Patients with postnatal manifestation of congenital diaphragmatic hernia: management specificities
- Authors: Zheleznov A.S.1, Ermolaeva N.S.1, Parshikov V.V.1, Teplov V.O.2
-
Affiliations:
- Privolzhsky Research Medical University
- N.I. Pirogov Russian National Research Medical University
- Issue: Vol 26, No 5 (2020)
- Pages: 302-310
- Section: Clinical medicine
- Submitted: 28.01.2021
- Accepted: 28.01.2021
- Published: 28.01.2021
- URL: https://medjrf.com/0869-2106/article/view/59619
- DOI: https://doi.org/10.17816/0869-2106-2020-26-5-302-310
- ID: 59619
Cite item
Abstract
Treatment of congenital diaphragmatic hernia is one of the most critical neonatal surgery challenges, which is associated with high mortality rate. Despite the progress achieved in the treatment of congenital diaphragmatic hernia, the choice of surgical approach and time of hernial correction remains controversial.
Material and methods: From 2000 to 2018, 39 children with congenital false diaphragmatic hernia were hospitalized in the department of surgery of the Nizhny Novgorod Regional Children's Clinical Hospital. Of these, 26 (66.7%) were boys and 13 (33.3%) were girls. Cases of successful treatment of bilateral diaphragmatic hernia and correction of persistent right Bochdalek defect with underlying right tension pneumothorax with “late manifestation” of diaphragmatic hernia deserve a special presentation.
Results: Most typical set of symptoms includes respiratory failure, cardiovascular disorders, and intestinal pseudo-obstruction syndrome. Left-sided hernia was detected in 35 children (89.7%), while right-sided hernia was detected in 3 (7.7%), and a bilateral hernia was detected in one child. The mortality rate accounted for 25.6% (10 children) of children due to progression of cardiopulmonary complications.
Conclusions: Despite the extensive clinical experience in the management of children with diaphragmatic hernias, of the prenatal diagnostics potential and technical capacities of modern medicine, individual cases of diaphragmatic hernias are associated with challenges regarding timely detection of malformation in the postnatal period, since the diaphragmatic hernia with persistent diaphragmatic defect tend to demonstrate a late pattern of manifestation. Diaphragmatic hernia can develop at a later time—age 4–6 months, which could be explained by an intra-abdominal pressure increase when the child is becoming more active, while underlying Bochdalek defect is persisting.
Full Text
Актуальность
Лечение врожденной диафрагмальной грыжи (ВДГ) – одна из актуальных проблем неонатальной хирургии, имеющая высокую летальность – 35% [1] и встречающаяся с частотой 1 случай на 2000–4000 новорожденных [2–4]. При этом многие исследователи не учитывают большую группу мертворожденных с пороками развития диафрагмы [5]. В структуре основных аномалий развития ВДГ составляют 8% [6, 7]. Также известно, что в 60% случаев ВДГ является изолированным пороком, а в 40% сочетается с аномалиями развития других органов и систем [8]. К наиболее значимым из них относятся врожденные пороки сердца – 20–25%, центральной нервной и мочевыделительной системы – 10–15%. Также ВДГ встречается у детей с трисомией по 13-й, 18-й и 21-й парам хромосом и с синдромом Паллиастера–Киллиана [9].
Чаще встречаются врожденные ложные диафрагмальные грыжи (ВЛДГ), из односторонних преобладают левосторонние дефекты в диафрагме (в 4–16 раз чаще) [10]. Имеют место редкие локализации – правосторонняя (16%) и двусторонняя (0,9% от ВЛДГ) [11], в последнем случае смертность крайне высока – 74% [12]. В результате ВЛДГ происходит аномальное развитие легких, что приводит к легочной гипоплазии и легочной гипертензии, которые являются основными причинами смерти для таких пациентов [13]. Чаще всего встречается левосторонняя ВЛДГ через щель Бохдалека – 95% случаев [14]. Зачастую ВЛДГ диагностируются пренатально или вскоре после рождения. Только у 10% пациентов клинические проявления появляются в постнатальном периоде, и жалобы, как правило, нетипичны [15]. Пренатальное ультразвуковое исследование (УЗИ) является основным методом выявления ВДГ. Большое значение для точного составления прогноза при ВДГ имеет срок выявления этого порока [16]. УЗИ может показать дистопию органов брюшной полости в грудную уже на 12-й неделе беременности. Обычно диагноз ставится после 16-й недели. Чаще всего ВДГ выявляют во II триместре беременности, в 26–27 недель [17]. Правосторонняя грыжа пренатально диагностируется лишь в 47% случаев [15]. Это обусловлено схожей эхогенностью печени и легких при УЗИ плода [18]. Также для пренатальной диагностики используют магнитно-резонансную томографию (МРТ), при которой производится более точная оценка размеров и объема каждого легкого у плода. Соотношение интенсивности сигнала легких и печени при T2-взвешенной МРТ является точным маркером зрелости легких плода, который коррелирует с постнатальной выживаемостью и потенциально может использоваться в качестве прогностического параметра в лечении ВДГ [19, 20].
