Drug-associated nephrotic syndrome in a child with Wilson's disease
- Authors: Paunova S.S.1,2, Labutina N.V.2, Zubavina M.N.2, Shibilova M.M.2, Skvortsova T.A.2, Strokova T.V.1,3, Bagaeva M.E.1,3, Nikitin A.V.2, Do Egito C.K.2, Safina A.I.4, Daminova M.A.4, Khoreva M.V.1, Rusova M.A.1, Semenova N.А.5
-
Affiliations:
- Pirogov Russian National Research Medical University
- Morozov Children's Municipal Clinical Hospital
- Federal Research Center of Nutrition, Biotechnology and Food Safety
- Russian Medical Academy of Continuous Professional Education
- Research Centre for Medical Genetics
- Issue: Vol 31, No 1 (2025)
- Pages: 85-93
- Section: Case reports
- Submitted: 16.10.2024
- Accepted: 15.11.2024
- Published: 17.02.2025
- URL: https://medjrf.com/0869-2106/article/view/637112
- DOI: https://doi.org/10.17816/medjrf637112
- ID: 637112
Cite item
Abstract
BACKGROUND: Wilson's disease (WD) (synonyms: Wilson–Konovalov disease, hepatolenticular degeneration, hepatocerebral dystrophy) is a rare, severe, hereditary multisystem disorder that manifests itself primarily in liver, neurological, and psychiatric disorders due to excessive copper deposition in organs and tissues. The long latent course and polymorphism of clinical symptoms make diagnostics difficult. WD manifests itself in childhood, adolescence, and later in life. WD diagnostics is based on a combination of clinical symptoms, laboratory test data (determination of ceruloplasmin levels in the blood, copper excretion in the urine), and molecular genetic testing.
Complex treatment of WD primarily involves adherence to a copper-eliminating diet. A mandatory condition for the effectiveness of treatment of patients with WD is lifelong chelation therapy. The drug of choice in all age groups is penicillamine (a penicillin derivative), which has a significant number of side effects. Adverse reactions against the background of penicillamine therapy develop in about 30% of cases. These include changes in the nervous system (loss of taste, pyridoxine-deficiency polyneuritis), respiratory system (interstitial pneumonitis, diffuse fibrosing alveolitis, Goodpasture's syndrome), digestive system (decreased appetite, nausea, vomiting, diarrhea, aphthous stomatitis, glossitis, intrahepatic cholestasis, pancreatitis), kidneys (nephritis, nephrotic syndrome, hematuria).
CLINICAL CASE DESCRIPTION: The case history of a 6-year-old girl with WD is analyzed. The peculiarity of the clinical case presented by us is the latent course of the disease, which was suspected when cytolysis syndrome was detected in connection with an examination for episodic abdominal pain. Further examination showed a decrease in the concentration of ceruloplasmin, initially borderline values of copper excretion in urine, and questionable values in the penicillamine test. Molecular genetic testing was important for establishing the diagnosis, and confirming the diagnosis. Prescribed chelation therapy with penicillamine led to the normalization of cytolysis syndrome parameters, but caused serious adverse events in the form of nephrotic syndrome, which required replacing penicillamine with trientine and prescribing glucocorticoids. Against the background of treatment correction, stable clinical and laboratory remission of nephrotic syndrome was achieved with satisfactory renal and liver function parameters and no manifestations of cytolysis.
CONCLUSION: A moderate increase in biochemical markers of cytolysis, cholestasis, and bilirubin concentration, refractory to standard treatment, requires in-depth examination, including molecular genetics, to exclude WD. If side effects of penicillamine derivatives are detected, immediate correction of pathogenetic therapy with replacement of the chelating drug is necessary.
Full Text
BACKGROUND
Wilson disease (WD) (also called Wilson–Konovalov disease, hepatolenticular degeneration, and hepatocerebral dystrophy) is a rare (orphan) severe hereditary multisystem disorder characterized primarily by hepatic, neurological, and psychiatric abnormalities due to excessive deposition of copper in organs and tissues [1, 2].
