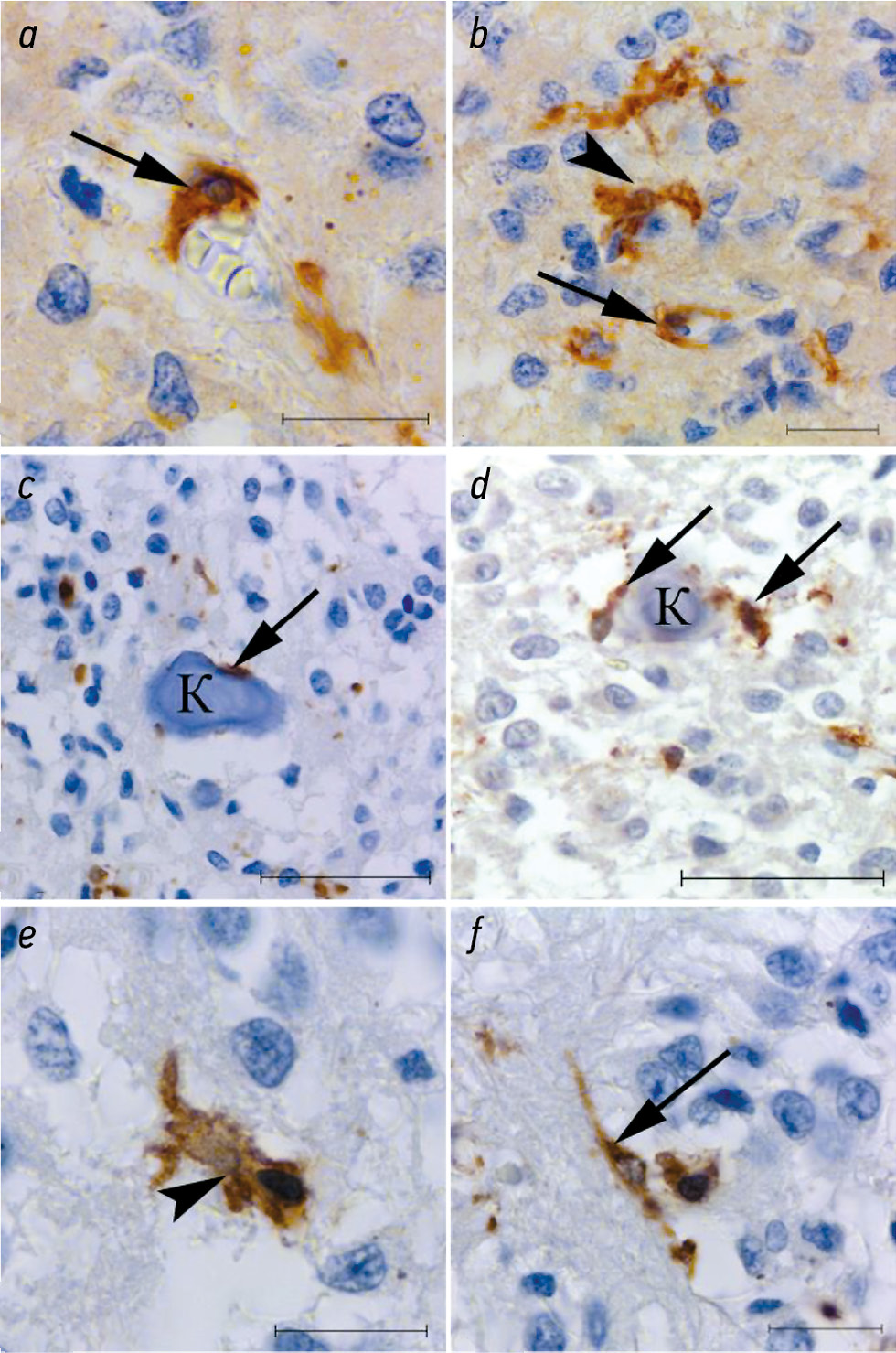
A study of human pineal samples stained for Iba1 showed that this marker is uniformly distributed in the bodies and processes of microglial cells, allowing characterization of their morphology. Iba1-immunoreactive cells in the pineal gland are found to be unevenly located and predominantly observed in connective tissue trabeculae (Fig. 1, a). Iba1-immunopositive cells are typically visualized in the area of blood vessels. These cells have the morphology of typical perivascular microglia: a spindle shape and two polar long unbranched processes (Fig. 1, c; Fig. 1, d, single arrow). Microglia located on either side of the boundary between the connective tissue trabeculae and the epiphyseal parenchyma have the same morphology (Fig. 2, f). Iba1-immunopositive cells are rarely observed in the parenchyma of the human pineal gland. They are most often represented by oval-shaped cells with multidirectional processes and can be classified as a ramified, or branched, microglia (see Fig. 1, c, double arrow). There are round IBA1-immunoreactive cells, either without processes or with short and thick processes; they can be classified as activated or amoeboid microglia (see Fig. 1, d, arrowheads).