Подавляющее количество пациентов с ВЛДГ с рождения имеют выраженные признаки сердечно-легочной недостаточности, играющие ведущую роль в танатогенезе. Однако ряд авторов отмечают манифестацию врожденной ложной диафрагмальной грыжи в раннем детском возрасте, а некоторые источники указывают на наличие ВЛДГ в старшем возрасте [21, 22]. Такие клинические случаи характеризуются нетипичными клиническими признаками, что затрудняет диагностику. Остается открытым вопрос, чем считать данное явление – персистенцией дефекта диафрагмы без перемещения органов брюшной полости в грудную или же одновременным формированием грыжевого дефекта и содержимого в силу повышения внутрибрюшного давления. Имеются работы, указывающие на достоверное соотношение размера дефекта диафрагмы при предоперационном УЗИ с интраоперационной картиной, что можно использовать с целью выбора оперативного доступа [23, 24]. В последние годы отмечается тенденция к увеличению доли пациентов, которым осуществляется торакоскопическая методика лечения ВДГ [25], она имеет лучший косметический эффект, позволяет избежать осложнений лапаротомии, но имеет более высокую частоту рецидивов [26–29]. Но несмотря на достигнутые успехи, вопросы оперативного доступа и срока ее коррекции по-прежнему актуальны. Также сохраняется проблема выбора способа закрытия дефекта диафрагмы при недостатке собственных тканей [30].
Материал и методы
Проведен ретроспективный анализ 39 историй болезни детей с ВЛДГ, госпитализированных в хирургическое отделение Нижегородской областной детской клинической больницы (НОДКБ) с 2000 по 2018 г. Из них мальчиков – 26 (66,7%), девочек – 13 (33,3%).
Все дети доставлены бригадой реанимации новорожденных из перинатальных центров Нижегородской области. При поступлении были выполнены обязательные клинические исследования, нейросонография, эхокардиография, рентгенологическое обследование, определение газового состава крови для установления срока предоперационной подготовки. Операции выполнены лапаротомным доступом. В 34 случаях проводили срединную лапаротомию, в 4 случаях – через доступ в левом и правом подреберье. Большинству новорожденных (37 детей) выполнена пластика собственными тканями диафрагмы. При значительной гипоплазии купола с дефектом более ½ площади его поверхности проводили пластику лоскутом полимерного трансплантата.
Данные проведенного ретроспективного анализа были обработаны с помощью программных продуктов Microsoft Office, Statistica v.10.
Результаты
Всем пациентам с целью инструментальной диагностики выполнили УЗИ органов брюшной и грудной полости, рентгенографию – обзорную и с проходящим контрастом, мультиспиральную компьютерную томографию (МСКТ).