According to the Federal Register of Orphan Diseases1, only 572 and 602 patients with a diagnosis of WD were registered in Russia in 2014 and 2015, respectively, corresponding to 0.39 and 0.41 per 100,000 population (with children comprising 16.9%) [3]. The actual prevalence of the disease is presumed to be higher.
The prolonged latent course and heterogeneic clinical presentation pose diagnostic challenges. WD may manifest in childhood, adolescence, or adulthood. In most patients, clinical manifestations first occur between the age of 10 and 20. However, cases of initial symptoms have been reported as early as age 5 and as late as age 70 [2, 4, 5].
Comprehensive treatment of WD primarily involves a low-copper diet (avoiding copper-containing foods and copper cookware). Lifelong chelation therapy is also mandatory to ensure the treatment is effective. The drug of choice across all age groups is penicillamine (a penicillin derivative).
Adverse reactions with penicillamine occur in approximately 30% of cases. These reactions may involve the nervous (ageusia, pyridoxine-deficient polyneuritis), respiratory (interstitial pneumonitis, diffuse fibrosing alveolitis, Goodpasture syndrome), and gastrointestinal systems (loss of appetite, nausea, vomiting, diarrhea, aphthous stomatitis, glossitis, intrahepatic cholestasis, pancreatitis), and kidneys (nephritis, nephrotic syndrome, hematuria) [6].
From 1964 to 2023, fewer than 30 publications have addressed the impact of penicillamine on renal function in children, with most of these publications being limited to clinical case reports.
The aim of this publication is to describe a rare clinical case of nephrotic syndrome in a 6-year-old girl with WD that developed 6 months after the initiation of penicillamine therapy.
CLINICAL CASE DESCRIPTION
A 6-year-old girl undergoing outpatient examination due to periodic abdominal pain was found to have mildly elevated transaminase levels (alanine aminotransferase, 104 U/L; aspartate aminotransferase, 60 U/L) and ultrasonographic signs of hepatomegaly. Viral hepatitis B and C were ruled out. Hepatoprotective and choleretic agents administered for 2 months produced no significant effect: cytolytic syndrome persisted, with alanine aminotransferase and aspartate aminotransferase levels 1.5–2.0 times above the upper limit of normal (ULN) and unchanged ultrasound (US) findings detected earlier. Serum ceruloplasmin was decreased (3 mg/dL; normal range: 20–60 mg/dL), and baseline urinary copper excretion was 50 µg/day.
The child was referred to the Department of Pediatric Gastroenterology, Hepatology, and Diet Therapy at the Federal Research Center for Nutrition, Biotechnology, and Food Safety with complaints of occasional, moderate, poorly localized abdominal pain unrelated to food intake, which resolved spontaneously, and with changes in blood biochemistry, including cytolytic syndrome and decreased ceruloplasmin concentration.
Diagnostic assessment
Physical examination revealed average and proportional physical development (body mass index Z-score of 0.74). Skin was physiologically colored, clear, with pronounced hypertrichosis on the extremities, mild palmar erythema, and capillary telangiectasia on the cheeks and chest. Cardiopulmonary function was satisfactory. The tongue had a thin white coating at the root. The abdomen was soft and mildly tender in the epigastrium; the sigmoid colon was spastic. The liver was palpable on inspiration: 2 cm below the right midclavicular line, 2 cm below the parasternal line, and 3 cm below the midline, with a soft and elastic consistency. The spleen was not palpable. Bowel movements and urination were normal.