Fig. 1. Preferential localization of microglia/macrophages in the trabeculae of the pineal gland of the human brain. Immunohistochemical reaction for Iba1 (a, c, d) and TMEM119 (b); nuclei stained with alum hematoxylin; a, b — difference in the number of Iba1- and TMEM119-immunopositive cells on consecutive sections of the pineal gland; c, d — different morphotypes of microglia: single arrow (d) indicates perivascular microglia, double arrow — ramified microglia, arrow heads — amoeboid microglia. The scale bar is 200 μm (a, b); 50 μm (c), and 20 μm (d).
Fig. 2. Microglia of the human pineal gland. Immunohistochemical reaction to TMEM119 (a, b, d) and Iba-1 (b, e, f). Nuclei are stained with alum hematoxylin. Arrows indicate perivascular microglia (a, b); microglia adjacent to calcificates — К (c, d); microglia localized at the border of trabecula and parenchyma (f); arrow heads indicate phagocytic microglia (b, e). The scale bar is 20 μm.
Based on immunohistochemical reactions to TMEM119, this marker was found to be uniformly distributed in the bodies and processes of microglia. TMEM119-immunopositive cells are characterized by the round or oval body and usually thick, branched processes (Fig. 2, a, b). TMEM119-immunopositive microglia were also detected predominantly in trabeculae and had the morphology of perivascular microglia in the area of blood vessels (see Fig. 2, a, b).
In all human pineal samples, dense inclusions were observed in the parenchyma with varying frequencies. These were calcified concretions called “brain sand” or acervuli (corpora arenacea). In pineal Iba1- and TMEM119-immunoreactive cells, only a small number of isolated cells were observed near and possibly adjacent to the calcifications (Fig. 2, c, d). Phagocytic microglia were also detected, with their processes surrounding neighboring cells with pyknotic nuclei (Fig. 2, b, e).
In samples obtained in older subjects (over 60 years of age), the count of Iba1- and TMEM119-immunopositive cells was significantly decreased. At that, TMEM119-immunoreactive microglia form clusters, usually along the periphery of the organ. Iba1-immunopositive cells are predominantly round in shape and lack processes. A pineal tissue sample of an elderly person showed a large number of neuromelanin granules.
Visual inspection of serial sections stained for Iba1 and TMEM119 showed the greater number of Iba1-immunoreactive cells compared to TMEM119-immunopositive cells (see Fig. 1, a; Fig. 1, b). However, statistically significant differences (when using the paired t-test) were found only for the sample obtained in a 61-year-old subject. When the age-dependent counts of Iba1- and TMEM119-immunoreactive cells were compared using ANOVA (followed by the post hoc analysis using the Tukey test), statistically significant individual differences were found in the counts of Iba1-immunoreactive cells between samples of subjects aged 16 and 20 years and in the counts of TMEM119-immunoreactive cells between samples of subjects aged 20 and 61 years (p <0.05).
DISCUSSION
The study of immune cells of the CNS represents a significant area of contemporary neurobiology, so the urgent research problem is to select appropriate approaches and markers for the analysis of immune cells in the region of interest. The immunohistochemical microglia/macrophage markers used in this study have several advantages. Iba1 is a marker for both microglia and macrophages of the CNS, whereas TMEM119 is a highly selective marker for microglia only. Both markers detect both bodies and processes of the study cells, and cell activity can be assessed indirectly based on morphological features. Microglial cells characterized by a small soma and long thin branching processes are classified as ramified or resting microglia. Microglia characterized by larger bodies and short thick weakly branching processes are classified as amoeboid or activated microglia.
However, these markers also have some limitations. The use of the Iba1 marker alone does not distinguish between microglial and macrophage populations, which are known to differ in origin, some physiological and functional characteristics, and expressed marker proteins [9]. In inflammatory processes, TMEM119 expression is suppressed in proinflammatory microglial cells (M1), which substantially complicates the use of this marker in neuroinflammatory studies [7, 10, 11]. Such marker characteristics should be considered when conducting immunohistochemical reactions and interpreting the data obtained.