Ведущие симптомокомплексы: дыхательная недостаточность, нарушение деятельности сердечно-сосудистой системы, синдром интестинальной псевдообструкции. ВЛДГ чаще диагностировали у мальчиков (66,7%), гендерное распределение 2 : 1. У 35 детей (89,7%) была выявлена левосторонняя грыжа, у 3 (7,7%) – правосторонняя, у 1 ребенка – двусторонняя. Возраст детей с ВЛДГ слева на момент операции составил 3,56±1,42 сут (1–6 сут), а средний гестационный возраст – 37,4±2,2 нед (33–40 нед). Сроки перевода на спонтанное дыхание – на 13,3±5,9 сут (5–25 сут). Нормализация функции желудочно-кишечного тракта: нормализация стула на 3,9±1,6 сут (2–8 сут) после операции, полная адаптация к энтеральному питанию на 8,1±2,5 сут (6–14 сут) после операции. Пребывание в отделении реанимации и интенсивной терапии 18,2±6,45 сут (8–31 сут). На рис. 1 приведено сравнение ВЛДГ слева и редких локализаций по данным показателям. С помощью критерия Манна–Уитни было доказано, что для всех диаграмм различия не значимы (p>0,05), однако диафрагмальные грыжи с персистирующими дефектами реализовывались и оперировались позднее. Летальность пациентов с ВЛДГ составила 25,6% (10 детей). Основная причина смерти – сердечно-легочная недостаточность.
Рис. 1. Сравнение показателей ведения пациентов с врожденными диафрагмальными грыжами. По оси ОY указана доля встречаемости исследуемых признаков в выборке (%).
Отдельного представления заслуживают случаи успешного лечения двусторонней диафрагмальной грыжи и коррекции персистирующего правостороннего дефекта Бохдалека на фоне напряженного пневмоторакса справа с «поздней реализацией» диафрагмальной грыжи.
Обсуждение
Клинический случай 1
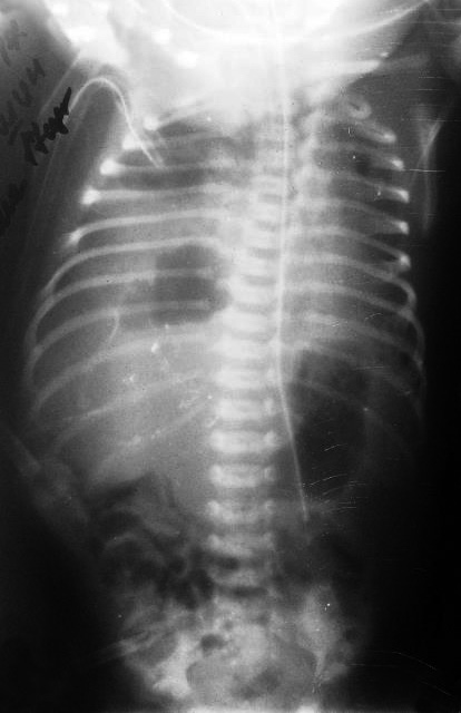
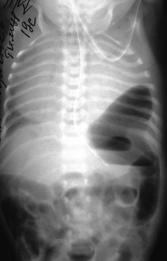
Ребенок Т. поступил 01.09.2017 в отделение реанимации новорожденных НОДКБ на 9-е сут жизни (дата рождения 23.08.2017) с диагнозом: внутриутробная инфекция, врожденная пневмония, дыхательная недостаточность III ст., синдром дыхательных расстройств, перинатальное поражение центральной нервной системы (ЦНС), синдром угнетения, судорожный синдром, кардиопатия, анемия. Ребенок от третьей беременности на фоне вазомоторного ринита, гипотиреоза, носительства вирусов герпеса и цитомегаловируса. Пренатально патологии не выявлены. Вторые роды на сроке гестации 40 недель в головном предлежании. Околоплодные воды светлые. Оценка по шкале Апгар 8/9 баллов. Через 1,5 ч после рождения состояние ребенка ухудшилось из-за дыхательной недостаточности. На 3–4-е сут жизни развился судорожный синдром. На 4–5-е сут – признаки желудочного кровотечения. При поступлении в НОДКБ состояние очень тяжелое, уровень сознания – кома I–II степени, признаки дыхательной недостаточности, недостаточности кровообращения, анемии тяжелой степени. В легких дыхание жесткое, равномерное, выслушиваются крепитирующие хрипы, усиливающиеся справа. Тоны сердца глухие, ритмичные. Живот мягкий, доступен пальпации. По желудочному зонду патологического отделяемого нет. По УЗИ органов брюшной полости без патологии, на рентгенографии легких признаки правосторонней пневмонии. В динамике появилась реакция на осмотр, спонтанная двигательная активность, снижение параметров искусственной вентиляции легких (ИВЛ). На 3-и сут пребывания в стационаре развился напряженный пневмоторакс справа (рис. 2), выполнено дренирование правой плевральной полости по Бюлау, «сброс» воздуха постоянный, в связи с чем ребенок переведен на высокочастотную ИВЛ, на фоне которой удалось купировать сброс и явления пневмоторакса (рис. 3). После этого ИВЛ в режиме SIMV. На 7-е сут удален плевральный дренаж. К 24-м сут жизни состояние ребенка стабилизировалось, питание усваивал, сохранялся лейкоцитоз с нейтрофильным сдвигом влево.