Blood biochemistry revealed persistent cytolytic syndrome, a slight increase in total cholesterol concentration (5.69 mmol/L), dyslipidemia (low-density lipoprotein cholesterol, 4.07 mmol/L), and reduced serum copper concentration (0.076 µg/mL; normal range: 0.85–1.80 µg/mL). Serum ceruloplasmin concentration was almost 20-fold lower than normal (1.683 mg/dL; normal range: 20–60 mg/dL), whereas urinary copper excretion was threefold elevated (139.3 µg/day; normal range: 3–45 µg/day). A penicillamine challenge test (20 mg/kg/day in two doses) yielded an equivocal result: urinary copper excretion reached 663.9 µg/day (normal range: 600–800 µg/day). US revealed persistent signs of hepatomegaly and diffuse parenchymal changes. Liver elastography showed fibrosis stage F0 according to the METAVIR scale and steatosis stage S0. No neurological symptoms or ocular, dermatological, or other systemic changes were identified. Urinalysis, blood biochemistry, and US showed no signs of interstitial or glomerular kidney involvement.
To verify the diagnosis, molecular genetic testing was performed at the Research Center for Medical Genetics using next-generation sequencing with a gene panel associated with copper and iron metabolism (ATP7A, ATP7B, CP, TF, HEPC, PANK2, PLA2G6, ATP13A2, FTL, HFE, HJV, TFR2, SLC40A1, WDR45, C2ORF37) in a trio format (child and both parents). The analysis identified a previously well-described pathogenic variant in exon 8 of the ATP7B gene (chr13:51958361T>TG) in the heterozygous state, causing a frameshift: NM_000053.4:c.2304dup, p.(Met769HisfsTer26); rs137853287 [7, 8]. The identified nucleotide sequence variant has been registered in the Genome Aggregation Database control sample with an allele frequency of 0.011171%. Additionally, an unreported nucleotide sequence variant was detected in exon 8 of the ATP7B gene (chr13:51958536A>C), also in heterozygous state, resulting in a synonymous substitution (NM_000053.4:c.2130T>G, p.[Gly710=]). The identified nucleotide sequence variant is not registered in the Genome Aggregation Database control sample. Pathogenicity prediction algorithms provided conflicting results: MMSplice, Squirls, SPIP, and NetGene2 classified this variant as neutral, whereas Alternative Splice Site Predictor, FruitFly, and FSplice rated it as likely pathogenic. The identified ATP7B gene variants were found in transposition: chr13:51958361T>TG was detected in the heterozygous state in the mother, and chr13:51958536A>C in the heterozygous state in the father. Based on the cumulative data, and in accordance with the guidelines for the interpretation of human DNA sequencing findings obtained via parallel high-throughput sequencing [9], as well as the guidelines of the American College of Medical Genetics and Genomics [10], the NM_000053.4:c.2130T>G, p.(Gly710=) variant was classified as likely pathogenic (PM2, PP3, PM3, PP4).
The diagnosis of Wilson disease, hepatic form was established. At the age of 6 years and 2 months, the child was prescribed pathogenetic therapy: a low-copper diet and chelation therapy with penicillamine at 250 mg/day (11 mg/kg per day) divided into two doses administered 60 min before meals. The treatment was well tolerated, and after 1 week, the penicillamine dose was increased to the therapeutic level of 20 mg/kg per day. The child also received pyridoxine (10 mg/day) along with hepatoprotective and choleretic agents.
Follow-up blood biochemistry during the first 2 months of therapy showed an increase in serum transaminase levels to 3.5–4.0 times ULN, followed by a decrease at 3 months and complete normalization 6 months after the initiation of pathogenetic therapy. Urinary copper excretion was 195 µg/day when measured 6 months after the initiation of penicillamine therapy. Six months after the initiation of chelation therapy, the parents noticed abdominal distension and facial edema in their daughter. The child had gained significant weight, and outpatient ultrasonography revealed a large amount of free fluid in the abdominal cavity. The patient was admitted to the Nephrology Department of the Morozov Children’s City Clinical Hospital in Moscow with pronounced peripheral edema and US-confirmed ascites.
Blood biochemistry revealed reduced total protein and serum albumin concentrations (41 g/L and 16 g/L, respectively) and elevated serum cholesterol levels (12.1 mmol/L). Kidney function parameters remained within normal limits. Proteinuria in spot urine samples was 9.3 g/L, with a 24-hour urinary protein excretion of approximately 18 g.