This study found that the vast majority of phagocytic cells in the structurally normal human pineal gland are not macrophages, but microglia, represented by both resting (ramified) microglia and activated microglia with few processes. Morphologic evaluation and quantitative comparison of Iba1- and TMEM119-immunopositive cells showed that Iba1-immunopositive cells were consistently detected in greater numbers than TMEM119-immunopositive cells, although statistically significant differences were reported only in older subjects. This may indicate that either macrophages represent a small part of the total immune cell pool in the human pineal glands, or that microglia in all pineal samples studied are proinflammatory M1 cells [12].
Microglia in the pineal gland were usually found in connective tissue trabeculae, where the vast majority of pineal blood vessels are located. The local cells had perivascular microglial morphology including the spindle shape with two polar long unbranched processes extending along the vessel. The pineal gland is a secretory structure and therefore has a dense network of blood vessels, making it one of the most vascularized human organs [3]. Perivascular microglia are thought to control substances coming from the bloodstream and protect the pineal gland from potential pathogens, which explains the preferential location of these microglia in the area of blood capillaries. The study [13] demonstrates the role of microglia in the regulation of local cerebral circulation through the synthesis of cytokines that can alter the width of the capillary lumen. Ibañez Rodriguez et al. [14] found that microglia may be involved in phagocytosis of blood vessel fragments not only during embryogenesis and in young animals, but also in adult animals.
Microglia in connective tissue trabeculae were also located far from blood vessels within the trabeculae or at the border with the parenchyma, most likely along collagen fibers, which form a network within the trabeculae and have different distribution densities, as previously shown [15]. Recent studies have shown that microglia are involved in the targeted degradation of the extracellular matrix through the secretion of metalloproteinases and other enzymes, which is necessary to regulate the plasticity of synaptic connections [16, 17]. The extracellular matrix is a dynamic network of proteins (such as collagens) and proteoglycans that plays a pivotal role in maintaining the structural integrity of tissues and can be remodeled during disease and injury [16]. Several studies have shown that the extracellular matrix in different brain regions varies significantly in amount, composition, and degree of remodeling during aging [17]. Microglia have been shown to be involved in extracellular matrix remodeling in stroke, Alzheimer's disease, and Huntington's chorea [16]. Physiological aging has been shown to reduce the release of metalloproteinases and other enzymes by microglia degrade the extracellular matrix, leading to its excessive deposition in the perisynaptic region, a decrease in the structural plasticity of neuronal networks, and deterioration in cognitive function [17]. The observed decrease in microglia count (Fig. 3) and functional activity may be one of the factors responsible for excessive collagen fiber formation in the human pineal gland during physiological aging [15].
Fig. 3. Age-related changes in the number of Iba1- and TMEM119-immunoreactive cells in the human pineal gland. Data are expressed as mean ± standard error, * p <0.05.
Our study indicates that microglia in the pineal parenchyma are predominantly represented by the ramified (resting) cells, although activated forms of microglia with few processes are also found. The location of microglial cells among pinealocytes suggests their involvement in regulating the functional activity of melatonin-synthesizing pinealocytes. This is also confirmed by literature data. For example, in a cell culture of one-day-old Sprague Dawley rats, microglia were shown to interact with pinealocytes and influence both the structure and function of these cells [18]. The authors showed that co-culture of microglia and pinealocytes reduced the length of pinealocyte processes and increased the level of serotonin, a precursor of melatonin, in the medium at 7 days [18]. Another study found that microglia influence the functional status of pinealocytes through the synthesis of some cytokines, thereby modulating the function of the pineal gland [19]. The already mentioned study by Ibañez Rodriguez et al. [14] showed that microglial cells are capable of phagocytosing serotonin-containing nerve fibers of the pineal gland.
If the pool of phagocytic cells in structurally intact pineal glands of young and middle-aged subjects is mainly represented by microglia, then the count of TMEM119-immunoreactive cells decreased (p <0.05 for individual comparisons) and the count of Iba1-immunoreactive cells increased significantly (p <0.05) with age compared to TMEM119-immunoreactive cells. The decreased count of TMEM119-immunopositive cells during aging may be related to the increased count of proinflammatory microglia that suppress TMEM119 synthesis [11, 14]. A second explanation for the decreased count of TMEM119-immunoreactive cells may be that with age, macrophages differentiating from peripheral blood monocytes are recruited to the pineal gland, also as a result of age-related neuroinflammation [14].