Рис. 2. Рентгенограмма органов грудной клетки. Картина напряженного пневмоторакса справа, обращает на себя внимание лабильность правого купола диафрагмы.
Рис. 3. Рентгенограмма органов грудной клетки. Явления пневмоторакса купированы.
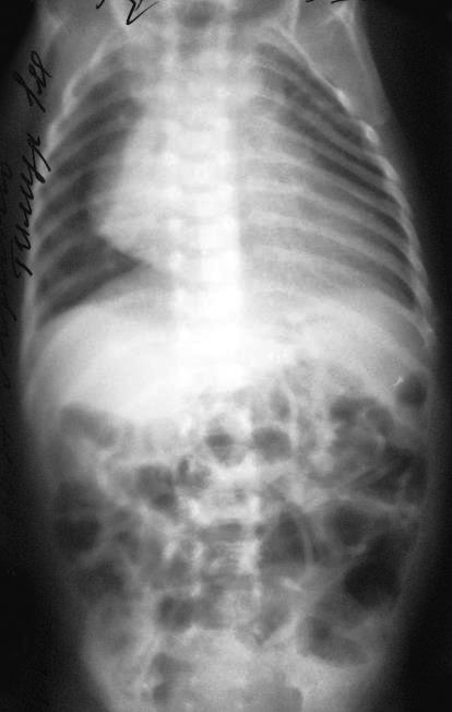
Попытки перевода на спонтанное дыхание были безуспешны, на рентгенограмме легких оставалась локальная зона просветления в проекции нижней доли правого легкого (рис. 4), что при наличии типичного положения печени, желудка, а также проведенного рентгенологического исследования с пассажем контраста, исключившим его наличие в данной тени (рис. 5), было расценено как остаточный локализованный пневмоторакс.
Рис. 4. Рентгенограмма органов грудной клетки. Локальная зона просветления в проекции нижней доли правого легкого.
Рис. 5. Рентгеноконтрастное исследование с пассажем контраста для исключения правосторонней диафрагмальной грыжи. Снимки на 10 мин, 30 мин, 1 ч. Контрастирования тени правой половины грудной клетки нет.
В связи с сохраняющейся дыхательной недостаточностью ребенку проведено МСКТ грудной клетки (29.09), заключение: картина дополнительного образования правой половины грудной клетки, дифференцировать с правосторонней диафрагмальной грыжей. По данным МРТ органов грудной клетки (02.10) заключение: картина миграции правой и левой доли печени и петли кишечника в правую плевральную полость, ателектаз нижней доли правого легкого, застойные явления нижней доли левого легкого, купол диафрагмы визуализировать не удалось. Ребенок прооперирован 12.10 – срединная лапаротомия, пластика дефекта правого купола диафрагмы (щель Бохдалека) местными тканями. Во время операции отмечалось интимное сращение висцеральной плевры нижней доли правого легкого к диафрагмальной поверхности печени, что расценено как последствия воспалительного процесса в легком и плевральной полости вследствие перенесенной пневмонии и давности процесса. Послеоперационный период протекал без осложнений, ребенок экстубирован (22.10), выписан домой в удовлетворительном состоянии (10.11).
Ребенок осмотрен в возрасте 7 мес.: масса тела 6400 г, дыхание выслушивается во всех отделах легких, сердце расположено типично. Наблюдается неврологом, офтальмологом. В возрасте 1 год: масса тела 7700 г, отстает в моторном развитии, стоит с опорой, не ходит.
Таким образом, напряженный правосторонний пневмоторакс вызвал перемещение печени и кишечника на место их физиологической локализации, что затруднило диагностику. В ряде случаев рентгенография с проходящим контрастом может оказаться неэффективной для распознавания петли кишки в грудной полости, поэтому методом выбора нужно считать МСКТ грудной клетки.