Interventions
Based on the medical history, clinical, laboratory, and ultrasonographic findings, the diagnosis of N04.8 (the onset of secondary drug-induced nephrotic syndrome) was established, and pathogenetic therapy with prednisolone was initiated at a dose of 60 mg/m2 per day. Reducing the penicillamine dose did not mitigate renal changes. Considering the progressive course of the disease without treatment and the pronounced adverse reaction to penicillamine, a multidisciplinary council of nephrologists, gastroenterologists, and clinical pharmacologists recommended trientine, unapproved in Russia. Oral trientine was administered orally at a dose of 250 mg twice daily by life-saving indications in with Articles 47 and 48 of Federal Law No. 61 “On Circulation of Medicines”, dated April 12, 2010. With glucocorticoids and adjustments to the pathogenetic therapy of the underlying disease, clinical and laboratory remission of nephrotic syndrome was achieved, including normalization of the proteinogram and urinary syndrome (Fig. 1).
Fig. 1. Dynamics of laboratory parameters of a child with Wilson's disease and nephrotic syndrome during prednisolone therapy (by days of hospital stay). © Eco-Vector, 2025.
Follow-up and outcomes
The child was discharged in satisfactory condition with the diagnosis of N04.8, secondary (drug-induced) nephrotic syndrome, debut, steroid-sensitive variant; preserved renal function; and E83.0, Wilson disease, hepatic form, chronic hepatitis stage.
After completing the standard course of glucocorticoids for nephrotic syndrome, prednisolone was discontinued. Follow-up urine and blood tests showed no abnormalities. The patient continues trientine therapy at a dose of 500 mg/day, with good treatment tolerability. Blood biochemistry showed elevated transaminase levels, reaching twice the upper limit of normal, which approached the upper limit of the reference range with hepatoprotective therapy (Fig. 2). US revealed no signs of WD progression. Urinary copper excretion at 12 and 15 months of total chelation therapy was 230.9 and 233.6 µg/day, respectively.
Fig. 2. Dynamics of transaminase activity during therapy with copper chelators and prednisolone. © Eco-Vector, 2025.
DISCUSSION
The first case of nephrotic syndrome in a 10-year-old boy with WD receiving penicillamine was described in 1959 [11].
In 1998, a 12-year-old adolescent with WD developed significant proteinuria and edema after 2 weeks of penicillamine therapy, which was regarded as the onset of nephrotic syndrome. Kidney biopsy revealed minimal change disease. The patient was prescribed prednisolone at 40 mg/kg per day, while penicillamine was replaced with trientine. As a result, clinical and laboratory remission of nephrotic syndrome was achieved [12].