Our study shows that a small pool of microglia contacts and adjoins to calcifications. The interaction of microglia and calcifications in the pineal gland has not been previously studied. However, the development of calcifications and microglia has been studied in other parts of the CNS (choroid plexus, habenula, basal ganglia, hippocampus, and meninges) [20]. In addition, Maheshwari et al. [20] showed that calcifications in these brain areas are usually associated with the walls of blood vessels. Moreover, both animals and humans with mutant genes involved in microglial development and function have been observed to exhibit intracerebral calcifications [20]. Microglia are supposed to play an important role in the calcification control by regulating formation of insoluble calcium salt deposits (which are thought to be calcification lesions), either by removal of apoptotic cells or by proteostasis of the extracellular matrix [20].
CONCLUSION
The microglia/macrophage markers Iba-1 and TMEM119 were employed to provide the inaugural characterization of human pineal immune cells and to establish heterogeneity within the human pineal microglia population. Most phagocytic cells were found to be microglia (both resting and activated) and not macrophages . Microglia in the human pineal gland are typically localized in connective tissue trabeculae, both at and away from blood vessels. Microglia are also found in the pineal parenchyma and may be adjacent to calcifications. Microglia are thought to play an important role in controlling calcification in the CNS, including the pineal gland. The functional heterogeneity of microglial cells is suggested by the different locations of microglia and heterogeneity of morphotypes observed in the pineal gland. The presence of activated and phagocytic microglia suggests their active role in maintaining the homeostasis of the surrounding tissues and the activity of pinealocytes, which indicate multiple functions of microglia and confirms the hypothesis of their key role in regulating the neuroendocrine function of the pineal gland. Further studies of pineal microglia and macrophages (using both experimental animals and human material) are required with morphological, cytochemical, and functional testing to understand the role of each type of microglia and macrophages in maintaining the tissue and functional integrity of the pineal gland and to assess the contribution of these cells to pathological neuroinflammation, which can lead to dysfunction of the pineal gland.
ADDITIONAL INFORMATION
Funding source. The research was performed within the framework of the state assignment FGBSI “Institute of Experimental Medicine” (No. FGWG-2024-0015).
Competing interests. The authors claim that there is no conflict of interest in the article.
Authors’ contribution. All authors confirm compliance of their authorship with the international ICMJE criteria. The largest contribution is distributed as follows: D.A. Sufieva — data analysis, manuscript writing; E.A. Fedorova — material collecting and processing, data analysis; V.S. Yakovlev — material collecting and processing; I.P. Grigorev — study conception and design, manuscript writing and editing; D.E. Korzhevskii — study conception and design, manuscript editing.
Ethics approval. The present study protocol was approved by the local Ethics Committee of the Institute of Experimental Medicine (No. 3/24 by 20.06.2024).
About the authors
Dina A. Sufieva
Institute of Experimental Medicine
Author for correspondence.
Email: dinobrione@gmail.com
ORCID iD: 0000-0002-0048-2981
SPIN-code: 3034-3137
Cand. Sci. (Biology)
Russian Federation, Saint PetersburgElena A. Fedorova
Institute of Experimental Medicine
Email: el-fedorova2014@yandex.ru
ORCID iD: 0000-0002-0190-885X
SPIN-code: 5414-4122
Scopus Author ID: 36901775900
ResearcherId: B-1671-2012
Cand. Sci. (Biology)
Russian Federation, Saint PetersburgVladislav S. Yakovlev
Institute of Experimental Medicine
Email: 1547053@mail.ru
ORCID iD: 0000-0003-2136-6717
SPIN-code: 7524-9870
Russian Federation, Saint Petersburg
Igor P. Grigorev
Institute of Experimental Medicine
Email: ipg-iem@yandex.ru
ORCID iD: 0000-0002-3535-7638
SPIN-code: 1306-4860
Cand. Sci. (Biology)
Russian Federation, Saint PetersburgDmitrii E. Korzhevskii
Institute of Experimental Medicine