Клинический случай 2
Ребенок Б. поступил в отделение реанимации новорожденных НОДКБ 12.05.2017 на вторые сутки жизни (дата рождения 11.05.17). Доставлен неонатальной реанимационной бригадой Центра медицины катастроф из Центральной районной больницы (230 км от Нижнего Новгорода) с диагнозом: синдром дыхательных расстройств, дыхательная недостаточность I степени, перинатальное поражение ЦНС, синдром угнетения. Ребенок от пятой беременности, третьих преждевременных родов на сроке 36 нед. гестации, вес при рождении 2110 г, оценка по шкале Апгар 3/6 баллов. Проводились реанимационные мероприятия: санация верхних дыхательных путей, ИВЛ мешком Амбу, после чего ребенок закричал. От кислорода зависим с первых суток жизни. При поступлении: состояние тяжелое, дотация кислорода через маску, гипотония, гипорефлексия, дыхание с участием вспомогательной мускулатуры, ослабленное с обеих сторон. Тоны сердца приглушены. При рентгенографии легких при поступлении – подозрение на диафрагмальную грыжу справа (рис. 6).
Рис. 6. Рентгенограмма органов грудной клетки. Признаки правосторонней диафрагмальной грыжи.
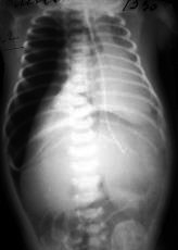
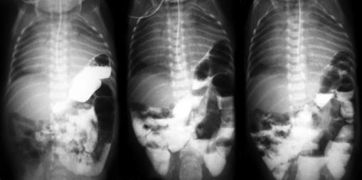
По УЗИ брюшной полости – без патологии. На рентгенографии желудочно-кишечного тракта (ЖКТ) с проходящим барием – петли кишечника определяются в правой половине грудной клетки. На 4-е сут проведена МСКТ легких, которая подтвердила диагноз правосторонней диафрагмальной грыжи, содержимое – петли кишечника. Ребенок прооперирован 17.05 – лапаротомия в правом подреберье, проведена пластика правого купола диафрагмы (щель Бохдалека) собственными тканями по методике «за ребро». Послеоперационный период протекал тяжело. Отмечалось «парадоксальное дыхание» с втяжением податливых мест грудной клетки на вдохе, вероятно, обусловленное врожденной патологией развития и иннервации диафрагмы, усугубленное гипоплазией правого легкого. На 4-е сут после операции – самостоятельное дыхание с дотацией кислорода через маску, гемодинамических расстройств не отмечено (рис. 7).
Рис. 7. Рентгенограмма органов грудной клетки, выполненная на 6-е сутки после операции.
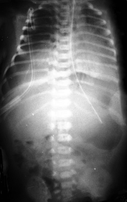
На 13-е сут после операции отмечалась отрицательная респираторная динамика – усиление втяжения грудной клетки, ослабление дыхания слева. По рентгенограмме – подозрение на левостороннюю диафрагмальную грыжу (рис. 8). Ребенок переведен на ИВЛ, начата интенсивная терапия в режиме предоперационной подготовки. По эхокардиограмме – декстракардия, расширение правых отделов сердца. Отмечались постоянные срыгивания при кормлении, проведена декомпрессия желудка, «голодная пауза». На рентгенографии ЖКТ с проходящим контрастом – перемещение части желудка и петель кишечника в передние отделы левой грудной полости, затемнение левых легочных полей (рис. 9).
Рис. 8. Рентгенограмма органов грудной клетки. Признаки левосторонней диафрагмальной грыжи.
Рис. 9. Рентгеноконтрастное исследование с пассажем контраста для подтверждения левосторонней диафрагмальной грыжи. Перемещение части желудка и петель кишечника в передние отделы левой грудной полости, затемнение левых
Ребенок прооперирован 02.06 – лапаротомия в левом подреберье, проведена пластика левого купола диафрагмы искусственной твердой мозговой оболочкой. Послеоперационный период протекал без хирургических осложнений. На рентгенограмме грудной клетки на 4-е сут после операции – легкие пневматизированы, корни за тенью средостения, которая расширена за счет вилочковой железы; диафрагма с четким контуром, кишечник пневматизирован, деформация 2, 3, 4 ребер слева. Ребенок переведен в отделение плановой хирургии на 11-е послеоперационные сутки, откуда через 13 дней выписан домой под наблюдение участкового педиатра и хирурга с рекомендациями.