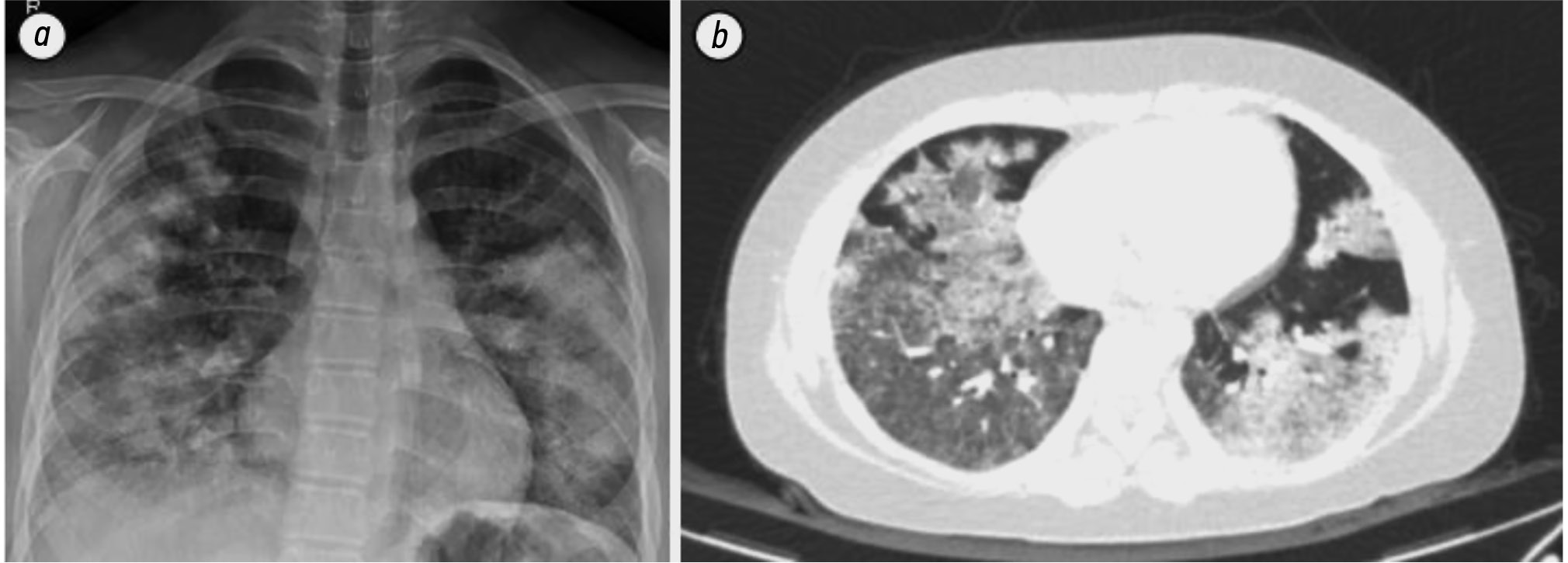
Of particular interest is a case of antineutrophil cytoplasmic antibody-associated vasculitis in a 13-year-old girl with WD [13]. The patient had been taking penicillamine for 5 years and presented to the emergency department with hemoptysis and dyspnea. Chest computed tomography revealed diffuse pulmonary hemorrhage (Fig. 3). Blood tests showed high titers of myeloperoxidase antibodies, and urinalysis revealed microscopic hematuria and proteinuria. Kidney biopsy demonstrated pauci-immune glomerulonephritis with cellular-fibrous crescents in 39% of glomeruli (Fig. 4). The patient’s condition was complicated by progressive respiratory failure, requiring respiratory support. Penicillamine was replaced with trientine. After three plasmapheresis sessions and three intravenous infusions of high-dose methylprednisolone (1 g/day), followed by cyclophosphamide (750 mg/m2), prednisolone (60 mg/day), and mycophenolate mofetil (1500 mg/day), the patient’s condition improved significantly. Respiratory failure was relieved within several days, and hematuria and proteinuria resolved 5 months after treatment initiation. Myeloperoxidase antibody titers decreased significantly within 17 months after the discontinuation of penicillamine [13].
Fig. 3. Radiography (a) and computed tomography (b) of the lungs of a 13-year-old female patient with Wilson's disease and anti-neutrophil cytoplasmic antibody-associated vasculitis: a — radiographic bilateral extensive focal consolidation; b — multifocal patchy ground-glass opacity corresponding to diffuse pulmonary hemorrhage [13]. © The Korean Academy of Medical Sciences, 2019.
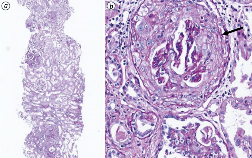
Fig. 4. Light microscopy of a renal biopsy specimen from a 13-year-old female patient with Wilson's disease and antineutrophil cytoplasmic antibody-associated vasculitis. The arrow shows fibrocellular crescents in 39% of glomeruli in the biopsy specimen (PAS — periodic acid, Schiff): a — ×40; b — ×400, representative crescent (arrow) [13]. © The Korean Academy of Medical Sciences, 2019.
The analysis of clinical observations resulted in the development of several hypotheses explaining the pathogenesis of penicillamine-induced kidney involvement. One hypothesis suggests that penicillamine may act as a hapten, forming immune complexes that damage glomerular capillary structures. Another hypothesis suggests that penicillamine may cleave rheumatoid factor into smaller subunits, which, as part of immune complexes, deposit in the glomerular membrane as small deposits detectable by electron microscopy.