Email: dek2@yandex.ru
ORCID iD: 0000-0002-2456-8165
SPIN-code: 3252-3029
Scopus Author ID: 12770589000
ResearcherId: C-2206-2012
MD, Dr. Sci. (Medicine), Professor of Russian Academy of Sciences
Russian Federation, Saint PetersburgReferences
- Norman AW, Henry HL. The pineal gland // Hormones. 3rd ed. London, England: Academic Press; 2015. P. 351–361. doi: 10.1016/B978-0-08-091906-5.00016-1
- Markus RP, Fernandes PA, Kinker GS, et al. Immune-pineal axis — acute inflammatory responses coordinate melatonin synthesis by pinealocytes and phagocytes. Br J Pharmacol. 2018;175(16):3239–3250. doi: 10.1111/bph.14083
- Duvernoy HM, Parratte B, Tatu L, Vuillier F. The human pineal gland: relationships with surrounding structures and blood supply. Neurol Res. 2000;22(8):747–790. doi: 10.1080/01616412.2000.11740753
- Wolf SA, Boddeke HW, Kettenmann H. Microglia in physiology and disease. Annu Rev Physiol. 2017;79:619–643. doi: 10.1146/annurev-physiol-022516-034406
- Gao C, Jiang J, Tan Y, Chen S. Microglia in neurodegenerative diseases: mechanism and potential therapeutic targets. Signal Transduct Target Ther. 2023;8(1):359. doi: 10.1038/s41392-023-01588-0
- Jurga AM, Paleczna M, Kuter KZ. Overview of general and discriminating markers of differential microglia phenotypes. Front Cell Neurosci. 2020;14:198. doi: 10.3389/fncel.2020.00198
- Guselnikova VV, Fedorova EA, Safray AE, et al. Distribution of transmembrane protein 119 (TMEM-119) in microgliocytes of human cerebral cortex with amyloid plaques. Biologicheskie Membrany. 2021;38(5):340–350. EDN: IVUNUM doi: 10.31857/S0233475521040058
- Muñoz EM. Microglia in circumventricular organs: the pineal gland example. ASN Neuro. 2022;14:17590914221135697. doi: 10.1177/17590914221135697
- DePaula-Silva AB, Gorbea C, Doty DJ, et al. Differential transcriptional profiles identify microglial- and macrophage-specific gene markers expressed during virus-induced neuroinflammation. J Neuroinflammation. 2019;16(1):152. doi: 10.1186/s12974-019-1545-x
- González Ibanez F, Picard K, Bordeleau M, et al. Immunofluorescence staining using IBA1 and TMEM119 for microglial density, morphology and peripheral myeloid cell infiltration analysis in mouse brain. J Vis Exp. 2019;(152). doi: 10.3791/6449 Erratum in: J Vis Exp. 2019;(152). doi: 10.3791/60510
- Kenkhuis B, Somarakis A, Kleindouwel LRT, et al. Co-expression patterns of microglia markers Iba1, TMEM119 and P2RY12 in Alzheimer's disease. Neurobiol Dis. 2022;167:105684. doi: 10.1016/j.nbd.2022.105684
- Satoh J, Kino Y, Asahina N, et al. TMEM119 marks a subset of microglia in the human brain. Neuropathology. 2016;36(1):39–49. doi: 10.1111/neup.12235
- Bisht K, Okojie KA, Sharma K, et al. Capillary-associated microglia regulate vascular structure and function through PANX1-P2RY12 coupling in mice. Nat Commun. 2021;12(1):5289. doi: 10.1038/s41467-021-25590-8
- Ibañez Rodriguez MP, Noctor SC, Muñoz EM. Cellular basis of pineal gland development: emerging role of microglia as phenotype regulator. PLoS One. 2016;11(11):e0167063. doi: 10.1371/journal.pone.0167063
- Sufieva DA, Fedorova EA, Yakovlev VS, Grigorev IP. Immunohistochemical study of human pineal vessels. Medical Academic Journal. 2023;23(2):109–118. EDN: RETHOC doi: 10.17816/MAJ352563
- Crapser JD, Arreola MA, Tsourmas KI, Green KN. Microglia as hackers of the matrix: sculpting synapses and the extracellular space. Cell Mol Immunol. 2021;18(11):2472–2488. doi: 10.1038/s41423-021-00751-3
- Nguyen PT, Dorman LC, Pan S, et al. Microglial remodeling of the extracellular matrix promotes synapse plasticity. Cell. 2020;182(2):388–403.e15. doi: 10.1016/j.cell.2020.05.050
- Tsai SY, McNulty JA. Microglia in the pineal gland of the neonatal rat: characterization and effects on pinealocyte neurite length and serotonin content. Glia. 1997;20(3):243–253. doi: 10.1002/(sici)1098-1136(199707)20:3<243::aid-glia8>3.0.co;2-8
- Tsai SY, O'Brien TE, McNulty JA. Microglia play a role in mediating the effects of cytokines on the structure and function of the rat pineal gland. Cell Tissue Res. 2001;303(3):423–431. doi: 10.1007/s004410000330
- Maheshwari U, Huang SF, Sridhar S, Keller A. The interplay between brain vascular calcification and microglia. Front Aging Neurosci. 2022;14:848495. doi: 10.3389/fnagi.2022.848495
Supplementary files