В катамнезе – ребенок двукратно перенес двустороннюю пневмонию, стационарное лечение в соматическом отделении, отмечалось «парадоксальное» дыхание, деформация грудной клетки справа по типу втяжения. Отстает в нервно-психическом и физическом развитии, вес в 5 мес. – 5000 г. Проводится наблюдение специалистами. На контрольных рентгенограммах имеет место «высокое» стояние левого купола диафрагмы, легочная ткань прослеживается с обеих сторон. Ввиду отсутствия дыхательной недостаточности, тяжести гипотрофии и иммунного статуса от повторной пластики левого купола диафрагмы решено воздержаться.
Заключение
Существенных различий в течении послеоперационного периода у детей с врожденными ложными диафрагмальными грыжами слева и редкой локализации нет. Несмотря на большой клинический опыт ведения детей с диафрагмальными грыжами, возможности пренатальной диагностики, техническое оснащение современной медицины, отдельные случаи диафрагмальных грыж представляют сложности в своевременном выявлении порока развития в постнатальном периоде, ввиду поздней реализации заболевания при персистирующем дефекте диафрагмы. Диафрагмальная грыжа может развиваться в поздние сроки – в возрасте 4–6 мес., что объясняется повышением внутрибрюшного давления при активизации ребенка на фоне персистенции щели Бохдалека.
Благодарность: Авторы выражают благодарность Е.А. Рожденкину (заведующий отделением плановой хирургии, Нижегородская областная детская клиническая больница, Нижний Новгород), Н.А. Плохарскому (хирург-неонатолог, Нижегородская областная детская клиническая больница, Нижний Новгород), В.Е. Пивикову (заведующий отделением реанимации и интенсивной терапии новорожденных, Нижегородская областная детская клиническая больница, Нижний Новгород), за оказанную помощь при проведении данного исследования и в написании настоящей статьи.
Финансирование. Исследование не имело спонсорской поддержки.
Конфликт интересов. Авторы заявляют об отсутствии конфликта интересов.
About the authors
Andrey S. Zheleznov
Privolzhsky Research Medical University
Author for correspondence.
Email: aszheleznov@mail.ru
ORCID iD: 0000-0002-8296-1213
MD, PhD
Russian Federation, 603005, Nizhny NovgorodNatal'ya S. Ermolaeva
Privolzhsky Research Medical University
Email: ns12514@gmail.com
ORCID iD: 0000-0002-7928-8128
Russian Federation, 603005, Nizhny Novgorod
Vyacheslav V. Parshikov
Privolzhsky Research Medical University
Email: parshikovvv43@mail.ru
ORCID iD: 0000-0002-9827-6763
MD, PhD, DSc, Professor
Russian Federation, 603005, Nizhny NovgorodVadim O. Teplov
N.I. Pirogov Russian National Research Medical University
Email: teplov.vo@yandex.ru
ORCID iD: 0000-0002-7042-439X
Russian Federation, 117997, Moscow
References
- Amanolahy O, Hesami SMA, Mehrabani MB, Ghasemi S. Atypical Morgagni Hernia: A Case Study Report. J Kermanshah Univ Med Sci. 2019;23(3):e95397. Doi: https://doi.org/10.5812/jkums.95397.
- Losty PD. Congenital diaphragmatic hernia: Where and what is the evidence? Semin Pediatr Surg. 2014;23(5):278-282. Doi: https://doi.org/10.1053/j.sempedsurg.2014.09.008.