The morphological manifestations of kidney tissue damage are highly variable, ranging from minimal change disease, IgA nephropathy, and membranous nephropathy to severe glomerular changes associated with rapidly progressive glomerulonephritis [14–16].
A notable aspect of the present case is the latent disease in a 6-year-old girl, initially suspected due to the presence of cytolytic syndrome detected during the investigation of episodic abdominal pain. Further examination revealed reduced serum ceruloplasmin concentration, initially borderline urinary copper excretion, and inconclusive penicillamine challenge test results. Molecular genetic testing was crucial in establishing the diagnosis. Chelation therapy with penicillamine normalized cytolytic syndrome markers but triggered severe adverse effects, namely nephrotic syndrome, necessitating the discontinuation of penicillamine, initiation of trientine, and administration of glucocorticoids.
According to the literature, penicillamine-associated adverse reactions may occur after varying durations of therapy [13]. This underscores the need for continuous monitoring and prompt correction of pathogenetic therapy, involving drug replacement rather than discontinuation.
Trientine has fewer adverse effects than penicillamine and zinc-containing medications [17]. As of late 2023, trientine has been registered for use in Russia, enabling more personalized chelation therapy for patients with various metabolic disorders.
Currently, no consensus exists regarding the treatment strategy or the necessity of immunosuppressive therapy with prednisolone in patients with nephropathy, given the diverse clinical and morphological spectrum of penicillamine-induced kidney damage. Glucocorticoid therapy is generally recommended in cases of massive proteinuria or extrarenal manifestations of nephrotic syndrome. In certain cases, kidney biopsy is advisable.
CONCLUSION
In preschool-aged children with WD, a fully developed clinical presentation is rarely observed. The predominant manifestation of the disease is hepatobiliary system involvement. Moderate increases in biochemical cytolysis and cholestasis markers, and in bilirubin concentration that are refractory to standard treatment necessitate a comprehensive examination to exclude WD, including molecular genetic testing. If adverse reactions to penicillamine derivatives are detected, the immediate adjustment of pathogenetic therapy with the replacement of the chelating agent is required.
The administration of glucocorticoid therapy depends on the degree of proteinuria and is indicated in cases of nephrotic syndrome. In the presence or onset of a full-blown urinary syndrome, a kidney biopsy should be considered to clarify the morphological variant of glomerular or interstitial changes.
ADDITIONAL INFORMATION
Funding source. None.
Disclosure of interest. The authors declare that they have no relationships, activities or interests (personal, professional or financial) with third parties (commercial, non-commercial, private) whose interests may be affected by the content of the article, as well as no other relationships, activities or interests over the past three years that must be reported.
Authors’ contribution. S.S. Paunova — supervision, patient treatment, literature review, writing the text; N.V. Labutina, M.N. Zubavina, M.E. Bagaeva, M.V. Khoreva — supervision, patient treatment; M.M. Shibilova, T.A. Skvortsova, T.V. Strokova, A.V. Nikitin — patient treatment, collection and analysis of literary sources; C.K. Do Egito — patient treatment; A.I. Safina — patient consultation, collection and analysis of literary sources; M.A. Daminova — literature review, editing the article; M.A. Rusova — literature review, collection and analysis of literary sources; N.A. Semenova — patient consultation, editing the article. Thereby, all authors provided approval of the version to be published and agree to be accountable for all aspects of the work in ensuring that questions related to the accuracy or integrity of any part of the work are appropriately investigated and resolved.
Informed consent. Written consent was obtained from the patient/patients/representative of the patient/representatives of the patients for publication of relevant medical information and all of accompanying images within the manuscript in the Russian Medicine (date of signing 16.09.2024).
1 The Federal Register of patients with life-threatening and chronic progressive rare (orphan) diseases leading to a reduction in the life expectancy of citizens or their disability, and its regional segment. Available from: https://docs.cntd.ru/document/902344557
About the authors
Svetlana S. Paunova
Pirogov Russian National Research Medical University; Morozov Children's Municipal Clinical Hospital
Author for correspondence.