- Razin MP, Minaev SV, Axelrov MA, Tarakanov VA, Svirsky AA, Trushin PV, eds. Diagnosis and treatment of the congenital diaphragmatic hernia in children: a multicenter research. Meditsinskiy vestnik Severnogo Kavkaza. 2019;14(2):302-308. Doi: http://doi.org/10.14300/mnnc.2019.14073 (In Russian)
- Asamovich KI, Suleymanov AS, Israilova NA, Ibragimova ShA, Egamberdiev SB. Congenital right-sided diaphragmatic hernia: rare anomaly, difficult diagnosis. Detskaya meditsina Severo-Zapada. 2018;7(1):143-144. (In Russian)
- Razumovskiy АYu, Mokrushina OG. Endosurgery in newborns. [Endokhirurgicheskie operatsii u novrozhdennykh]. Moscow: Medicinskoe informacionnoe agenstvo; 2015. (In Russian)
- Melo Gallindo R, Lanhellas Gonçalves F, Lopes Figueira R, Sbragia L. Prenatal Management of Congenital Diaphragmatic Hernia: Present, Past and Future. Rev Bras Ginecol Obstet. 2015;37(3):140-147. Doi: https://doi.org/10.1590/S0100-720320150005203.
- Petrova LV. Surgical correction of false diaphragmatic hernia in newborns. Rossiyskiy vestnik detskoy khirurgii, anesteziologii i reanimatologii. 2015;5(3):75-80. (In Russian)
- Ruano R, Javadian P, Kailin JA, et al. Congenital heart anomaly in newborns with congenital diaphragmatic hernia: a single-center experience. Ultrasound Obstet Gynecol. 2015;45(6):683–688. Doi: https://doi.org/10.1002/uog.14648.
- Vakhrusheva AV, Poltorak MS, Adzhisaliev GR. Balloon tracheal occlusion as a modern method of treatment of congenital diaphragmatic hernia. Nauka, obrazovanie i kul'tura. 2018;10(34):55-60. (In Russian)
- Lapshin VI, Razin MP, Aksel'rov MA, Baturov MA, Skobelev VA, Smolentsev MM, eds. Thoracoscopic treatment of a newborn with a false right diaphragmatic hernia. Detskaya khirurgiya. 2019;23(2):106-109. (In Russian)
- Botden SM, Heiwegen K, van Rooij IA, Scharbatke H, Lally PA, van Heijst A, de Blaauw I. Bilateral congenital diaphragmatic hernia: prognostic evaluation of a large international cohort. J Pediatr Surg. 2017;52(9):1475-1479. Doi: https://doi.org/10.1016/j.jpedsurg.2016.10.053.
- Burgos CM, Frenckner B, Luco M, Harting MT, Lally PA, Lally KP. Prenatally versus postnatally diagnosed congenital diaphragmatic hernia – Side, stage, and outcome. J Pediatr Surg. 2018. Doi: https://doi.org/10.1016/j.jpedsurg.2018.04.008.
- Puligandla PS, Skarsgard ED, Offringa M, Adatia I, Baird R, Michelle Bailey JA, et al. The Canadian Congenital Diaphragmatic Hernia Collaborative, CMAJ. 2018;190(4):103-112. Doi: https://doi.org/10.1503/cmaj.170206
- Kosiński P, Wielgoś M. Congenital Diaphragmatic Hernia: Pathogenesis, Prenatal Diagnosis and Management – Literature Review. Ginekol Pol. 2017;88(1):24-30. Published online 2017-01-31. Doi: https://doi.org/10.5603/GP.a2017.0005.
- Nynke S. Planting en Angelique K.E. Hoffman-Haringsma. Late symptomen van congenitale hernia diafragmatica. Ned Tijdschr Geneeskd. 2017;161:D960. https://www.ntvg.nl/artikelen/late-symptomen-van-congenitale-hernia-diafragmatica/artikelinfo
- Veropotvelyan PN, Veropotvelyan NP, Bondarenko AA, Zhuravleva SA. Diaphragmatic hernia in the fetus, diagnosis and therapy. Semeynaya meditsina. 2016;4(66):128-133. (In Russian)
- Kucherov YuI, Gevorkyan AK, Stygar VI, Zhirkova YuV. Prenatal counseling for congenital diaphragmatic hernia. Prenatal'naya diagnostika. 2016;15(3):194-199. (In Russian)
- Oliveira PH, Piedade C, Conceição V, Ramos M, Castro AO. Bilateral congenital diaphragmatic hernia with delayed diagnosis. Eur J Pediatr Surg. 2013;23(4):322-324. Doi: http://doi.org/10.1055/s-0032-1323161.