Email: ss.paunova@mail.ru
ORCID iD: 0000-0001-8046-2341
SPIN-code: 2865-1325
MD, Dr. Sci. (Medicine), Professor
Russian Federation, Moscow; MoscowNatalia V. Labutina
Morozov Children's Municipal Clinical Hospital
Email: natalay.l@yandex.ru
ORCID iD: 0009-0005-6887-1720
SPIN-code: 5601-1075
MD, Cand. Sci. (Medicine)
Russian Federation, MoscowMaria N. Zubavina
Morozov Children's Municipal Clinical Hospital
Email: nefrolog@mail.ru
ORCID iD: 0009-0007-2870-0905
SPIN-code: 5624-7286
Russian Federation, Moscow
Madina M. Shibilova
Morozov Children's Municipal Clinical Hospital
Email: mado7777@inbox.ru
ORCID iD: 0009-0008-7281-5205
Russian Federation, Moscow
Tamara A. Skvortsova
Morozov Children's Municipal Clinical Hospital
Email: 79151289538@yandex.ru
ORCID iD: 0000-0002-6525-8665
SPIN-code: 6178-3323
MD, Cand. Sci. (Medicine)
Russian Federation, MoscowTatyana V. Strokova
Pirogov Russian National Research Medical University; Federal Research Center of Nutrition, Biotechnology and Food Safety
Email: strokova_t.v@mail.ru
ORCID iD: 0000-0002-0762-0873
SPIN-code: 4467-8048
MD, Dr. Sci. (Medicine), Professor of the Russian Academy of Sciences
Russian Federation, Moscow; MoscowMadlena E. Bagaeva
Pirogov Russian National Research Medical University; Federal Research Center of Nutrition, Biotechnology and Food Safety
Email: med3794@yandex.ru
ORCID iD: 0000-0002-1752-6901
SPIN-code: 7566-6985
MD, Cand. Sci. (Medicine)
Russian Federation, Moscow; MoscowArtyom V. Nikitin
Morozov Children's Municipal Clinical Hospital
Email: artem_i_am@mail.ru
ORCID iD: 0000-0001-8837-9243
SPIN-code: 8098-7447
MD, Cand. Sci. (Medicine)
Russian Federation, MoscowClaudia K. Do Egito
Morozov Children's Municipal Clinical Hospital
Email: claudiaavgustina@mail.ru
ORCID iD: 0000-0003-4109-6603
Russian Federation, Moscow
Asia I. Safina
Russian Medical Academy of Continuous Professional Education
Email: safina_asia@mail.ru
ORCID iD: 0000-0002-3261-1143
SPIN-code: 5470-3077
MD, Dr. Sci. (Medicine), Professor
Russian Federation, MoscowMaria A. Daminova
Russian Medical Academy of Continuous Professional Education
Email: daminova-maria@yandex.ru
ORCID iD: 0000-0001-6445-0893
SPIN-code: 6668-9918
MD, Cand. Sci. (Medicine), Associate Professor
Russian Federation, MoscowMarina V. Khoreva
Pirogov Russian National Research Medical University
Email: mv@rsmu.ru
ORCID iD: 0000-0002-6224-2510
SPIN-code: 2092-5036
MD, Dr. Sci. (Medicine), Professor
Russian Federation, MoscowMaria A. Rusova
Pirogov Russian National Research Medical University
Email: rusova.maria@yandex.ru
ORCID iD: 0009-0004-7584-5267
Russian Federation, Moscow
Natalia А. Semenova
Research Centre for Medical Genetics
Email: semenova@med-gen.ru
ORCID iD: 0000-0001-7041-045X
SPIN-code: 7697-7472
MD, Cand. Sci. (Medicine)
Russian Federation, MoscowReferences
- https://www.orpha.net/ [Internet]. Wilson disease [cited: 10.09.2024]. Available from: https://www.orpha.net/en/disease/detail/905?name=Wilson&mode=name
- Clinical guidelines "Copper metabolism disorders (Wilson's disease)" [Interenet]. [cited: 08.09.2024]. Available from: https://cr.minzdrav.gov.ru/recomend/376_2 (In Russ.)