- Yamoto M, Iwazaki T, Takeuchi K, et al. The fetal lung-to-liver signal intensity ratio on magnetic resonance imaging as a predictor of outcomes from isolated congenital diaphragmatic hernia. Pediatr Surg Int. 2018;34(2):161–168. Doi: https://doi.org/10.1007/s00383-017-4184-2.
- Yokoi A, Ohfuji S, Yoshimoto S, Sugioka Y, Akasaka Y, Funakoshi T. A new approach to risk stratification using fetal MRI to predict outcomes in congenital diaphragmatic hernia: the preliminary retrospective single institutional study. Transl Pediatr. 2018;7(4):356–361. Doi: https://doi.org/10.21037/tp.2018.09.01.
- Kulgod SY, Ammanagi AS, Vagarali P, Patil R. A Rare Case of Bilateral Morgagni's Hernia with Intestinal Obstruction and Malrotation of the Gut in an Adult Patient with Severe Osteogenesis Imperfecta Presenting as Severe Respiratory Distress. Indian J Surg. 2017;79(2):158-159. Doi: https://doi.org/10.1007/s12262-016-1456-3.
- Sarajlija A, Magner M, Djordjevic M, Kecman B, Grujic B, Tesarova M et al. Late-presenting congenital diaphragmatic hernia in a child with TMEM70 deficiency. Congenit Anom (Kyoto). 2017;57(2):64-65. Doi: https://doi.org/10.1111/cga.12194.
- Hattori K, Takamizawa S, Miyake Y, Hatata T, Yoshizawa K, Furukawa T, et al. Preoperative sonographic evaluation of the defect size and the diaphragm rim in congenital diaphragmatic hernia – preliminary experience. Pediatr Radiol. 2018;48(11):1550-1555. Doi: https://doi.org/10.1007/s00247-018-4184-y
- Hosokawa T, Takahashi H, Tanami Y, et al. Usefulness of Ultrasound in Evaluating the Diaphragm in Neonates and Infants With Congenital Diaphragmatic Hernias. J Ultrasound Med. 2019;38(4):1109–1113. Doi: https://doi.org/10.1002/jum.14777.
- Chepurnoy MG, Rozin BG,. Chepurnoy GI, Katsupeev VB, Kivva AN, Khoron'ko YuV, eds. Thoracoabdominal access in the surgical treatment of congenital left-sided diaphragmatic hernias. Meditsinskiy vestnik Severnogo Kavkaza. 2019;14(1):9-12. (In Russian)
- Tyson AF, Sola R Jr, Arnold MR, Cosper GH, Schulman AM. Thoracoscopic Versus Open Congenital Diaphragmatic Hernia Repair: Single Tertiary Center Review. J Laparoendosc Adv Surg Tech A. 2017;27(11):1209–1216. Doi: https://doi.org/10.1089/lap.2017.0298.
- Putnam LR, Tsao K, Lally KP, et al. Minimally Invasive vs Open Congenital Diaphragmatic Hernia Repair: Is There a Superior Approach?. J Am Coll Surg. 2017;224(4):416–422. Doi: https://doi.org/10.1016/j.jamcollsurg.2016.12.050.
- Criss CN, Coughlin MA, Matusko N, Gadepalli SK. Outcomes for thoracoscopic versus open repair of small to moderate congenital diaphragmatic hernias. J Pediatr Surg. 2018;53(4):635–639. Doi: https://doi.org/10.1016/j.jpedsurg.2017.09.010.
- Fujishiro J, Ishimaru T, Sugiyama M, et al. Minimally invasive surgery for diaphragmatic diseases in neonates and infants. Surg Today. 2016;46(7):757–763. Doi: https://doi.org/10.1007/s00595-015-1222-3.
- Razumovskiy AYu, Mokrushina OG, Shumikhin VS, Shchapov NF, Smirnova SV, Petrova LV. Thoracoscopic correction of false congenital diaphragmatic hernia using implant materials. Rossiyskiy vestnik detskoy khirurgii, anesteziologii i reanimatologii. 2016;6(1):87-92. (In Russian)
Supplementary files




