- Krasilnikova EYu, Sokolov AA. Аnalysis of situation in the sphere of health care and drug supply of patients, suffering from rare diseases in the period 2013–2015. Problemy standartizatsii v zdravookhranenii. 2016;(3-4):42–51. EDN: VVWKLT
- Guindi M. Wilson disease. Semin Diagn Pathol. 2019;36(6):415–422. doi: 10.1053/j.semdp.2019.07.008
- Strokova OA, Gerasimenko IV, Zvereva SI, et al. Wilson–Konovalov disease: epidemiology, diagnostics, treatment. Dnevnik kazanskoy meditsinskoy shkoly. 2021;(3):15–20. EDN: NBVUCB
- Mejias SG, Ramphul K. Penicillamine. Treasure Island (FL): StatPearls Publishing; 2024 [Internet]. [cited: 15.09.2024]. Available from: https://www.ncbi.nlm.nih.gov/books/NBK513316/
- Wang Y, Fang J, Li B, et al. Clinical and genetic characterization of pediatric patients with Wilson's disease from Yunnan province where ethnic minorities gather. Front Genet. 2023;14:1142968. doi: 10.3389/fgene.2023.1142968
- Nayagam JS, Jeyaraj R, Foskett P, et al. ATP7B genotype and chronic liver disease treatment outcomes in Wilson disease: worse survival with loss-of-function variants. Clin Gastroenterol Hepatol. 2023;21(5):1323–1329.e4. doi: 10.1016/j.cgh.2022.08.041
- Ryzhkova OP, Kardymon OL, Prohorchuk EB, et al. Guidelines for the interpretation of massive parallel sequencing variants (update 2018, v2). Medical genetics. 2019;18(2):3–24. doi: 10.25557/2073-7998.2019.02.3-24 EDN: JZLJUE
- Green RC, Berg JS, Grody WW, et al. ACMG recommendations for reporting of incidental findings in clinical exome and genome sequencing. Genet Med. 2017;19(5):606. doi: 10.1038/gim.2017.18 Erratum in: Genet Med. 2013;15(7):565–574. doi: 10.1038/gim.2013.73
- Fellers FX, Shahidi NT. The nephrotic syndrome induced by penicillamine therapy. Am J Dis Child. 1959;98:669.
- Siafakas CG, Jonas MM, Alexander S, et al. Early onset of nephrotic syndrome after treatment with D-penicillamine in a patient with Wilson's disease. Am J Gastroenterol. 1998;93(12):2544–2546. doi: 10.1111/j.1572-0241.1998.00715.x
- Kang S, Cho MH, Hyun H, et al. A pediatric case of a D-penicillamine induced ANCA-associated vasculitis manifesting a pulmonary-renal syndrome. J Korean Med Sci. 2019;34(24):e173. doi: 10.3346/jkms.2019.34.e173
- Davison AM, Day AT, Golding JR, Thomson D. Effect of penicillamine on the kidney. Proc R Soc Med. 1977;70 (Suppl. 3):109–113.
- Athanasopoulou D, Lionaki S, Skalioti C, et al. Drug-induced podocytopathies: report of four cases and review of the literature. Life (Basel). 2023;13(6):1264. doi: 10.3390/life13061264
- Dang J, Chevalier K, Letavernier E, et al. Kidney involvement in Wilson's disease: a review of the literature. Clin Kidney J. 2024;17(4):sfae058. doi: 10.1093/ckj/sfae058
- Lee EJ, Woo MH, Moon JS, Ko JS. Efficacy and safety of D-penicillamine, trientine, and zinc in pediatric Wilson disease patients. Orphanet J Rare Dis. 2024;19(1):261. doi: 10.1186/s13023-024-03271-1
Supplementary files







